Skip to main content

G protein alpha Antibody (A8F11-R)

Novus Biologicals, part of Bio-Techne | Catalog # NBP3-32396

Recombinant Monoclonal Antibody
Novus Biologicals, part of Bio-Techne
Catalog #
Availability
Size / Price
Qty
Loading...
NBP3-32396

Key Product Details

Species Reactivity

Human, Mouse, Rat

Applications

Immunohistochemistry, Immunohistochemistry-Paraffin, Western Blot, Immunocytochemistry/ Immunofluorescence

Label

Unconjugated

Antibody Source

Recombinant Monoclonal Mouse IgG1 Clone # A8F11-R expressed in HEK293

Concentration

1 mg/ml

Product Specifications

Immunogen

Recombinant protein within human G protein alpha aa 2-251. (Uniprot: P63092)

Localization

Cell membrane.

Clonality

Monoclonal

Host

Mouse

Isotype

IgG1

Theoretical MW

46 kDa.
Disclaimer note: The observed molecular weight of the protein may vary from the listed predicted molecular weight due to post translational modifications, post translation cleavages, relative charges, and other experimental factors.

Description

Novus Biologicals Mouse G protein alpha Antibody (A8F11-R) (NBP3-32396) is a recombinant monoclonal antibody validated for use in IHC, WB and ICC/IF. All Novus Biologicals antibodies are covered by our 100% guarantee.

Scientific Data Images for G protein alpha Antibody (A8F11-R)

G protein alpha Antibody (A8F11-R)

Western Blot: G protein alpha Antibody (A8F11-R) [NBP3-32396]

Western Blot: G protein alpha Antibody (A8F11-R) [NBP3-32396] - Western blot analysis of G protein alpha on different lysates with Mouse anti-G protein alpha antibody (NBP3-32396) at 1/1,000 dilution.

Lane 1: NIH/3T3 cell lysate (20 ug/Lane)
Lane 2: RAW264.7 cell lysate (20 ug/Lane)
Lane 3: C6 cell lysate (20 ug/Lane)
Lane 4: Human brain tissue lysate (40 ug/Lane)
Lane 5: Mouse brain tissue lysate (40 ug/Lane)
Lane 6: Rat brain tissue lysate (40 ug/Lane)

Predicted band size: 46 kDa
Observed band size: 44 kDa

Exposure time: 3 minutes;

4-20% SDS-PAGE gel.

Proteins were transferred to a PVDF membrane and blocked with 5% NFDM/TBST for 1 hour at room temperature. The primary antibody (NBP3-32396) at 1/1,000 dilution was used in 5% NFDM/TBST at 4 overnight. Goat Anti-Mouse IgG - HRP Secondary Antibody at 1/50,000 dilution was used for 1 hour at room temperature.
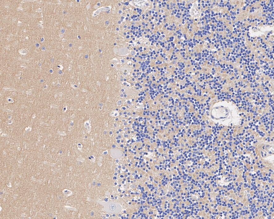
G protein alpha Antibody (A8F11-R)

Immunohistochemistry: G protein alpha Antibody (A8F11-R) [NBP3-32396]

Immunohistochemistry: G protein alpha Antibody (A8F11-R) [NBP3-32396] - Immunohistochemical analysis of paraffin-embedded human cerebellum tissue with Mouse anti-G protein alpha antibody (NBP3-32396) at 1/500 dilution.

The section was pre-treated using heat mediated antigen retrieval with Tris-EDTA buffer (pH 9.0) for 20 minutes. The tissues were blocked in 1% BSA for 20 minutes at room temperature, washed with ddH2O and PBS, and then probed with the primary antibody (NBP3-32396) at 1/500 dilution for 1 hour at room temperature. The detection was performed using an HRP conjugated compact polymer system. DAB was used as the chromogen. Tissues were counterstained with hematoxylin and mounted with DPX.
G protein alpha Antibody (A8F11-R)

Immunocytochemistry/ Immunofluorescence: G protein alpha Antibody (A8F11-R) [NBP3-32396]

Immunocytochemistry/ Immunofluorescence: G protein alpha Antibody (A8F11-R) [NBP3-32396] - Immunocytochemistry analysis of MCF7 cells labeling G protein alpha with Mouse anti-G protein alpha antibody (NBP3-32396) at 1/100 dilution.

