FOXO3 [p Ser425] Antibody - Azide and BSA Free
Novus Biologicals, part of Bio-Techne | Catalog # NBP3-16945
Key Product Details
Validated by
Biological Validation
Species Reactivity
Human, Mouse, Rat
Applications
Immunohistochemistry, Immunohistochemistry-Paraffin, Western Blot
Label
Unconjugated
Antibody Source
Polyclonal Rabbit IgG
Format
Azide and BSA Free
Concentration
Please see the vial label for concentration. If unlisted please contact technical services.
Product Specifications
Immunogen
A synthetic phosphorylated peptide around S425 of human FOXO3 (NP_001446.1). LGSPT
Modification
p Ser 425
Clonality
Polyclonal
Host
Rabbit
Isotype
IgG
Description
Novus Biologicals Rabbit FOXO3 [p Ser425] Antibody - Azide and BSA Free (NBP3-16945) is a polyclonal antibody validated for use in IHC and WB. All Novus Biologicals antibodies are covered by our 100% guarantee.
Scientific Data Images for FOXO3 [p Ser425] Antibody - Azide and BSA Free
Western Blot: FOXO3 [p Ser425] AntibodyAzide and BSA Free [NBP3-16945]
Western Blot: FOXO3 [p Ser425] Antibody [NBP3-16945] - Western blot analysis of extracts of K-562 cells, using FOXO3 antibody (NBP3-16945) at 1:1000 dilution.K-562 cells were treated by 10% FBS at 37C for 30 minutes after serum-starvation overnight. Secondary antibody: HRP Goat Anti-Rabbit IgG (H+L) at 1:10000 dilution. Lysates/proteins: 25ug per lane. Blocking buffer: 3% nonfat dry milk in TBST. Detection: ECL Basic Kit. Exposure time: 30s.Immunohistochemistry-Paraffin: FOXO3 [p Ser425] Antibody - Azide and BSA Free [NBP3-16945]
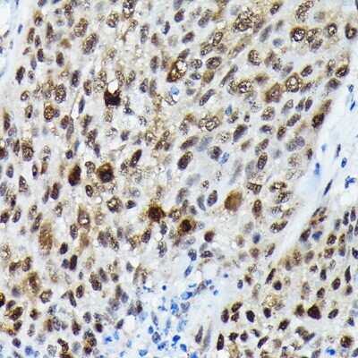
Immunohistochemistry-Paraffin: FOXO3 [p Ser425] Antibody [NBP3-16945] - Immunohistochemistry of paraffin-embedded mouse heart using FOXO3 Rabbit pAb (NBP3-16945) at dilution of 1:250 (40x lens).Perform high pressure antigen retrieval with 10 mM citrate buffer pH 6.0 before commencing with IHC staining protocol.Immunohistochemistry-Paraffin: FOXO3 [p Ser425] Antibody - Azide and BSA Free [NBP3-16945]
Immunohistochemistry-Paraffin: FOXO3 [p Ser425] Antibody [NBP3-16945] - Immunohistochemistry of paraffin-embedded rat kidney using FOXO3 Rabbit pAb (NBP3-16945) at dilution of 1:250 (40x lens).Perform high pressure antigen retrieval with 10 mM citrate buffer pH 6.0 before commencing with IHC staining protocol.Applications for FOXO3 [p Ser425] Antibody - Azide and BSA Free
Application
Recommended Usage
Immunohistochemistry
1:50 - 1:200
Western Blot
1:500 - 1:1000
Formulation, Preparation, and Storage
Purification
Affinity purified
Formulation
PBS (pH 7.3), 50% glycerol
Format
Azide and BSA Free
Preservative
0.01% Thimerosal
Concentration
Please see the vial label for concentration. If unlisted please contact technical services.
Shipping
The product is shipped with polar packs. Upon receipt, store it immediately at the temperature recommended below.
Stability & Storage
Store at -20C. Avoid freeze-thaw cycles.
Background: FoxO3
Long Name
Forkhead Box O3
Alternate Names
AF6q21, FKHRL1, FKHRL1P2, FOXO3A
Gene Symbol
FOXO3
Additional FoxO3 Products
Product Documents for FOXO3 [p Ser425] Antibody - Azide and BSA Free
Product Specific Notices for FOXO3 [p Ser425] Antibody - Azide and BSA Free
This product is for research use only and is not approved for use in humans or in clinical diagnosis. Primary Antibodies are guaranteed for 1 year from date of receipt.
Loading...
Loading...
Loading...
Loading...
⚠ WARNING: This product can expose you to chemicals including Methotrexate, which is known to the State of California to cause reproductive toxicity with developmental effects. For more information, go to www.P65Warnings.ca.gov