Skip to main content

FOLR2 Antibody (OTI4G6)

Novus Biologicals, part of Bio-Techne | Catalog # NBP2-45693

Novus Biologicals, part of Bio-Techne

Key Product Details

Species Reactivity

Human

Applications

Immunohistochemistry, Immunohistochemistry-Paraffin, Western Blot

Label

Unconjugated

Antibody Source

Monoclonal Mouse IgG1 Clone # OTI4G6

Concentration

1 mg/ml

Product Specifications

Immunogen

Human recombinant protein fragment corresponding to amino acids 20-221 of human FOLR2(NP_000794) produced in E.coli.

Clonality

Monoclonal

Host

Mouse

Isotype

IgG1

Theoretical MW

29.1 kDa.
Disclaimer note: The observed molecular weight of the protein may vary from the listed predicted molecular weight due to post translational modifications, post translation cleavages, relative charges, and other experimental factors.

Description

Novus Biologicals Mouse FOLR2 Antibody (OTI4G6) (NBP2-45693) is a monoclonal antibody validated for use in IHC and WB. All Novus Biologicals antibodies are covered by our 100% guarantee.

Scientific Data Images for FOLR2 Antibody (OTI4G6)

Western Blot: FOLR2 Antibody (OTI4G6) [NBP2-45693]

Western Blot: FOLR2 Antibody (OTI4G6) [NBP2-45693]

Western Blot: FOLR2 Antibody (4G6) [NBP2-45693] - Analysis of HEK293T cells were transfected with the pCMV6-ENTRY control (Left lane) or pCMV6-ENTRY FOLR2.
Immunohistochemistry: FOLR2 Antibody (OTI4G6) [NBP2-45693]

Immunohistochemistry: FOLR2 Antibody (OTI4G6) [NBP2-45693]

Immunohistochemistry: FOLR2 Antibody (4G6) [NBP2-45693] - Analysis of Carcinoma of Human bladder tissue using FOLR2 mouse monoclonal antibody.(Heat-induced epitope retrieval by 1mM EDTA in 10mM Tris buffer (pH8.5) at 120C for 3 min)
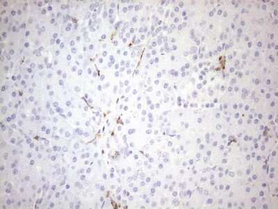
Immunohistochemistry: FOLR2 Antibody (OTI4G6) [NBP2-45693]

Immunohistochemistry: FOLR2 Antibody (OTI4G6) [NBP2-45693]

Immunohistochemistry: FOLR2 Antibody (4G6) [NBP2-45693] - Analysis of Adenocarcinoma of Human colon tissue. (Heat-induced epitope retrieval by 1mM EDTA in 10mM Tris buffer (pH8.5) at 120C for 3 min)

Applications for FOLR2 Antibody (OTI4G6)

Application
Recommended Usage

Immunohistochemistry

1:150

Immunohistochemistry-Paraffin

1:150

Western Blot

1:500

Reviewed Applications

Read 1 review rated 3 using NBP2-45693 in the following applications:

Formulation, Preparation, and Storage

Purification

Immunogen affinity purified

Formulation

PBS (pH 7.3), 1.0% BSA and 50% Glycerol

Preservative

0.02% Sodium Azide

Concentration

1 mg/ml

Shipping

The product is shipped with polar packs. Upon receipt, store it immediately at the temperature recommended below.

Stability & Storage

Store at -20C. Avoid freeze-thaw cycles.

Background: FOLR2

Folate Receptor 2 (FOLR2), also known as Folate Receptor beta, is a 38 kDa glycoprotein that is anchored to the membrane via glycosyl phosphatidylinositol. It mediates the cellular uptake of dietary folates that are required for key steps in amino acid metabolism. FOLR2 is predominantly expressed in placenta, myeloid cells, and some CD34+ hematopoietic progenitor cells. It is upregulated on some cancer cells and at sites of chronic inflammation.

Long Name

Folate Receptor 2

Alternate Names

beta-HFR, FR-beta, FR-P3

Gene Symbol

FOLR2

Additional FOLR2 Products

Product Documents for FOLR2 Antibody (OTI4G6)

Certificate of Analysis

To download a Certificate of Analysis, please enter a lot number in the search box below.

Product Specific Notices for FOLR2 Antibody (OTI4G6)

This product is for research use only and is not approved for use in humans or in clinical diagnosis. Primary Antibodies are guaranteed for 1 year from date of receipt.

Loading...
Loading...
Loading...
Loading...