GFM1 Antibody - BSA Free
Novus Biologicals, part of Bio-Techne | Catalog # NBP2-55712
Key Product Details
Validated by
Orthogonal Validation, Independent Antibodies
Species Reactivity
Validated:
Human
Predicted:
Mouse (91%), Rat (92%). Backed by our 100% Guarantee.
Applications
Western Blot, Immunocytochemistry/ Immunofluorescence
Label
Unconjugated
Antibody Source
Polyclonal Rabbit IgG
Format
BSA Free
Concentration
Concentrations vary lot to lot. See vial label for concentration. If unlisted please contact technical services.
Product Specifications
Immunogen
This antibody was developed against a recombinant protein corresponding to the following amino acid sequence: NKLDRMGSNPARALQQMRSKLNHNAAFMQIPMGLEGNFKGIVDLIEERAIYFDGDFGQIVRYGEIPAELRAAATDHRQELIECVANSDEQLGEMFLE
Clonality
Polyclonal
Host
Rabbit
Isotype
IgG
Description
Novus Biologicals Rabbit GFM1 Antibody - BSA Free (NBP2-55712) is a polyclonal antibody validated for use in WB and ICC/IF. All Novus Biologicals antibodies are covered by our 100% guarantee.
Scientific Data Images for GFM1 Antibody - BSA Free
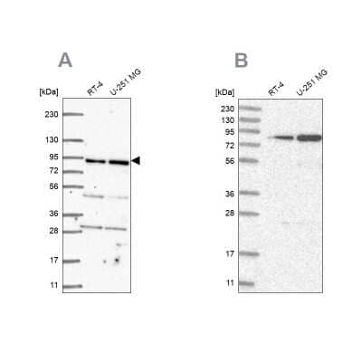
Western Blot: GFM1 Antibody [NBP2-55712]
Western Blot: GFM1 Antibody [NBP2-55712] - Western blot analysis in human cell line RT-4 and human cell line U-251 MG.Applications for GFM1 Antibody - BSA Free
Application
Recommended Usage
Immunocytochemistry/ Immunofluorescence
0.25-2 ug/ml
Western Blot
0.04-0.4 ug/ml
Application Notes
Immunocytochemistry/Immunofluorescence Fixation Permeabilization: Use PFA/Triton X-100.
Formulation, Preparation, and Storage
Purification
Affinity purified
Formulation
PBS (pH 7.2) and 40% Glycerol
Format
BSA Free
Preservative
0.02% Sodium Azide
Concentration
Concentrations vary lot to lot. See vial label for concentration. If unlisted please contact technical services.
Shipping
The product is shipped with polar packs. Upon receipt, store it immediately at the temperature recommended below.
Stability & Storage
Store at 4C short term. Aliquot and store at -20C long term. Avoid freeze-thaw cycles.
Background: GFM1
Alternate Names
EFG, EFG1FLJ12662, EFGM, EF-Gmt, EGF1, FLJ13632, FLJ20773, G elongation factor, mitochondrial 1, G translation elongation factor, mitochondrial, GFMCOXPD1, hEFG1, mEF-G 1, mitochondrial, mitochondrial elongation factor G, mitochondrial elongation factor G1
Gene Symbol
GFM1
Additional GFM1 Products
Product Documents for GFM1 Antibody - BSA Free
Product Specific Notices for GFM1 Antibody - BSA Free
This product is for research use only and is not approved for use in humans or in clinical diagnosis. Primary Antibodies are guaranteed for 1 year from date of receipt.
Loading...
Loading...
Loading...
Loading...