Skip to main content

GALE Antibody - Azide and BSA Free

Novus Biologicals, part of Bio-Techne | Catalog # NBP2-96978

Novus Biologicals, part of Bio-Techne

Key Product Details

Species Reactivity

Human

Applications

ELISA, Immunohistochemistry, Immunohistochemistry-Paraffin

Label

Unconjugated

Antibody Source

Polyclonal Rabbit IgG

Format

Azide and BSA Free

Concentration

Please see the vial label for concentration. If unlisted please contact technical services.

Product Specifications

Immunogen

Produced in rabbits immunized with purified, recombinant Human GALE (Uniprot#: Q14376; Met1-Ala348)

Clonality

Polyclonal

Host

Rabbit

Isotype

IgG

Description

This antibody can be stored at 2C to 8C for one month without detectable loss of activity. Antibody products are stable for twelve months from date of receipt when stored at -20C to -80C. Avoid repeated freeze-thaw cycles.

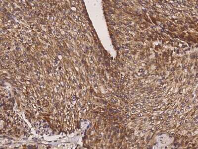
Scientific Data Images for GALE Antibody - Azide and BSA Free

Immunohistochemistry-Paraffin: GALE Antibody [NBP2-96978]

Immunohistochemistry-Paraffin: GALE Antibody [NBP2-96978]

Immunohistochemistry-Paraffin: GALE Antibody [NBP2-96978] - Staining of human GALE in human prostatic carcinoma with rabbit polyclonal antibody (1:2000).
Immunohistochemistry-Paraffin: GALE Antibody [NBP2-96978]

Immunohistochemistry-Paraffin: GALE Antibody [NBP2-96978]

Immunohistochemistry-Paraffin: GALE Antibody [NBP2-96978] - Staining of human GALE in human lung cancer with rabbit polyclonal antibody (1:2000).
Immunohistochemistry-Paraffin: GALE Antibody [NBP2-96978]

Immunohistochemistry-Paraffin: GALE Antibody [NBP2-96978]

Immunohistochemistry-Paraffin: GALE Antibody [NBP2-96978] - Staining of human GALE in human placenta with rabbit polyclonal antibody (1:2000).

Applications for GALE Antibody - Azide and BSA Free

Application
Recommended Usage

ELISA

1:5000-1:10000

Immunohistochemistry

1:1000-1:4000

Immunohistochemistry-Paraffin

1:1000-1:4000

Formulation, Preparation, and Storage

Purification

Antigen and protein A Affinity-purified

Formulation

0.2 um filtered solution in PBS

Format

Azide and BSA Free

Preservative

No Preservative

Concentration

Please see the vial label for concentration. If unlisted please contact technical services.

Shipping

The product is shipped with polar packs. Upon receipt, store it immediately at the temperature recommended below.

Stability & Storage

Store at 4C short term. Aliquot and store at -20C long term. Avoid freeze-thaw cycles.

Background: GALE

GALE encodes UDP-galactose-4-epimerase which catalyzes two distinct but analogous reactions: the epimerization of UDP-glucose to UDP-galactose, and the epimerization of UDP-N-acetylglucosamine to UDP-N-acetylgalactosamine. The bifunctional nature of the enzyme has the important metabolic consequence that mutant cells (or individuals) are dependent not only on exogenous galactose, but also on exogenous N-acetylgalactosamine as a necessary precursor for the synthesis of glycoproteins and glycolipids. Mutations in this gene result in epimerase-deficiency galactosemia, also referred to as galactosemia type 3, a disease characterized by liver damage, early-onset cataracts, deafness and mental retardation, with symptoms ranging from mild ('peripheral' form) to severe ('generalized' form). Multiple alternatively spliced transcripts encoding the same protein have been identified.

Alternate Names

EC 5.1.3, EC 5.1.3.2, FLJ95174, FLJ97302, Galactowaldenase, short chain dehydrogenase/reductase family 1E, member 1, UDP-, UDP galactose-4'-epimerase, UDP-galactose 4-epimerase, UDP-galactose-4-epimerase, UDP-glucose 4-epimerase

Gene Symbol

GALE

Additional GALE Products

Product Documents for GALE Antibody - Azide and BSA Free

Certificate of Analysis

To download a Certificate of Analysis, please enter a lot number in the search box below.

Product Specific Notices for GALE Antibody - Azide and BSA Free

This product is for research use only and is not approved for use in humans or in clinical diagnosis. Primary Antibodies are guaranteed for 1 year from date of receipt.

Loading...
Loading...
Loading...
Loading...