Skip to main content

gamma Sarcoglycan Antibody - BSA Free

Novus Biologicals, part of Bio-Techne | Catalog # NBP3-45373

Novus Biologicals, part of Bio-Techne
Catalog #
Availability
Size / Price
Qty
Loading...
NBP3-45373

Key Product Details

Species Reactivity

Human, Mouse, Rat

Applications

Immunohistochemistry, Western Blot, ELISA

Label

Unconjugated

Antibody Source

Polyclonal Rabbit IgG

Format

BSA Free

Concentration

Please see the vial label for concentration. If unlisted please contact technical services.

Product Specifications

Immunogen

sarcoglycan, gamma(35kDa dystrophin-associated glycoprotein). (Uniprot# Q13326)

Clonality

Polyclonal

Host

Rabbit

Isotype

IgG

Description

Novus Biologicals Rabbit gamma Sarcoglycan Antibody - BSA Free (NBP3-45373) is a polyclonal antibody validated for use in IHC, WB and ELISA. All Novus Biologicals antibodies are covered by our 100% guarantee.

Scientific Data Images for gamma Sarcoglycan Antibody - BSA Free

gamma Sarcoglycan Antibody - BSA Free

Western Blot: gamma Sarcoglycan Antibody - BSA Free [NBP3-45373] -

Western Blot: gamma Sarcoglycan Antibody - BSA Free [NBP3-45373] - Human skeletal muscle tissue were subjected to SDS PAGE followed by western blot with (gamma Sarcoglycan antibody) at dilution of 1:600
gamma Sarcoglycan Antibody - BSA Free

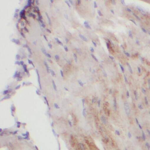
Immunohistochemistry: gamma Sarcoglycan Antibody - BSA Free [NBP3-45373] -

Immunohistochemistry: gamma Sarcoglycan Antibody - BSA Free [NBP3-45373] - Immunohistochemistry of paraffin-embedded human heart using (gamma Sarcoglycan antibody) at dilution of 1:50

Applications for gamma Sarcoglycan Antibody - BSA Free

Application
Recommended Usage

Immunohistochemistry

1:20-1:200

Western Blot

1:500-1:2000
Application Notes
Theoretical Molecular Weight is 35-38 kDa

Formulation, Preparation, and Storage

Purification

Immunogen affinity purified

Formulation

PBS, 50% Glycerol, pH (7.3)

Format

BSA Free

Preservative

0.02% Sodium Azide

Concentration

Please see the vial label for concentration. If unlisted please contact technical services.

Shipping

The product is shipped with polar packs. Upon receipt, store it immediately at the temperature recommended below.

Stability & Storage

Store at -20C. Avoid freeze-thaw cycles.

Background: gamma-Sarcoglycan/SGCG

gamma Sarcoglycan encodes gamma-sarcoglycan, one of several sarcolemmal transmembrane glycoproteins that interact with dystrophin. The dystrophin-glycoprotein complex (DGC) spans the sarcolemma and is comprised of dystrophin, syntrophin, alpha- and beta-dystroglycans and sarcoglycans. The DGC provides a structural link between the subsarcolemmal cytoskeleton and the extracellular matrix of muscle cells. Defects in the encoded protein can lead to early onset autosomal recessive muscular dystrophy, in particular limb-girdle muscular dystrophy, type 2C (LGMD2C). [provided by RefSeq]

Long Name

Sarcoglycan, Gamma (35kDa Dystrophin-Associated Glycoprotein)

Alternate Names

DAGA4, DMDA, DMDA1, LGMD2C, LGMDR5, MGC130048, SCARMD2, SCG3

Gene Symbol

SGCG

Additional gamma-Sarcoglycan/SGCG Products

Product Documents for gamma Sarcoglycan Antibody - BSA Free

Certificate of Analysis

To download a Certificate of Analysis, please enter a lot number in the search box below.

Product Specific Notices for gamma Sarcoglycan Antibody - BSA Free

This product is for research use only and is not approved for use in humans or in clinical diagnosis. Primary Antibodies are guaranteed for 1 year from date of receipt.

Loading...
Loading...
Loading...
Loading...