FoxM1 Antibody - BSA Free
Novus Biologicals, part of Bio-Techne | Catalog # NBP1-84671
Key Product Details
Validated by
Biological Validation
Species Reactivity
Validated:
Human
Cited:
Human
Applications
Validated:
Immunohistochemistry, Immunohistochemistry-Paraffin, Western Blot, Chromatin Immunoprecipitation-exo-Seq
Cited:
Western Blot
Label
Unconjugated
Antibody Source
Polyclonal Rabbit IgG
Format
BSA Free
Concentration
Concentrations vary lot to lot. See vial label for concentration. If unlisted please contact technical services.
Product Specifications
Immunogen
This antibody was developed against Recombinant Protein corresponding to amino acids: GIAPLSSAGPGKEEKLLFGEGFSPLLPVQTIKEEEIQPGEEMPHLARPIKVESPPLEEWPSPAPSFKEESSHSWEDSSQSPTPRPKKSYSGL
Marker
Mitosis Marker
Clonality
Polyclonal
Host
Rabbit
Isotype
IgG
Description
Novus Biologicals Rabbit FoxM1 Antibody - BSA Free (NBP1-84671) is a polyclonal antibody validated for use in IHC and WB. Anti-FoxM1 Antibody: Cited in 2 publications. All Novus Biologicals antibodies are covered by our 100% guarantee.
Scientific Data Images for FoxM1 Antibody - BSA Free
Western Blot: FoxM1 Antibody [NBP1-84671]
Western Blot: FoxM1 Antibody [NBP1-84671] - Primary AML mononuclear cells were obtained from patients with newly diagnosed or relapsed AML. Mononuclear cells were supplemented by CD34 expansion supplement for 24 hours in the presence of drug or 0.1% DMSO. Cells were then harvested for Western blot. Treated cells were harvested and lysed using IP buffer. Protein concentration was determined. Isolated proteins were separated on SDS-PAGE and transferred to PVDF membrane. Immunoblotting was carried out with antibodies specific for FOXM1 and B-actin. This image was submitted via customer review.Immunohistochemistry-Paraffin: FoxM1 Antibody [NBP1-84671]
Immunohistochemistry-Paraffin: FoxM1 Antibody [NBP1-84671] - Staining of human uterine cervix shows moderate nuclear positivity in a subset of epidermal cells.Immunohistochemistry-Paraffin: FoxM1 Antibody [NBP1-84671]
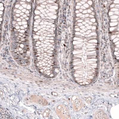
Immunohistochemistry-Paraffin: FoxM1 Antibody [NBP1-84671] - Staining of human rectum shows moderate nuclear positivity in a subset of glandular cells.Applications for FoxM1 Antibody - BSA Free
Application
Recommended Usage
Chromatin Immunoprecipitation-exo-Seq
1-10ug per reaction
Immunohistochemistry
1:200 - 1:500
Immunohistochemistry-Paraffin
1:200 - 1:500
Western Blot
Validated from a verified customer review/ scientific literature (PMID: 30089730).
Application Notes
For IHC-Paraffin, HIER pH 6 retrieval is recommended.
Reviewed Applications
Read 2 reviews rated 4.5 using NBP1-84671 in the following applications:
Formulation, Preparation, and Storage
Purification
Affinity purified
Formulation
PBS (pH 7.2) and 40% Glycerol
Format
BSA Free
Preservative
0.02% Sodium Azide
Concentration
Concentrations vary lot to lot. See vial label for concentration. If unlisted please contact technical services.
Shipping
The product is shipped with polar packs. Upon receipt, store it immediately at the temperature recommended below.
Stability & Storage
Store at 4C short term. Aliquot and store at -20C long term. Avoid freeze-thaw cycles.
Background: FoxM1
Long Name
Forkhead Box M1
Alternate Names
FKHL16, HFH-11, HNF-3, INS-1, MPHOSPH2, MPP-2, PIG29, Trident
Gene Symbol
FOXM1
Additional FoxM1 Products
Product Documents for FoxM1 Antibody - BSA Free
Product Specific Notices for FoxM1 Antibody - BSA Free
This product is for research use only and is not approved for use in humans or in clinical diagnosis. Primary Antibodies are guaranteed for 1 year from date of receipt.
Loading...
Loading...
Loading...
Loading...