Skip to main content

GP2 Antibody (GP2/2569R) - Azide and BSA Free

Novus Biologicals, part of Bio-Techne | Catalog # NBP3-08242

Recombinant Monoclonal Antibody
Novus Biologicals, part of Bio-Techne

Key Product Details

Species Reactivity

Human, Mouse (Negative)

Applications

Immunohistochemistry-Paraffin, Western Blot, ELISA

Label

Unconjugated

Antibody Source

Recombinant Monoclonal Rabbit IgG Clone # GP2/2569R

Format

Azide and BSA Free

Concentration

1 mg/ml

Product Specifications

Immunogen

Recombinant human GP2 protein fragment (around aa35-179) (exact sequence is proprietary) (Uniprot: P55259)

Reactivity Notes

Does not react with Mouse.

Localization

Cell Surface and Secreted

Clonality

Monoclonal

Host

Rabbit

Isotype

IgG

Theoretical MW

59 kDa.
Disclaimer note: The observed molecular weight of the protein may vary from the listed predicted molecular weight due to post translational modifications, post translation cleavages, relative charges, and other experimental factors.

Description

1.0 mg/ml of antibody purified from Bioreactor Concentrate by Protein A/G. Prepared in 10mM PBS WITHOUT BSA & azide. Also available at 200 ug/ml WITH BSA & azide (NBP3-07338).

Antibody with azide - store at 2 to 8C. Antibody without azide - store at -20 to -80C.

Scientific Data Images for GP2 Antibody (GP2/2569R) - Azide and BSA Free

Western Blot: GP2 Antibody (GP2/2569R)Azide and BSA Free [NBP3-08242]

Western Blot: GP2 Antibody (GP2/2569R)Azide and BSA Free [NBP3-08242]

Western Blot: GP2 Antibody (GP2/2569R) - Azide and BSA Free [NBP3-08242] - Western Blot Analysis of human Pancreas tissue lysate using GP2 Recombinant Rabbit Monoclonal Antibody (GP2/2569R).
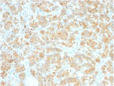
Immunohistochemistry-Paraffin: GP2 Antibody (GP2/2569R) - Azide and BSA Free [NBP3-08242]

Immunohistochemistry-Paraffin: GP2 Antibody (GP2/2569R) - Azide and BSA Free [NBP3-08242]

Immunohistochemistry-Paraffin: GP2 Antibody (GP2/2569R) - Azide and BSA Free [NBP3-08242] - Formalin-fixed, paraffin-embedded human Pancreas stained with GP2 Recombinant Rabbit Monoclonal Antibody (GP2/2569R).

Applications for GP2 Antibody (GP2/2569R) - Azide and BSA Free

Application
Recommended Usage

ELISA

2-4 ug/ml

Immunohistochemistry-Paraffin

1-2 ug/ml

Western Blot

1-2 ug/ml
Application Notes
ELISA: Use antibody at 2-4ug/ml. For coating, order antibody without BSA

Formulation, Preparation, and Storage

Purification

Protein A or G purified

Formulation

10 mM PBS

Format

Azide and BSA Free

Preservative

No Preservative

Concentration

1 mg/ml

Shipping

The product is shipped with polar packs. Upon receipt, store it immediately at the temperature recommended below.

Stability & Storage

Store at -20 to -80C. Avoid freeze-thaw cycles.

Background: GP2/ZAP75

Long Name

Glycoprotein 2

Alternate Names

GP2, ZAP75

Gene Symbol

GP2

Additional GP2/ZAP75 Products

Product Documents for GP2 Antibody (GP2/2569R) - Azide and BSA Free

Certificate of Analysis

To download a Certificate of Analysis, please enter a lot number in the search box below.

Product Specific Notices for GP2 Antibody (GP2/2569R) - Azide and BSA Free

This product is for research use only and is not approved for use in humans or in clinical diagnosis. Primary Antibodies are guaranteed for 1 year from date of receipt.

Loading...
Loading...
Loading...
Loading...