Skip to main content

FOXO4 Antibody - BSA Free

Novus Biologicals, part of Bio-Techne | Catalog # NBP2-32614

Novus Biologicals, part of Bio-Techne
Catalog #
Availability
Size / Price
Qty
Loading...
NBP2-32614-25ul
NBP2-32614

Key Product Details

Validated by

Orthogonal Validation

Species Reactivity

Human

Applications

Immunohistochemistry, Immunohistochemistry-Paraffin, Chromatin Immunoprecipitation-exo-Seq

Label

Unconjugated

Antibody Source

Polyclonal Rabbit IgG

Format

BSA Free

Concentration

Concentrations vary lot to lot. See vial label for concentration. If unlisted please contact technical services.

Product Specifications

Immunogen

This antibody was developed against a recombinant protein corresponding to amino acids: GNENSATEAAAIIDLDPDFEPQSRPRSCTWPLPRPEIANQPSEPPEVEPDLGEKVHTEGRSEPILLPSRLPEPAGGPQPGILGAVTGPRKGGSRRN

Reactivity Notes

Immunogen displays the following percentage of sequence identity for non-tested species: Mouse (84%), Rat (85%)

Clonality

Polyclonal

Host

Rabbit

Isotype

IgG

Description

Novus Biologicals Rabbit FOXO4 Antibody - BSA Free (NBP2-32614) is a polyclonal antibody validated for use in IHC. All Novus Biologicals antibodies are covered by our 100% guarantee.

Scientific Data Images for FOXO4 Antibody - BSA Free

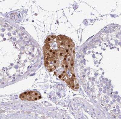
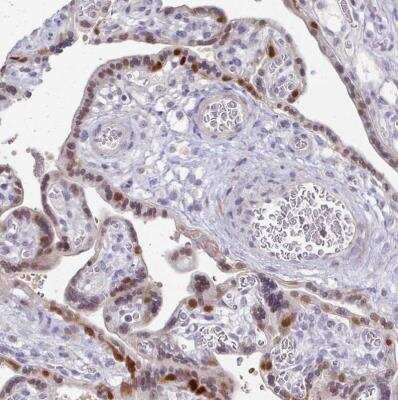
Immunohistochemistry-Paraffin: FOXO4 Antibody [NBP2-32614]

Immunohistochemistry-Paraffin: FOXO4 Antibody [NBP2-32614]

Immunohistochemistry-Paraffin: FOXO4 Antibody [NBP2-32614] - Analysis in human placenta and liver tissues using NBP2-32614 antibody. Corresponding FOXO4 RNA-seq data are presented for the same tissues.
Immunohistochemistry-Paraffin: FOXO4 Antibody [NBP2-32614]

Immunohistochemistry-Paraffin: FOXO4 Antibody [NBP2-32614]

Immunohistochemistry-Paraffin: FOXO4 Antibody [NBP2-32614] - Staining of human cerebellum shows no positivity in purkinje cells as expected.
Immunohistochemistry-Paraffin: FOXO4 Antibody [NBP2-32614]

Immunohistochemistry-Paraffin: FOXO4 Antibody [NBP2-32614]

Immunohistochemistry-Paraffin: FOXO4 Antibody [NBP2-32614] - Staining of human liver shows no positivity in hepatocytes as expected.

Applications for FOXO4 Antibody - BSA Free

Application
Recommended Usage

Chromatin Immunoprecipitation-exo-Seq

1-10ug per reaction

Immunohistochemistry

1:50 - 1:200

Immunohistochemistry-Paraffin

1:50 - 1:200
Application Notes
For IHC-Paraffin, HIER pH 6 retrieval is recommended.

Formulation, Preparation, and Storage

Purification

Affinity purified

Formulation

PBS (pH 7.2) and 40% Glycerol

Format

BSA Free

Preservative

0.02% Sodium Azide

Concentration

Concentrations vary lot to lot. See vial label for concentration. If unlisted please contact technical services.

Shipping

The product is shipped with polar packs. Upon receipt, store it immediately at the temperature recommended below.

Stability & Storage

Store at 4C short term. Aliquot and store at -20C long term. Avoid freeze-thaw cycles.

Background: FOXO4

AFX aka FOXO4 is a forkhead transcription factor involved in the regulation of the insulin signaling pathway. It binds to insulin-response elements (IREs) and can activate transcription of IGFBP1. FOXO4 down-regulates expression of HIF1A and suppresses hypoxia-induced transcriptional activation of HIF1A-modulated genes. It is also involved in negative regulation of the cell cycle.

Alternate Names

AFX, AFX1myeloid/lymphoid or mixed-lineage leukemia (trithorax (Drosophila) homolog);translocated to, 7, Fork head domain transcription factor AFX1, forkhead box O4, forkhead box protein O4, MLLT7MGC120490, myeloid/lymphoid or mixed-lineage leukemia (trithorax homolog, Drosophila);translocated to, 7

Gene Symbol

FOXO4

Additional FOXO4 Products

Product Documents for FOXO4 Antibody - BSA Free

Certificate of Analysis

To download a Certificate of Analysis, please enter a lot number in the search box below.

Product Specific Notices for FOXO4 Antibody - BSA Free

This product is for research use only and is not approved for use in humans or in clinical diagnosis. Primary Antibodies are guaranteed for 1 year from date of receipt.

Loading...
Loading...
Loading...
Loading...