Cells were fixed in 4% paraformaldehyde for 20 minutes at room temperature, permeabilized with 0.1% Triton X-100 in PBS for 5 minutes at room temperature, then blocked with 1% BSA in 10% negative goat serum for 1 hour at room temperature. Cells were then incubated with Mouse anti-G protein alpha antibody (NBP3-32396) at 1/100 dilution in 1% BSA in PBST overnight at 4 ℃. Goat Anti-Mouse IgG H&L (iFluor™ 488) was used as the secondary antibody at 1/1,000 dilution. PBS instead of the primary antibody was used as the secondary antibody only control. Nuclear DNA was labelled in blue with DAPI.

beta Tubulin (red) was stained at 1/100 dilution overnight at +4℃. Goat Anti-Rabbit IgG H&L (iFluor™ 594) were used as the secondary antibody at 1/1,000 dilution.

Applications for G protein alpha Antibody (A8F11-R)

Application
Recommended Usage

Immunocytochemistry/ Immunofluorescence

1:100

Immunohistochemistry-Paraffin

1:500-1:2000

Western Blot

1:1000

Formulation, Preparation, and Storage

Purification

Protein A purified

Formulation

PBS (pH7.4), 0.1% BSA and 40% Glycerol

Preservative

0.05% Sodium Azide

Concentration

1 mg/ml

Shipping

The product is shipped with polar packs. Upon receipt, store it immediately at the temperature recommended below.

Stability & Storage

Store at 4C short term. Aliquot and store at -20C long term. Avoid freeze-thaw cycles.

Background: G protein alpha

G protein alpha has a highly complex imprinted expression pattern. It gives rise to maternally, paternally, and biallelically expressed transcripts that are derived from four alternative promoters and 5' exons. Some transcripts contains a differentially methylated region (DMR) at their 5' exons, and this DMR is commonly found in imprinted genes and correlates with transcript expression. An antisense transcript is produced from an overlapping locus on the opposite strand. One of the transcripts produced from this locus, and the antisense transcript, are paternally expressed noncoding RNAs, and may regulate imprinting in this region. In addition, one of the transcripts contains a second overlapping ORF, which encodes a structurally unrelated protein - Alex. Alternative splicing of downstream exons is also observed, which results in different forms of the stimulatory G-protein alpha subunit, a key element of the classical signal transduction pathway linking receptor-ligand interactions with the activation of adenylyl cyclase and a variety of cellular reponses. Multiple transcript variants encoding different isoforms have been found for this gene. Mutations in this gene result in pseudohypoparathyroidism type 1a, pseudohypoparathyroidism type 1b, Albright hereditary osteodystrophy, pseudopseudohypoparathyroidism, McCune-Albright syndrome, progressive osseus heteroplasia, polyostotic fibrous dysplasia of bone, and some pituitary tumors. [provided by RefSeq]

Alternate Names

Adenylate cyclase-stimulating G alpha protein, AHO, Alternative gene product encoded by XL-exon, Extra large alphas protein, GNAS complex locus, GNAS1GSA, GNASXL, GPSAC20orf45, GSP, guanine nucleotide binding protein (G protein), alpha stimulating activitypolypeptide 1, guanine nucleotide regulatory protein, guanine nucleotide-binding protein G(s) subunit alpha isoforms XLas, MGC33735, NESP, NESP55, neuroendocrine secretory protein, PHP1A, PHP1B, PHP1C, POH, protein ALEX, SCG6, secretogranin VI, XLalphas

Gene Symbol

GNAS

Additional G protein alpha Products

Product Documents for G protein alpha Antibody (A8F11-R)

Certificate of Analysis

To download a Certificate of Analysis, please enter a lot number in the search box below.

Product Specific Notices for G protein alpha Antibody (A8F11-R)

This product is for research use only and is not approved for use in humans or in clinical diagnosis. Primary Antibodies are guaranteed for 1 year from date of receipt.

Loading...
Loading...
Loading...
Loading...