Skip to main content

G protein alpha Antibody (2A2B7) - BSA Free

Novus Biologicals, part of Bio-Techne | Catalog # NBP2-52477

Novus Biologicals, part of Bio-Techne
Catalog #
Availability
Size / Price
Qty
Loading...
NBP2-52477-0.025mg
NBP2-52477

Key Product Details

Species Reactivity

Validated:

Human

Cited:

Human

Applications

Validated:

Immunohistochemistry, Immunohistochemistry-Paraffin, Western Blot, ELISA, Flow Cytometry, CyTOF-ready

Cited:

Western Blot

Label

Unconjugated

Antibody Source

Monoclonal Mouse IgG2A Clone # 2A2B7

Format

BSA Free

Concentration

1 mg/ml

Product Specifications

Immunogen

Purified recombinant fragment of human G protein alpha (AA: 42-188) expressed in E. Coli.

Clonality

Monoclonal

Host

Mouse

Isotype

IgG2A

Theoretical MW

68 kDa.
Disclaimer note: The observed molecular weight of the protein may vary from the listed predicted molecular weight due to post translational modifications, post translation cleavages, relative charges, and other experimental factors.

Scientific Data Images for G protein alpha Antibody (2A2B7) - BSA Free

Western Blot: G protein alpha Antibody (2A2B7)BSA Free [NBP2-52477]

Western Blot: G protein alpha Antibody (2A2B7)BSA Free [NBP2-52477]

Western Blot: G protein alpha Antibody (2A2B7) [NBP2-52477] - Analysis using GNAS mAb against human GNAS (AA: 42-188) recombinant protein. (Expected MW is 42.8 kDa)
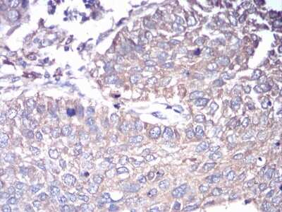
Immunohistochemistry: G protein alpha Antibody (2A2B7) - BSA Free [NBP2-52477]

Immunohistochemistry: G protein alpha Antibody (2A2B7) - BSA Free [NBP2-52477]

Immunohistochemistry: G protein alpha Antibody (2A2B7) [NBP2-52477] - Analysis of paraffin-embedded breast cancer tissues using GNAS mouse mAb with DAB staining.
Flow Cytometry: G protein alpha Antibody (2A2B7) - BSA Free [NBP2-52477]

Flow Cytometry: G protein alpha Antibody (2A2B7) - BSA Free [NBP2-52477]

Flow Cytometry: G protein alpha Antibody (2A2B7) [NBP2-52477] - Analysis of A549 cells using GNAS mouse mAb (green) and negative control (red).

Applications for G protein alpha Antibody (2A2B7) - BSA Free

Application
Recommended Usage

ELISA

1:10000

Flow Cytometry

1:200-1:400

Immunohistochemistry

1:200-1:1000

Immunohistochemistry-Paraffin

1:200-1:1000

Western Blot

1:500-1:2000
Application Notes
This antibody is Cytof ready.

Formulation, Preparation, and Storage

Purification

Protein G purified

Formulation

PBS

Format

BSA Free

Preservative

0.05% Sodium Azide

Concentration

1 mg/ml

Shipping

The product is shipped with polar packs. Upon receipt, store it immediately at the temperature recommended below.

Stability & Storage

Store at 4C short term. Aliquot and store at -20C long term. Avoid freeze-thaw cycles.

Background: G protein alpha

G protein alpha has a highly complex imprinted expression pattern. It gives rise to maternally, paternally, and biallelically expressed transcripts that are derived from four alternative promoters and 5' exons. Some transcripts contains a differentially methylated region (DMR) at their 5' exons, and this DMR is commonly found in imprinted genes and correlates with transcript expression. An antisense transcript is produced from an overlapping locus on the opposite strand. One of the transcripts produced from this locus, and the antisense transcript, are paternally expressed noncoding RNAs, and may regulate imprinting in this region. In addition, one of the transcripts contains a second overlapping ORF, which encodes a structurally unrelated protein - Alex. Alternative splicing of downstream exons is also observed, which results in different forms of the stimulatory G-protein alpha subunit, a key element of the classical signal transduction pathway linking receptor-ligand interactions with the activation of adenylyl cyclase and a variety of cellular reponses. Multiple transcript variants encoding different isoforms have been found for this gene. Mutations in this gene result in pseudohypoparathyroidism type 1a, pseudohypoparathyroidism type 1b, Albright hereditary osteodystrophy, pseudopseudohypoparathyroidism, McCune-Albright syndrome, progressive osseus heteroplasia, polyostotic fibrous dysplasia of bone, and some pituitary tumors. [provided by RefSeq]

Alternate Names

Adenylate cyclase-stimulating G alpha protein, AHO, Alternative gene product encoded by XL-exon, Extra large alphas protein, GNAS complex locus, GNAS1GSA, GNASXL, GPSAC20orf45, GSP, guanine nucleotide binding protein (G protein), alpha stimulating activitypolypeptide 1, guanine nucleotide regulatory protein, guanine nucleotide-binding protein G(s) subunit alpha isoforms XLas, MGC33735, NESP, NESP55, neuroendocrine secretory protein, PHP1A, PHP1B, PHP1C, POH, protein ALEX, SCG6, secretogranin VI, XLalphas

Gene Symbol

GNAS

Additional G protein alpha Products

Product Documents for G protein alpha Antibody (2A2B7) - BSA Free

Certificate of Analysis

To download a Certificate of Analysis, please enter a lot number in the search box below.

Product Specific Notices for G protein alpha Antibody (2A2B7) - BSA Free

This product is for research use only and is not approved for use in humans or in clinical diagnosis. Primary Antibodies are guaranteed for 1 year from date of receipt.

Loading...
Loading...
Loading...
Loading...
Loading...