Skip to main content

GIMAP5 Antibody - BSA Free

Novus Biologicals, part of Bio-Techne | Catalog # NBP1-31165

Novus Biologicals, part of Bio-Techne
Catalog #
Availability
Size / Price
Qty
Loading...
NBP1-31165

Key Product Details

Species Reactivity

Human

Applications

Immunohistochemistry, Immunohistochemistry-Paraffin, Western Blot

Label

Unconjugated

Antibody Source

Polyclonal Rabbit IgG

Format

BSA Free

Concentration

Concentrations vary lot to lot. See vial label for concentration. If unlisted please contact technical services.

Product Specifications

Immunogen

Carrier-protein conjugated synthetic peptide encompassing a sequence within the C-terminus region of human GIMAP5. The exact sequence is proprietary.

Localization

Mitochondrion outer membrane, Single-pass type IV membrane protein

Clonality

Polyclonal

Host

Rabbit

Isotype

IgG

Theoretical MW

35 kDa.
Disclaimer note: The observed molecular weight of the protein may vary from the listed predicted molecular weight due to post translational modifications, post translation cleavages, relative charges, and other experimental factors.

Description

Novus Biologicals Rabbit GIMAP5 Antibody - BSA Free (NBP1-31165) is a polyclonal antibody validated for use in IHC and WB. All Novus Biologicals antibodies are covered by our 100% guarantee.

Scientific Data Images for GIMAP5 Antibody - BSA Free

Western Blot: GIMAP5 Antibody [NBP1-31165]

Western Blot: GIMAP5 Antibody [NBP1-31165]

Western Blot: GIMAP5 Antibody [NBP1-31165] - Sample (30 ug of whole cell lysate)A: HeLa S3 12% SDS PAGE, antibody diluted at 1:500.
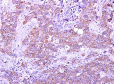
Immunohistochemistry-Paraffin: GIMAP5 Antibody [NBP1-31165]

Immunohistochemistry-Paraffin: GIMAP5 Antibody [NBP1-31165]

Immunohistochemistry-Paraffin: GIMAP5 Antibody [NBP1-31165] - Paraffin-embedded breast cancer. GIMAP5 antibody dilution: 1:250.

Applications for GIMAP5 Antibody - BSA Free

Application
Recommended Usage

Immunohistochemistry

1:100-1:1000

Immunohistochemistry-Paraffin

1:100-1:1000

Western Blot

1:500-1:3000

Formulation, Preparation, and Storage

Purification

Antigen Affinity-purified

Formulation

0.1M Tris, 0.1M Glycine, 10% Glycerol

Format

BSA Free

Preservative

0.01% Thimerosal

Concentration

Concentrations vary lot to lot. See vial label for concentration. If unlisted please contact technical services.

Shipping

The product is shipped with polar packs. Upon receipt, store it immediately at the temperature recommended below.

Stability & Storage

Aliquot and store at -20C or -80C. Avoid freeze-thaw cycles.

Background: GIMAP5

This gene encodes a protein belonging to the GTP-binding superfamily and to the immuno-associated nucleotide (IAN) subfamily of nucleotide-binding proteins. In humans, the IAN subfamily genes are located in a cluster at 7q36.1. [provided by RefSeq]

Alternate Names

FLJ11296, GTPase, IMAP family member 5, hIAN5, HIMAP3, IAN4, IAN4L1IROD, IAN5, IAN-5, IMAP3GTPase IMAP family member 5, immune associated nucleotide 4 like 1, immune associated nucleotide 4 like 1 (mouse), immunity associated protein 3, Immunity-associated nucleotide 4-like 1 protein, Immunity-associated nucleotide 5 protein, Immunity-associated protein 3, inhibitor of radiation- and OA-induced apoptosis, Irod/Ian5

Gene Symbol

GIMAP5

Additional GIMAP5 Products

Product Documents for GIMAP5 Antibody - BSA Free

Certificate of Analysis

To download a Certificate of Analysis, please enter a lot number in the search box below.

Product Specific Notices for GIMAP5 Antibody - BSA Free

This product is for research use only and is not approved for use in humans or in clinical diagnosis. Primary Antibodies are guaranteed for 1 year from date of receipt.

Loading...
Loading...
Loading...
Loading...

⚠ WARNING: This product can expose you to chemicals including mercury, which is known to the State of California to cause reproductive toxicity with developmental effects.  For more information go to www.P65Warnings.ca.gov.