Skip to main content

FOLR2 Antibody (001) - Azide and BSA Free

Novus Biologicals, part of Bio-Techne | Catalog # NBP2-89846

Recombinant Monoclonal Antibody
Catalog #
Availability
Size / Price
Qty
Loading...
NBP2-89846-100ul
NBP2-89846-50ul
Conjugate
Catalog #

Key Product Details

Species Reactivity

Human

Applications

Immunohistochemistry, Immunohistochemistry-Paraffin

Label

Unconjugated

Antibody Source

Recombinant Monoclonal Rabbit IgG Clone # 001 expressed in HEK293

Format

Azide and BSA Free

Concentration

Please see the vial label for concentration. If unlisted please contact technical services.

Product Specifications

Immunogen

This antibody was obtained from a rabbit immunized with purified, recombinant Human FOLR2 (Uniprot#: P14207-1; Met1-His228).

Clonality

Monoclonal

Host

Rabbit

Isotype

IgG

Description

This antibody can be stored at 2C-8C for one month without detectable loss of activity. Antibody products are stable for twelve months from date of receipt when stored at -20C to -80C. Avoid repeated freeze-thaw cycles.

Scientific Data Images for FOLR2 Antibody (001) - Azide and BSA Free

Immunohistochemistry-Paraffin: FOLR2 Antibody (001) [NBP2-89846]

Immunohistochemistry-Paraffin: FOLR2 Antibody (001) [NBP2-89846]

Immunohistochemistry-Paraffin: FOLR2 Antibody (001) [NBP2-89846] - Staining of human FOLR2 in human placenta with rabbit monoclonal antibody at 1:5000 dilution.
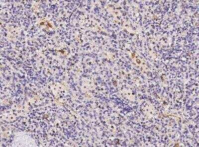
Immunohistochemistry-Paraffin: FOLR2 Antibody (001) [NBP2-89846]

Immunohistochemistry-Paraffin: FOLR2 Antibody (001) [NBP2-89846]

Immunohistochemistry-Paraffin: FOLR2 Antibody (001) [NBP2-89846] - Staining of human FOLR2 in human spleen with rabbit monoclonal antibody at 1:5000 dilution.

Applications for FOLR2 Antibody (001) - Azide and BSA Free

Application
Recommended Usage

Immunohistochemistry-Paraffin

1:2000-1:10000

Formulation, Preparation, and Storage

Purification

Protein A purified

Formulation

0.2 um filtered solution in PBS

Format

Azide and BSA Free

Preservative

No Preservative

Concentration

Please see the vial label for concentration. If unlisted please contact technical services.

Shipping

The product is shipped with polar packs. Upon receipt, store it immediately at the temperature recommended below.

Stability & Storage

Store at 4C short term. Aliquot and store at -20C long term. Avoid freeze-thaw cycles.

Background: FOLR2

Folate Receptor 2 (FOLR2), also known as Folate Receptor beta, is a 38 kDa glycoprotein that is anchored to the membrane via glycosyl phosphatidylinositol. It mediates the cellular uptake of dietary folates that are required for key steps in amino acid metabolism. FOLR2 is predominantly expressed in placenta, myeloid cells, and some CD34+ hematopoietic progenitor cells. It is upregulated on some cancer cells and at sites of chronic inflammation.

Long Name

Folate Receptor 2

Alternate Names

beta-HFR, FR-beta, FR-P3

Gene Symbol

FOLR2

Additional FOLR2 Products

Product Documents for FOLR2 Antibody (001) - Azide and BSA Free

Certificate of Analysis

To download a Certificate of Analysis, please enter a lot number in the search box below.

Product Specific Notices for FOLR2 Antibody (001) - Azide and BSA Free

This product is for research use only and is not approved for use in humans or in clinical diagnosis. Primary Antibodies are guaranteed for 1 year from date of receipt.

Loading...
Loading...
Loading...
Loading...