GP2 Antibody (GP2/2569R)
Novus Biologicals, part of Bio-Techne | Catalog # NBP3-07338
Recombinant Monoclonal Antibody
Conjugate
Catalog #
Forumulation
Catalog #
Key Product Details
Species Reactivity
Human, Mouse (Negative)
Applications
Immunohistochemistry-Paraffin, Western Blot, ELISA
Label
Unconjugated
Antibody Source
Recombinant Monoclonal Rabbit IgG Clone # GP2/2569R
Concentration
0.2 mg/ml
Product Specifications
Immunogen
Recombinant human GP2 protein fragment (around aa35-179) (exact sequence is proprietary) (Uniprot: P55259)
Reactivity Notes
Does not react with Mouse.
Localization
Cell Surface and Secreted
Clonality
Monoclonal
Host
Rabbit
Isotype
IgG
Theoretical MW
59 kDa.
Disclaimer note: The observed molecular weight of the protein may vary from the listed predicted molecular weight due to post translational modifications, post translation cleavages, relative charges, and other experimental factors.
Disclaimer note: The observed molecular weight of the protein may vary from the listed predicted molecular weight due to post translational modifications, post translation cleavages, relative charges, and other experimental factors.
Description
200ug/ml of antibody purified from Bioreactor Concentrate by Protein A or G. Prepared in 10 mM PBS with 0.05% BSA & 0.05% azide. Also available WITHOUT BSA & azide at 1.0 mg/ml. (NBP3-08242)
Antibody with azide - store at 2 to 8C. Antibody without azide - store at -20 to -80C.
Antibody with azide - store at 2 to 8C. Antibody without azide - store at -20 to -80C.
Scientific Data Images for GP2 Antibody (GP2/2569R)
Western Blot: GP2 Antibody (GP2/2569R) [NBP3-07338]
Western Blot: GP2 Antibody (GP2/2569R) [NBP3-07338] - Western Blot Analysis of human Pancreas tissue lysate using GP2 Recombinant Rabbit Monoclonal Antibody (GP2/2569R).Immunohistochemistry-Paraffin: GP2 Antibody (GP2/2569R) [NBP3-07338]
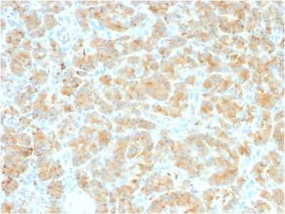
Immunohistochemistry-Paraffin: GP2 Antibody (GP2/2569R) [NBP3-07338] - Formalin-fixed, paraffin-embedded human Pancreas stained with GP2 Recombinant Rabbit Monoclonal Antibody (GP2/2569R).Applications for GP2 Antibody (GP2/2569R)
Application
Recommended Usage
ELISA
2-4 ug/ml
Immunohistochemistry-Paraffin
1-2 ug/ml
Western Blot
1-2 ug/ml
Application Notes
ELISA: Use Ab at 2-4ug/ml for coating. Order Ab without BSA.
Immunohistochemistry (Formalin-fixed): 1-2ug/ml for 30 minutes at RT. Staining of formalin-fixed tissues requires heating tissue sections in 10mM Tris with 1mM EDTA, pH 9.0, for 45 min at 95C followed by cooling at RT for 20 minutes.
Optimal dilution for a specific application should be determined.
Immunohistochemistry (Formalin-fixed): 1-2ug/ml for 30 minutes at RT. Staining of formalin-fixed tissues requires heating tissue sections in 10mM Tris with 1mM EDTA, pH 9.0, for 45 min at 95C followed by cooling at RT for 20 minutes.
Optimal dilution for a specific application should be determined.
Formulation, Preparation, and Storage
Purification
Protein A or G purified
Formulation
10 mM PBS with 0.05% BSA
Preservative
0.05% Sodium Azide
Concentration
0.2 mg/ml
Shipping
The product is shipped with polar packs. Upon receipt, store it immediately at the temperature recommended below.
Stability & Storage
Store at 4C.
Background: GP2/ZAP75
Additional GP2/ZAP75 Products
Product Documents for GP2 Antibody (GP2/2569R)
Product Specific Notices for GP2 Antibody (GP2/2569R)
This product is for research use only and is not approved for use in humans or in clinical diagnosis. Primary Antibodies are guaranteed for 1 year from date of receipt.
Loading...
Loading...
Loading...
Loading...