Skip to main content

GADD34 Antibody (OTI3D12)

Novus Biologicals, part of Bio-Techne | Catalog # NBP2-01787

Novus Biologicals, part of Bio-Techne
Catalog #
Availability
Size / Price
Qty
Loading...
NBP2-01787

Key Product Details

Validated by

Biological Validation

Species Reactivity

Validated:

Human, Mouse, Rat, Canine, Monkey

Cited:

Human

Applications

Validated:

Immunohistochemistry, Immunohistochemistry-Paraffin, Western Blot, Flow Cytometry, Immunocytochemistry/ Immunofluorescence

Cited:

Immunohistochemistry-Paraffin

Label

Unconjugated

Antibody Source

Monoclonal Mouse IgG2B Clone # OTI3D12

Concentration

0.25 mg/ml

Product Specifications

Immunogen

Full length human recombinant protein of human PPP1R15A(NP_055145) produced in HEK293T cell.

Reactivity Notes

Please note that this antibody is reactive to Mouse and derived from the same host, Mouse. Mouse-On-Mouse blocking reagent may be needed for IHC and ICC experiments to reduce high background signal. You can find these reagents under catalog numbers PK-2200-NB and MP-2400-NB. Please contact Technical Support if you have any questions.

Marker

ER Stress Marker

Clonality

Monoclonal

Host

Mouse

Isotype

IgG2B

Theoretical MW

73.3 kDa.
Disclaimer note: The observed molecular weight of the protein may vary from the listed predicted molecular weight due to post translational modifications, post translation cleavages, relative charges, and other experimental factors.

Description

Novus Biologicals Mouse GADD34 Antibody (OTI3D12) (NBP2-01787) is a monoclonal antibody validated for use in IHC, WB, Flow and ICC/IF. Anti-GADD34 Antibody: Cited in 1 publication. All Novus Biologicals antibodies are covered by our 100% guarantee.

Scientific Data Images for GADD34 Antibody (OTI3D12)

Western Blot: GADD34 Antibody (OTI3D12) [NBP2-01787]

Western Blot: GADD34 Antibody (OTI3D12) [NBP2-01787]

Western Blot: GADD34 Antibody (OTI3D12) [NBP2-01787] - Analysis of extracts (35ug) from 9 different cell lines by using anti-GADD34 monoclonal antibody (HepG2: human; HeLa: human; SVT2: mouse; A549: human; COS7: monkey; Jurkat: human; MDCK: canine; PC12: rat; MCF7: human).
Immunocytochemistry/ Immunofluorescence: GADD34 Antibody (OTI3D12) [NBP2-01787]

Immunocytochemistry/ Immunofluorescence: GADD34 Antibody (OTI3D12) [NBP2-01787]

Immunocytochemistry/Immunofluorescence: GADD34 Antibody (OTI3D12) [NBP2-01787] - Staining of COS7 cells transiently transfected by pCMV6-ENTRY GADD34.
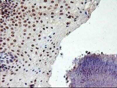
Immunohistochemistry: GADD34 Antibody (OTI3D12) [NBP2-01787]

Immunohistochemistry: GADD34 Antibody (OTI3D12) [NBP2-01787]

GADD34-Antibody-OTI3D12-Immunohistochemistry-NBP2-01787-img0012.jpg

Applications for GADD34 Antibody (OTI3D12)

Application
Recommended Usage

Flow Cytometry

1:100

Immunocytochemistry/ Immunofluorescence

1:100

Immunohistochemistry

1:150

Immunohistochemistry-Paraffin

1:150

Western Blot

1:500-2000

Formulation, Preparation, and Storage

Purification

Immunogen affinity purified

Formulation

PBS (pH 7.3), 1.0% BSA and 50% Glycerol

Preservative

0.02% Sodium Azide

Concentration

0.25 mg/ml

Shipping

The product is shipped with polar packs. Upon receipt, store it immediately at the temperature recommended below.

Stability & Storage

Store at -20C. Avoid freeze-thaw cycles.

Background: GADD34

This gene is a member of a group of genes whose transcript levels are increased following stressful growth arrest conditions and treatment with DNA-damaging agents. The induction of this gene by ionizing radiation occurs in certain cell lines regardless of p53 status, and its protein response is correlated with apoptosis following ionizing radiation. [provided by RefSeq].

Long Name

Protein phosphatase 1 regulatory subunit 15A

Alternate Names

PPP1R15A

Entrez Gene IDs

23645 (Human)

Gene Symbol

PPP1R15A

Additional GADD34 Products

Product Documents for GADD34 Antibody (OTI3D12)

Certificate of Analysis

To download a Certificate of Analysis, please enter a lot number in the search box below.

Product Specific Notices for GADD34 Antibody (OTI3D12)

This product is for research use only and is not approved for use in humans or in clinical diagnosis. Primary Antibodies are guaranteed for 1 year from date of receipt.

Loading...
Loading...
Loading...
Loading...
Loading...