Skip to main content

GM2A Antibody - Azide and BSA Free

Novus Biologicals, part of Bio-Techne | Catalog # NBP3-00106

Novus Biologicals, part of Bio-Techne

Key Product Details

Species Reactivity

Human

Applications

Immunohistochemistry, Immunohistochemistry-Paraffin, Western Blot, ELISA, Immunoprecipitation

Label

Unconjugated

Antibody Source

Polyclonal Rabbit IgG

Format

Azide and BSA Free

Concentration

Please see the vial label for concentration. If unlisted please contact technical services.

Product Specifications

Immunogen

Produced in rabbits immunized with purified, recombinant Human GM2A (Accession#: AAA35907.1; Met1-Ile193)

Clonality

Polyclonal

Host

Rabbit

Isotype

IgG

Description

This antibody can be stored at 2C to 8C for one month without detectable loss of activity. Antibody products are stable for twelve months from date of receipt when stored at -20C to -80C. Avoid repeated freeze-thaw cycles.

Scientific Data Images for GM2A Antibody - Azide and BSA Free

GM2A Antibody - Azide and BSA Free

Western Blot: GM2A Antibody [NBP3-00106] -

Western Blot: GM2A Antibody [NBP3-00106] - NBP3-00106 at 1:500 dilution Lane A: HeLa Whole Cell Lysate Lysates/proteins at 30 ug per lane. Secondary Goat Anti-Rabbit IgG (H+L)/HRP at 1/10000 dilution. Developed using the ECL technique. Performed under reducing conditions. Predicted band size:21 kDa Observed band size:21 kDa (We are unsure as to the identity of these extra bands.)
GM2A Antibody - Azide and BSA Free

Immunoprecipitation: GM2A Antibody [NBP3-00106] -

Immunoprecipitation: GM2A Antibody [NBP3-00106] - GM2A was immunoprecipitated using: Lane A:0.5 mg HeLa Whole Cell Lysate 4 uL NBP3-00106 and 60 ug of Immunomagnetic beads Protein A/G. Primary antibody: NBP3-00106, at 1:100 dilution. Secondary antibody: Goat Anti-Rabbit IgG (H+L)[HRP] at 1/10000 dilution. Developed using the ECL technique. Performed under reducing conditions. Predicted band size: 21 kDa Observed band size :21 kDa
GM2A Antibody - Azide and BSA Free

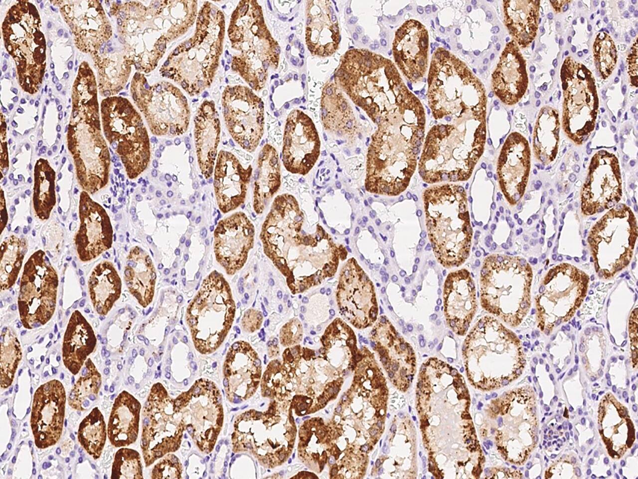
Immunohistochemistry-Paraffin: GM2A Antibody [NBP3-00106] -

Immunohistochemistry-Paraffin: GM2A Antibody [NBP3-00106] - Immunochemical staining of human GM2A in human kidney with NBP3-00106 at 1:1000 dilution, formalin-fixed paraffin embedded sections.

Applications for GM2A Antibody - Azide and BSA Free

Application
Recommended Usage

ELISA

1:5000-1:10000

Immunohistochemistry-Paraffin

1:500-1:2000

Immunoprecipitation

5-10 uL/mg of lysate

Western Blot

1:500-1:2000

Formulation, Preparation, and Storage

Purification

Antigen and protein A Affinity-purified

Formulation

0.2 um filtered solution in PBS

Format

Azide and BSA Free

Preservative

No Preservative

Concentration

Please see the vial label for concentration. If unlisted please contact technical services.

Shipping

The product is shipped with polar packs. Upon receipt, store it immediately at the temperature recommended below.

Stability & Storage

Store at 4C short term. Aliquot and store at -20C long term. Avoid freeze-thaw cycles.

Background: GM2A

GM2A, also known as Ganglioside GM2 activator, is a 193 amino acid that is 21 kDa, with lysosome subcellular location, acts as s a lipid transfer protein that stimulates the enzymatic processing of gangliosides and T-cell activation; acts as a substrate specific co-factor for the lysosomal enzyme beta-hexosaminidase A which, together with this activator, catalyzes the degradation of the ganglioside GM2; also displays some calcium-independent phospholipase activity. Disease research on this protein has shown a relationship with tay-sachs disease, gangliosidosis, gangliosidosis gm2, sandhoff disease, neurological disorder, candidiasis, protein s deficiency, neurodegenerative disease, tay-sachs disease ab variant, spinal muscular atrophy, lysosomal storage disease, muscular atrophy, sinusitis, gastric cancer, cholesterol, and neuronitis. The GM2A protein has also shown an interaction with PLD2, GPLD1 and HEXA in the Sphingolipid metabolism, glycosphingolipid metabolism, lysosome, and phospholipid metabolism pathways.

Alternate Names

Cerebroside sulfate activator protein, ganglioside GM2 activator, GM2 ganglioside activator, GM2-AP, SAP-3GM2 ganglioside activator protein, Shingolipid activator protein 3, sphingolipid activator protein 3

Gene Symbol

GM2A

Additional GM2A Products

Product Documents for GM2A Antibody - Azide and BSA Free

Certificate of Analysis

To download a Certificate of Analysis, please enter a lot number in the search box below.

Product Specific Notices for GM2A Antibody - Azide and BSA Free

This product is for research use only and is not approved for use in humans or in clinical diagnosis. Primary Antibodies are guaranteed for 1 year from date of receipt.

Loading...
Loading...
Loading...
Loading...