Skip to main content

FIGNL1 Antibody - BSA Free

Novus Biologicals, part of Bio-Techne | Catalog # NBP2-47456

Novus Biologicals, part of Bio-Techne
Catalog #
Availability
Size / Price
Qty
Loading...
NBP2-47456-25ul
NBP2-47456

Key Product Details

Species Reactivity

Validated:

Human

Predicted:

Rat (91%). Backed by our 100% Guarantee.

Applications

Immunohistochemistry, Immunohistochemistry-Paraffin

Label

Unconjugated

Antibody Source

Polyclonal Rabbit IgG

Format

BSA Free

Concentration

Concentrations vary lot to lot. See vial label for concentration. If unlisted please contact technical services.

Product Specifications

Immunogen

This antibody was developed against a recombinant protein corresponding to amino acids: RLYIPLPEASARKQIVINLMSKEQCCLSEEEIEQIVQQSDAFSGADMTQLCREASLGPIRSLQTADIATITPDQVRPIAYIDFENAFRTVRPSVSPK

Reactivity Notes

Immunogen displays the following percentage of sequence identity for non-tested species: Mouse (88%)

Clonality

Polyclonal

Host

Rabbit

Isotype

IgG

Scientific Data Images for FIGNL1 Antibody - BSA Free

Immunohistochemistry-Paraffin: FIGNL1 Antibody [NBP2-47456]

Immunohistochemistry-Paraffin: FIGNL1 Antibody [NBP2-47456]

Immunohistochemistry-Paraffin: FIGNL1 Antibody [NBP2-47456] - Staining of human skeletal muscle shows very weak cytoplasmic positivity in myocytes.
Immunohistochemistry-Paraffin: FIGNL1 Antibody [NBP2-47456]

Immunohistochemistry-Paraffin: FIGNL1 Antibody [NBP2-47456]

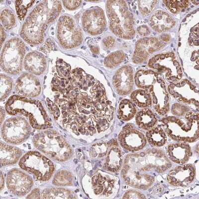
Immunohistochemistry-Paraffin: FIGNL1 Antibody [NBP2-47456] - Staining of human kidney shows moderate granular cytoplasmic positivity in cells in tubules.
Immunohistochemistry-Paraffin: FIGNL1 Antibody [NBP2-47456]

Immunohistochemistry-Paraffin: FIGNL1 Antibody [NBP2-47456]

Immunohistochemistry-Paraffin: FIGNL1 Antibody [NBP2-47456] - Staining of human cererbellum shows moderate granular cytoplasmic positivity in purkinje cells.

Applications for FIGNL1 Antibody - BSA Free

Application
Recommended Usage

Immunohistochemistry

1:200 - 1:500

Immunohistochemistry-Paraffin

1:200 - 1:500
Application Notes
For IHC-Paraffin, HIER pH 6 retrieval is recommended.

Formulation, Preparation, and Storage

Purification

Affinity purified

Formulation

PBS (pH 7.2) and 40% Glycerol

Format

BSA Free

Preservative

0.02% Sodium Azide

Concentration

Concentrations vary lot to lot. See vial label for concentration. If unlisted please contact technical services.

Shipping

The product is shipped with polar packs. Upon receipt, store it immediately at the temperature recommended below.

Stability & Storage

Store at 4C short term. Aliquot and store at -20C long term. Avoid freeze-thaw cycles.

Background: FIGNL1

May regulate osteoblast proliferation and differentiation.

Alternate Names

EC 3.6.4, EC 3.6.4.-, fidgetin-like 1, fidgetin-like protein 1

Gene Symbol

FIGNL1

Additional FIGNL1 Products

Product Documents for FIGNL1 Antibody - BSA Free

Certificate of Analysis

To download a Certificate of Analysis, please enter a lot number in the search box below.

Product Specific Notices for FIGNL1 Antibody - BSA Free

This product is for research use only and is not approved for use in humans or in clinical diagnosis. Primary Antibodies are guaranteed for 1 year from date of receipt.

Loading...
Loading...
Loading...
Loading...