Skip to main content

Gemin 5 Antibody - Azide and BSA Free

Novus Biologicals, part of Bio-Techne | Catalog # NBP3-15523

Novus Biologicals, part of Bio-Techne
Catalog #
Availability
Size / Price
Qty
Loading...
NBP3-15523-100ul
NBP3-15523-20ul

Key Product Details

Species Reactivity

Human, Mouse, Rat

Applications

Immunohistochemistry, Immunohistochemistry-Paraffin, Western Blot

Label

Unconjugated

Antibody Source

Polyclonal Rabbit IgG

Format

Azide and BSA Free

Concentration

Please see the vial label for concentration. If unlisted please contact technical services.

Product Specifications

Immunogen

Recombinant fusion protein containing a sequence corresponding to amino acids 750-950 of human Gemin 5 (NP_056280.2). RTPVKLESIDGNEEESMKENSGPVENGVSDQEGEEQAREPELPCGLAPAVSREPVICTPVSSGFEKSKVTINNKVILLKKEPPKEKPETLIKKRKARSLLPLSTSLDHRSKEELHQDCLVLATAKHSRELNEDVSADVEERFHLGLFTDRATLYRMIDIEGKGHLENGHPELFHQLMLWKGDLKGVLQTAAERGELTDNLV

Clonality

Polyclonal

Host

Rabbit

Isotype

IgG

Description

Novus Biologicals Rabbit Gemin 5 Antibody - Azide and BSA Free (NBP3-15523) is a polyclonal antibody validated for use in IHC and WB. All Novus Biologicals antibodies are covered by our 100% guarantee.

Scientific Data Images for Gemin 5 Antibody - Azide and BSA Free

Western Blot: Gemin 5 AntibodyAzide and BSA Free [NBP3-15523]

Western Blot: Gemin 5 AntibodyAzide and BSA Free [NBP3-15523]

Western Blot: Gemin 5 Antibody [NBP3-15523] - Western blot analysis of extracts of HeLa cells, using Gemin 5 Rabbit pAb (NBP3-15523) at 1:1000 dilution. Secondary antibody: HRP Goat Anti-Rabbit IgG (H+L) at 1:10000 dilution. Lysates/proteins: 25ug per lane. Blocking buffer: 3% nonfat dry milk in TBST. Detection: ECL Basic Kit. Exposure time: 180s.
Immunohistochemistry-Paraffin: Gemin 5 Antibody - Azide and BSA Free [NBP3-15523]

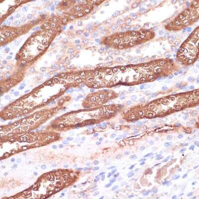
Immunohistochemistry-Paraffin: Gemin 5 Antibody - Azide and BSA Free [NBP3-15523]

Immunohistochemistry-Paraffin: Gemin 5 Antibody [NBP3-15523] - Immunohistochemistry of paraffin-embedded rat kidney using Gemin 5 antibody (NBP3-15523) at dilution of 1:100 (40x lens).Perform microwave antigen retrieval with 10 mM PBS buffer pH 7.2 before commencing with IHC staining protocol.
Immunohistochemistry-Paraffin: Gemin 5 Antibody - Azide and BSA Free [NBP3-15523]

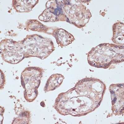
Immunohistochemistry-Paraffin: Gemin 5 Antibody - Azide and BSA Free [NBP3-15523]

Immunohistochemistry-Paraffin: Gemin 5 Antibody [NBP3-15523] - Immunohistochemistry of paraffin-embedded human placenta using Gemin 5 antibody (NBP3-15523) at dilution of 1:100 (40x lens).Perform microwave antigen retrieval with 10 mM PBS buffer pH 7.2 before commencing with IHC staining protocol.

Applications for Gemin 5 Antibody - Azide and BSA Free

Application
Recommended Usage

Immunohistochemistry

1:50 - 1:100

Western Blot

1:500 - 1:2000

Formulation, Preparation, and Storage

Purification

Affinity purified

Formulation

PBS (pH 7.3), 50% glycerol

Format

Azide and BSA Free

Preservative

0.01% Thimerosal

Concentration

Please see the vial label for concentration. If unlisted please contact technical services.

Shipping

The product is shipped with polar packs. Upon receipt, store it immediately at the temperature recommended below.

Stability & Storage

Store at -20C. Avoid freeze-thaw cycles.

Background: Gemin 5

GEMIN5 is part of a large macromolecular complex localized to both the cytoplasm and the nucleus that plays a role in the cytoplasmic assembly of small nuclear ribonucleoproteins (snRNPs). Other members of this complex include SMN (MIM 600354), GEMIN2 (SIP1; MIM 602595), GEMIN3 (DDX20; MIM 606168), and GEMIN4 (MIM 606969).[supplied by OMIM]

Alternate Names

DKFZp586M1824, EC 2.7.7.8, EC 5.4.2.1, gem (nuclear organelle) associated protein 5, gem-associated protein 5, gemin 5, Gemin5, MGC142174

Gene Symbol

GEMIN5

Additional Gemin 5 Products

Product Documents for Gemin 5 Antibody - Azide and BSA Free

Certificate of Analysis

To download a Certificate of Analysis, please enter a lot number in the search box below.

Product Specific Notices for Gemin 5 Antibody - Azide and BSA Free

This product is for research use only and is not approved for use in humans or in clinical diagnosis. Primary Antibodies are guaranteed for 1 year from date of receipt.

Loading...
Loading...
Loading...
Loading...

⚠ WARNING: This product can expose you to chemicals including Methotrexate, which is known to the State of California to cause reproductive toxicity with developmental effects. For more information, go to www.P65Warnings.ca.gov