Skip to main content

Glutamine Synthetase Antibody - BSA Free

Novus Biologicals, part of Bio-Techne | Catalog # NBP1-89767

Novus Biologicals, part of Bio-Techne
Catalog #
Availability
Size / Price
Qty
Loading...
NBP1-89767
NBP1-89767-25ul

Key Product Details

Validated by

Orthogonal Validation, Independent Antibodies

Species Reactivity

Validated:

Human

Predicted:

Mouse (95%), Rat (94%). Backed by our 100% Guarantee.

Applications

Immunohistochemistry, Immunohistochemistry-Paraffin, Immunocytochemistry/ Immunofluorescence

Label

Unconjugated

Antibody Source

Polyclonal Rabbit IgG

Format

BSA Free

Concentration

Concentrations vary lot to lot. See vial label for concentration. If unlisted please contact technical services.

Product Specifications

Immunogen

This antibody was developed against Recombinant Protein corresponding to amino acids: RVCEDFGVIATFDPKPIPGNWNGAGCHTNFSTKAMREENGLKYIEEAIEKLSKRHQYHIRAYDPKGGLDNARRLTGFHETSNINDFSAGVANRSASIRIPRTVGQEKKGYFEDRRPSANCDPFSVTEALIRTCLLNETG

Reactivity Notes

Reactivity reported in scientific literature (PMID: 23435261)

Clonality

Polyclonal

Host

Rabbit

Isotype

IgG

Scientific Data Images for Glutamine Synthetase Antibody - BSA Free

Immunocytochemistry/ Immunofluorescence: Glutamine Synthetase Antibody [NBP1-89767]

Immunocytochemistry/ Immunofluorescence: Glutamine Synthetase Antibody [NBP1-89767]

Immunocytochemistry/Immunofluorescence: Glutamine Synthetase Antibody [NBP1-89767] - Staining of human cell line U-2 OS shows localization to cytosol & mitochondria.
Immunohistochemistry-Paraffin: Glutamine Synthetase Antibody [NBP1-89767]

Immunohistochemistry-Paraffin: Glutamine Synthetase Antibody [NBP1-89767]

Immunohistochemistry-Paraffin: Glutamine Synthetase Antibody [NBP1-89767] - Staining of human cerebellum, cerebral cortex, kidney and liver using Anti-GLUL antibody NBP1-89767 (A) shows similar protein distribution across tissues to independent antibody NBP1-89768 (B).
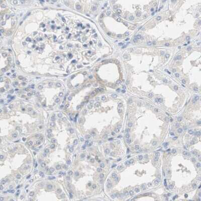
Glutamine Synthetase Antibody - BSA Free Immunohistochemistry-Paraffin: Glutamine Synthetase Antibody - BSA Free [NBP1-89767]

Immunohistochemistry-Paraffin: Glutamine Synthetase Antibody - BSA Free [NBP1-89767]

Analysis in human cerebral cortex and kidney tissues using NBP1-89767 antibody. Corresponding GLUL RNA-seq data are presented for the same tissues.

Applications for Glutamine Synthetase Antibody - BSA Free

Application
Recommended Usage

Immunocytochemistry/ Immunofluorescence

0.25-2 ug/ml

Immunohistochemistry

1:500 - 1:1000

Immunohistochemistry-Paraffin

1:500 - 1:1000
Application Notes
For IHC-Paraffin, HIER pH 6 retrieval is recommended. ICC/IF, Fixation Permeabilization: Use PFA/Triton X-100.

Formulation, Preparation, and Storage

Purification

Affinity purified

Formulation

PBS (pH 7.2) and 40% Glycerol

Format

BSA Free

Preservative

0.02% Sodium Azide

Concentration

Concentrations vary lot to lot. See vial label for concentration. If unlisted please contact technical services.

Shipping

The product is shipped with polar packs. Upon receipt, store it immediately at the temperature recommended below.

Stability & Storage

Store at 4C short term. Aliquot and store at -20C long term. Avoid freeze-thaw cycles.

Background: Glutamine Synthetase

Glutamine synthetase is part of the glutamine synthetase family. Specifically, Glutamine synthetase catalyzes the condensation of glutamate and ammonia to form glutamine, during the metabolism of nitrogen. Ammonia incorporation in animals occurs through the actions of glutamate dehydrogenase and glutamine synthase. Glutamate plays the central role in mammalian nitrogen flow, serving as both a nitrogen donor and nitrogen acceptor.

Glutamine synthetase antibodies are useful tools for studying nitrogen metabolism and regulation.

Alternate Names

cell proliferation-inducing protein 59, EC 4.1.1.15, EC 6.3.1.2, GLNSPIG59, Glutamate decarboxylase, glutamate-ammonia ligase, Glutamate--ammonia ligase, glutamate-ammonia ligase (glutamine synthase), glutamine synthase, glutamine synthetase, GS, PIG43, proliferation-inducing protein 43

Gene Symbol

GLUL

Additional Glutamine Synthetase Products

Product Documents for Glutamine Synthetase Antibody - BSA Free

Certificate of Analysis

To download a Certificate of Analysis, please enter a lot number in the search box below.

Product Specific Notices for Glutamine Synthetase Antibody - BSA Free

This product is for research use only and is not approved for use in humans or in clinical diagnosis. Primary Antibodies are guaranteed for 1 year from date of receipt.

Loading...
Loading...
Loading...
Loading...