GAS41 Antibody - BSA Free
Novus Biologicals, part of Bio-Techne | Catalog # NBP3-38243
Key Product Details
Species Reactivity
Human, Mouse, Rat
Applications
Immunohistochemistry, Immunohistochemistry-Paraffin, Western Blot, ELISA, Immunocytochemistry/ Immunofluorescence
Label
Unconjugated
Antibody Source
Polyclonal Rabbit IgG
Format
BSA Free
Concentration
Please see the vial label for concentration. If unlisted please contact technical services.
Product Specifications
Immunogen
Recombinant fusion protein containing a sequence corresponding to amino acids 1-227 of human GAS41 (NP_006521.1).
Sequence:
MFKRMAEFGPDSGGRVKGVTIVKPIVYGNVARYFGKKREEDGHTHQWTVYVKPYRNEDMSAYVKKIQFKLHESYGNPLRVVTKPPYEITETGWGEFEIIIKIFFIDPNERPVTLYHLLKLFQSDTNAMLGKKTVVSEFYDEMIFQDPTAMMQQLLTTSRQLTLGAYKHETEFAELEVKTREKLEAAKKKTSFEIAELKERLKASRETINCLKNEIRKLEEDDQAKDI
Sequence:
MFKRMAEFGPDSGGRVKGVTIVKPIVYGNVARYFGKKREEDGHTHQWTVYVKPYRNEDMSAYVKKIQFKLHESYGNPLRVVTKPPYEITETGWGEFEIIIKIFFIDPNERPVTLYHLLKLFQSDTNAMLGKKTVVSEFYDEMIFQDPTAMMQQLLTTSRQLTLGAYKHETEFAELEVKTREKLEAAKKKTSFEIAELKERLKASRETINCLKNEIRKLEEDDQAKDI
Clonality
Polyclonal
Host
Rabbit
Isotype
IgG
Theoretical MW
26 kDa.
Disclaimer note: The observed molecular weight of the protein may vary from the listed predicted molecular weight due to post translational modifications, post translation cleavages, relative charges, and other experimental factors.
Disclaimer note: The observed molecular weight of the protein may vary from the listed predicted molecular weight due to post translational modifications, post translation cleavages, relative charges, and other experimental factors.
Description
Novus Biologicals Rabbit GAS41 Antibody - BSA Free (NBP3-38243) is a polyclonal antibody validated for use in IHC, WB, ELISA and ICC/IF. All Novus Biologicals antibodies are covered by our 100% guarantee.
Scientific Data Images for GAS41 Antibody - BSA Free
Immunocytochemistry/ Immunofluorescence: GAS41 Antibody [NBP3-38243] -
Immunocytochemistry/ Immunofluorescence: GAS41 Antibody [NBP3-38243] - Immunofluorescence analysis of A-549 cells using GAS41 Rabbit pAb at dilution of 1:50 (40x lens). Secondary antibody: Cy3-conjugated Goat anti-Rabbit IgG (H+L) at 1:500 dilution. Blue: DAPI for nuclear staining.Immunohistochemistry: GAS41 Antibody [NBP3-38243] -
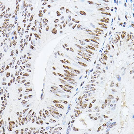
Immunohistochemistry: GAS41 Antibody [NBP3-38243] - Immunohistochemistry analysis of paraffin-embedded Rat lung using GAS41 Rabbit pAb at dilution of 1:100 (40x lens). High pressure antigen retrieval performed with 0.01M Citrate Bufferr (pH 6.0) prior to IHC staining.Western Blot: GAS41 Antibody [NBP3-38243] -
Western Blot: GAS41 Antibody [NBP3-38243] - Western blot analysis of lysates from 293T cells, using GAS41 Rabbit pAb at 1:1000 dilution.Secondary antibody: HRP-conjugated Goat anti-Rabbit IgG (H+L) at 1:10000 dilution.
Lysates/proteins: 25ug per lane.
Blocking buffer: 3% nonfat dry milk in TBST.
Detection: ECL Enhanced Kit.
Exposure time: 180s.
Applications for GAS41 Antibody - BSA Free
Application
Recommended Usage
Immunocytochemistry/ Immunofluorescence
1:50 - 1:200
Immunohistochemistry-Paraffin
1:50 - 1:200
Western Blot
1:500 - 1:1000
Formulation, Preparation, and Storage
Purification
Affinity purified
Formulation
PBS (pH 7.3), 50% glycerol
Format
BSA Free
Preservative
0.02% Sodium Azide
Concentration
Please see the vial label for concentration. If unlisted please contact technical services.
Shipping
The product is shipped with polar packs. Upon receipt, store it immediately at the temperature recommended below.
Stability & Storage
Store at -20C. Avoid freeze-thaw cycles.
Background: GAS41
Alternate Names
B230215M10Rik, Gas41,4930573H17Rik, GAS41glioma-amplified sequence-41, Glioma-amplified sequence 41, nuBI1, NuBI-1, NuMA binding protein 1, NuMA-binding protein 1, YAF9, YEATS domain containing 4, YEATS domain-containing protein 4
Gene Symbol
YEATS4
Additional GAS41 Products
Product Documents for GAS41 Antibody - BSA Free
Product Specific Notices for GAS41 Antibody - BSA Free
This product is for research use only and is not approved for use in humans or in clinical diagnosis. Primary Antibodies are guaranteed for 1 year from date of receipt.
Loading...
Loading...
Loading...
Loading...