Skip to main content

Fibulin 1 Antibody (C12) - BSA Free

Novus Biologicals, part of Bio-Techne | Catalog # NBP3-42195

Novus Biologicals, part of Bio-Techne
Catalog #
Availability
Size / Price
Qty
Loading...
NBP3-42195

Key Product Details

Species Reactivity

Mouse, Rat

Applications

Immunocytochemistry/ Immunofluorescence, Immunohistochemistry, Immunohistochemistry-Paraffin, Western Blot

Label

Unconjugated

Antibody Source

Monoclonal Mouse IgG2b Kappa Clone # C12

Format

BSA Free

Concentration

1 mg/ml

Product Specifications

Immunogen

Immunized with recombinant Mouse Fibulin 1 (Uniprot#: Q08879; Cys399-Arg578 (Uniprot#: Q08879)

Clonality

Monoclonal

Host

Mouse

Isotype

IgG2b Kappa

Description

Novus Biologicals Mouse Fibulin 1 Antibody (C12) - BSA Free (NBP3-42195) is a monoclonal antibody validated for use in IHC, WB and ICC/IF. All Novus Biologicals antibodies are covered by our 100% guarantee.

Scientific Data Images for Fibulin 1 Antibody (C12) - BSA Free

Fibulin 1 Antibody (C12)

Western Blot: Fibulin 1 Antibody (C12) [NBP3-42195] -

Western Blot: Fibulin 1 Antibody (C12) [NBP3-42195] - Sample: Recombinant Fibulin 1, Mouse.
Fibulin 1 Antibody (C12)

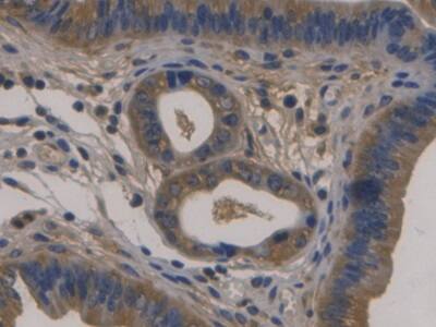
Immunohistochemistry-Paraffin: Fibulin 1 Antibody (C12) [NBP3-42195] -

Immunohistochemistry-Paraffin: Fibulin 1 Antibody (C12) [NBP3-42195] - DAB staining on IHC-P; Samples: Mouse Uterus Tissue
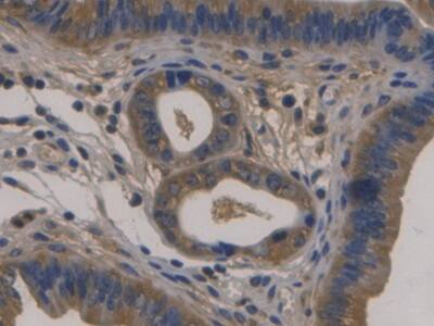
Fibulin 1 Antibody (C12)

Immunohistochemistry-Paraffin: Fibulin 1 Antibody (C12) [NBP3-42195] -

Immunohistochemistry-Paraffin: Fibulin 1 Antibody (C12) [NBP3-42195] - DAB staining on IHC-P; Samples: Mouse Uterus Tissue; Primary Ab: 30ug/ml NBP3-42195; Second Ab: 2ug/mL HRP-Linked Caprine Anti-Mouse IgG Polyclonal Antibody

Applications for Fibulin 1 Antibody (C12) - BSA Free

Application
Recommended Usage

Immunocytochemistry/ Immunofluorescence

5-20ug/mL

Immunohistochemistry

5-30ug/mL

Immunohistochemistry-Paraffin

5-30ug/mL

Western Blot

0.01-2ug/mL

Formulation, Preparation, and Storage

Purification

Protein A or G purified

Formulation

0.01M PBS, pH7.4, 50% glycerol

Format

BSA Free

Preservative

0.05% Proclin 300

Concentration

1 mg/ml

Shipping

The product is shipped with polar packs. Upon receipt, store it immediately at the temperature recommended below.

Stability & Storage

Store at 4C short term. Aliquot and store at -20C long term. Avoid freeze-thaw cycles.

Background: Fibulin 1

Fibulin 1 is a matricellular glycoprotein component of the elastic fiber core in connective tissues. It self-aggregates and additionally binds to several extracellular matrix and cellular proteins including Aggrecan, Versican, Fibronectin, ECM1, NOV/CCN3, and pro-HB-EGF. Fibulin 1c enhances ADAMTS-1 mediated cleavage of Aggrecan and Versican and can itself be cleaved by neutrophil elastase or MMP-13. It functions as a bridge between Fibrinogen and Fibrin, enabling Fibrin attachment to the platelet cell surface via Integrin alpha 2 beta 3. Fibulin 1 inhibits cardiomyocyte proliferation and Fibronectin-mediated cell adhesion and can promote bone formation.

Alternate Names

FBLN1, FIBL1

Gene Symbol

FBLN1

Additional Fibulin 1 Products

Product Documents for Fibulin 1 Antibody (C12) - BSA Free

Certificate of Analysis

To download a Certificate of Analysis, please enter a lot number in the search box below.

Product Specific Notices for Fibulin 1 Antibody (C12) - BSA Free

This product is for research use only and is not approved for use in humans or in clinical diagnosis. Primary Antibodies are guaranteed for 1 year from date of receipt.

Loading...
Loading...
Loading...
Loading...