Skip to main content

Glutathione S-Transferase pi 1/GSTP1 Antibody (3F2C2)

Novus Biologicals, part of Bio-Techne | Catalog # NB110-60512

Novus Biologicals, part of Bio-Techne
Catalog #
Availability
Size / Price
Qty
Loading...
NB110-60512
NB110-60512-0.025ml

Key Product Details

Species Reactivity

Validated:

Human, Mouse

Cited:

Mouse

Applications

Validated:

Immunohistochemistry, Immunohistochemistry-Paraffin, Western Blot, ELISA, Flow Cytometry, Immunocytochemistry/ Immunofluorescence

Cited:

Western Blot

Label

Unconjugated

Antibody Source

Monoclonal Mouse IgG1 Clone # 3F2C2

Concentration

This product is unpurified. The exact concentration of antibody is not quantifiable.

Product Specifications

Immunogen

Purified recombinant fragment of human Glutathione S-Transferase pi 1/GSTP1 expressed in E. Coli.

Reactivity Notes

Mouse reactivity reported in the scientific literature (PMID: 23703832). Please note that this antibody is reactive to Mouse and derived from the same host, Mouse. Mouse-On-Mouse blocking reagent may be needed for IHC and ICC experiments to reduce high background signal. You can find these reagents under catalog numbers PK-2200-NB and MP-2400-NB. Please contact Technical Support if you have any questions.

Specificity

GSTP1 (3F2C2)

Clonality

Monoclonal

Host

Mouse

Isotype

IgG1

Theoretical MW

23 kDa.
Disclaimer note: The observed molecular weight of the protein may vary from the listed predicted molecular weight due to post translational modifications, post translation cleavages, relative charges, and other experimental factors.

Description

Novus Biologicals Mouse Glutathione S-Transferase pi 1/GSTP1 Antibody (3F2C2) (NB110-60512) is a monoclonal antibody validated for use in IHC, WB, ELISA, Flow and ICC/IF. Anti-Glutathione S-Transferase pi 1/GSTP1 Antibody: Cited in 2 publications. All Novus Biologicals antibodies are covered by our 100% guarantee.

Scientific Data Images for Glutathione S-Transferase pi 1/GSTP1 Antibody (3F2C2)

Western Blot: Glutathione S-Transferase pi 1/GSTP1 Antibody (3F2C2)BSA Free [NB110-60512]

Western Blot: Glutathione S-Transferase pi 1/GSTP1 Antibody (3F2C2)BSA Free [NB110-60512]

Western Blot: Glutathione S-Transferase pi 1/GSTP1 Antibody (3F2C2) [NB110-60512] - Analysis using GSTP1 mouse mAb against HEK293T cells transfected with the pCMV6-ENTRY control (1) and pCMV6-ENTRY GSTP1 cDNA (2).
Immunocytochemistry/ Immunofluorescence: Glutathione S-Transferase pi 1/GSTP1 Antibody (3F2C2) - BSA Free [NB110-60512]

Immunocytochemistry/ Immunofluorescence: Glutathione S-Transferase pi 1/GSTP1 Antibody (3F2C2) - BSA Free [NB110-60512]

Immunocytochemistry/Immunofluorescence: Glutathione S-Transferase pi 1/GSTP1 Antibody (3F2C2) [NB110-60512] - Analysis of HepG2 (left) and L-02 (right) cells using GSTP1 mouse mAb (green). Red: Actin filaments have been labeled with DY-554 phalloidin. Blue: DRAQ5 fluorescent DNA dye.
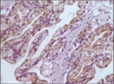
Immunohistochemistry-Paraffin: Glutathione S-Transferase pi 1/GSTP1 Antibody (3F2C2) - BSA Free [NB110-60512]

Immunohistochemistry-Paraffin: Glutathione S-Transferase pi 1/GSTP1 Antibody (3F2C2) - BSA Free [NB110-60512]

Immunohistochemistry-Paraffin: Glutathione S-Transferase pi 1/GSTP1 Antibody (3F2C2) [NB110-60512] - Analysis of human prostate tissues using GSTP1 mouse mAb with DAB staining.

Applications for Glutathione S-Transferase pi 1/GSTP1 Antibody (3F2C2)

Application
Recommended Usage

ELISA

1:10000

Flow Cytometry

1:200 - 1:400

Immunocytochemistry/ Immunofluorescence

1:200 - 1:1000

Immunohistochemistry

1:200 - 1:1000

Immunohistochemistry-Paraffin

1:200 - 1:1000

Western Blot

1:500 - 1:2000

Formulation, Preparation, and Storage

Purification

Unpurified

Formulation

Ascites

Preservative

0.03% Sodium Azide

Concentration

This product is unpurified. The exact concentration of antibody is not quantifiable.

Shipping

The product is shipped with polar packs. Upon receipt, store it immediately at the temperature recommended below.

Stability & Storage

Store at 4C short term. Aliquot and store at -20C long term. Avoid freeze-thaw cycles.

Background: Glutathione S-Transferase pi 1/GSTP1

GSTP1 (glutathione-S-transferase, pi 1), also called GST3/DFN7, which is located on chromosome 11q13 , is a family of enzymes that play an important role in detoxification by catalyzing the conjugation of many hydrophobic and electrophilic compounds with reduced glutathione. GSTP1 act like a tumor suppressor gene, which when inactivated leads to tumor growth, and the -class glutathione S-transferase is commonly inactivated by somatic CpGisland hypermethylation in cancers of the prostate, liver, and breast. Methylation of regulatory sequences at the GSTP1 gene locus is found in the vast majority (>90%) of prostate carcinomas and is associated with transcriptional down-regulation.

Alternate Names

DFN7, FAEES3, Glutathione STransferase pi 1, GSTP1

Entrez Gene IDs

2950 (Human)

Gene Symbol

GSTP1

UniProt

Additional Glutathione S-Transferase pi 1/GSTP1 Products

Product Documents for Glutathione S-Transferase pi 1/GSTP1 Antibody (3F2C2)

Certificate of Analysis

To download a Certificate of Analysis, please enter a lot number in the search box below.

Product Specific Notices for Glutathione S-Transferase pi 1/GSTP1 Antibody (3F2C2)

This product is for research use only and is not approved for use in humans or in clinical diagnosis. Primary Antibodies are guaranteed for 1 year from date of receipt.

Loading...
Loading...
Loading...
Loading...
Loading...