FXR1 Antibody (2G11) - Azide and BSA Free
Novus Biologicals, part of Bio-Techne | Catalog # H00008087-M01
Key Product Details
Species Reactivity
Human
Applications
Immunohistochemistry, Immunohistochemistry-Paraffin, Western Blot, ELISA, Sandwich ELISA
Label
Unconjugated
Antibody Source
Monoclonal Mouse IgG1 kappa Clone # 2G11
Format
Azide and BSA Free
Concentration
Concentrations vary lot to lot. See vial label for concentration. If unlisted please contact technical services.
Product Specifications
Immunogen
FXR1 (AAH28983, 121 a.a. ~ 220 a.a) partial recombinant protein with GST tag. MW of the GST tag alone is 26 KDa. VKKNTFFKCTVDVPEDLREACANENAHKDFKKAVGACRIFYHPETTQLMILSASEATVKRVNILSDMHLRSIRTKLMLMSRNEEATKHLECTKQLAAAFH
Specificity
FXR1 - fragile X mental retardation, autosomal homolog 1
Clonality
Monoclonal
Host
Mouse
Isotype
IgG1 kappa
Description
Quality control test: Antibody Reactive Against Recombinant Protein.
Scientific Data Images for FXR1 Antibody (2G11) - Azide and BSA Free
Western Blot: FXR1 Antibody (2G11) [H00008087-M01]
Western Blot: FXR1 Antibody (2G11) [H00008087-M01] - Analysis of FXR1 expression in transfected 293T cell line by FXR1 monoclonal antibody (M01), clone 2G11.Lane 1: FXR1 transfected lysate(61 KDa).Lane 2: Non-transfected lysate.Immunohistochemistry-Paraffin: FXR1 Antibody (2G11) [H00008087-M01]
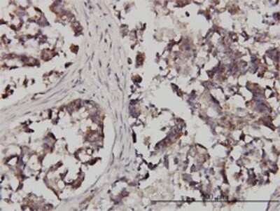
Immunohistochemistry-Paraffin: FXR1 Antibody (2G11) [H00008087-M01] - Analysis of monoclonal antibody to FXR1 on formalin-fixed paraffin-embedded human colon adenocarcinoma. Antibody concentration 3 ug/ml.
Sandwich ELISA: FXR1 Antibody (2G11) [H00008087-M01] - Detection limit for recombinant GST tagged FXR1 is approximately 0.3ng/ml as a capture antibody.
Applications for FXR1 Antibody (2G11) - Azide and BSA Free
Application
Recommended Usage
ELISA
Optimal dilutions of this antibody should be experimentally determined.
Immunohistochemistry
Optimal dilutions of this antibody should be experimentally determined.
Immunohistochemistry-Paraffin
Optimal dilutions of this antibody should be experimentally determined.
Sandwich ELISA
Optimal dilutions of this antibody should be experimentally determined.
Western Blot
Optimal dilutions of this antibody should be experimentally determined.
Application Notes
Antibody reactivity against transfected lysate and recombinant protein for WB. It has been used for IHC-P and ELISA.
Formulation, Preparation, and Storage
Purification
IgG purified
Formulation
In 1x PBS, pH 7.4
Format
Azide and BSA Free
Preservative
No Preservative
Concentration
Concentrations vary lot to lot. See vial label for concentration. If unlisted please contact technical services.
Shipping
The product is shipped with polar packs. Upon receipt, store it immediately at the temperature recommended below.
Stability & Storage
Aliquot and store at -20C or -80C. Avoid freeze-thaw cycles.
Background: FXR1
Alternate Names
fragile X mental retardation syndrome-related protein 1, fragile X mental retardation, autosomal homolog 1, FXR1P, hFXR1p
Entrez Gene IDs
8087 (Human)
Gene Symbol
FXR1
OMIM
600819 (Human)
UniProt
Additional FXR1 Products
Product Documents for FXR1 Antibody (2G11) - Azide and BSA Free
Product Specific Notices for FXR1 Antibody (2G11) - Azide and BSA Free
This product is produced by and distributed for Abnova, a company based in Taiwan.
This product is for research use only and is not approved for use in humans or in clinical diagnosis. Primary Antibodies are guaranteed for 1 year from date of receipt.
Loading...
Loading...
Loading...
Loading...