Skip to main content

Fibronectin Antibody (OTI5C1) - Azide and BSA Free

Novus Biologicals, part of Bio-Techne | Catalog # NBP2-70762

Novus Biologicals, part of Bio-Techne
Catalog #
Availability
Size / Price
Qty
Loading...
NBP2-70762
Conjugate
Catalog #

Key Product Details

Species Reactivity

Human, Mouse, Rat

Applications

Immunohistochemistry, Immunohistochemistry-Paraffin, Western Blot

Label

Unconjugated

Antibody Source

Monoclonal Mouse IgG1 Clone # OTI5C1

Format

Azide and BSA Free

Concentration

LYOPH mg/ml

Product Specifications

Immunogen

Human recombinant protein fragment corresponding to amino acids 32-307 of human FN1 (NP_473375) produced in E.coli.

Reactivity Notes

Please note that this antibody is reactive to Mouse and derived from the same host, Mouse. Mouse-On-Mouse blocking reagent may be needed for IHC and ICC experiments to reduce high background signal. You can find these reagents under catalog numbers PK-2200-NB and MP-2400-NB. Please contact Technical Support if you have any questions.

Clonality

Monoclonal

Host

Mouse

Isotype

IgG1

Scientific Data Images for Fibronectin Antibody (OTI5C1) - Azide and BSA Free

Western Blot: Fibronectin Antibody (OTI5C1)Azide and BSA Free [NBP2-70762]

Western Blot: Fibronectin Antibody (OTI5C1)Azide and BSA Free [NBP2-70762]

Western Blot: Fibronectin Antibody (OTI5C1) - Azide and BSA Free [NBP2-70762] - Analysis of HEK293T cells were transfected with the pCMV6-ENTRY control (Left lane) or pCMV6-ENTRY Fibronectin.
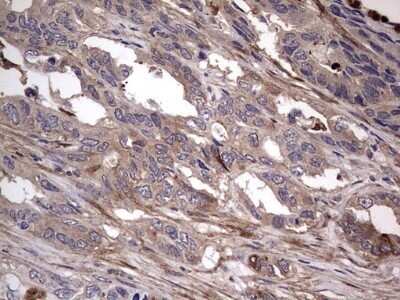
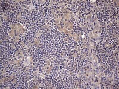
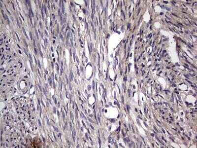
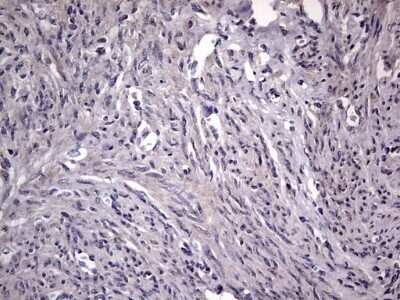
Immunohistochemistry: Fibronectin Antibody (OTI5C1) - Azide and BSA Free [NBP2-70762]

Immunohistochemistry: Fibronectin Antibody (OTI5C1) - Azide and BSA Free [NBP2-70762]

Immunohistochemistry: Fibronectin Antibody (OTI5C1) - Azide and BSA Free [NBP2-70762] - Analysis of Human thyroid tissue.
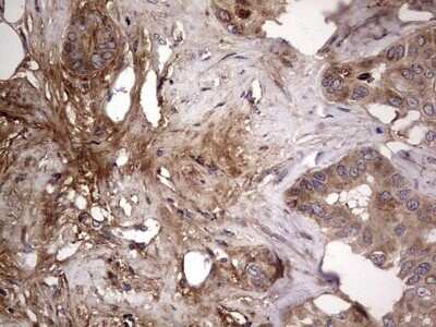
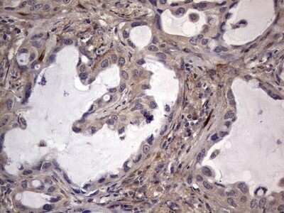
Immunohistochemistry: Fibronectin Antibody (OTI5C1) - Azide and BSA Free [NBP2-70762]

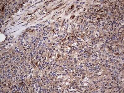
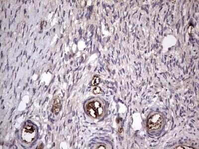
Immunohistochemistry: Fibronectin Antibody (OTI5C1) - Azide and BSA Free [NBP2-70762]

Immunohistochemistry: Fibronectin Antibody (OTI5C1) - Azide and BSA Free [NBP2-70762] - Analysis of Adenocarcinoma of Human breast tissue.

Applications for Fibronectin Antibody (OTI5C1) - Azide and BSA Free

Application
Recommended Usage

Western Blot

1:2000

Formulation, Preparation, and Storage

Purification

Immunogen affinity purified

Reconstitution

we recommend adding 100uL distilled water to a final antibody concentration of about 1 mg/mL. To use this carrier-free antibody for conjugation experiment, we strongly recommend performing another round of desalting process.

Formulation

Lyophilized from PBS (pH 7.3) with 8% Trehalose

Format

Azide and BSA Free

Preservative

No Preservative

Concentration

LYOPH mg/ml

Shipping

The product is shipped with polar packs. Upon receipt, store it immediately at the temperature recommended below.

Stability & Storage

Store at -20C. Avoid freeze-thaw cycles.

Background: Fibronectin

Fibronectin (also known as FN1, or Fibronectin 1) is an extracellular matrix glycoprotein that binds to integrins and has a large role in cell adhesion, migration, differentiation, and growth. It plays a key role in wound healing by helping form blood clots and participates in embryonic development by guiding cell attachment and migration. Fibronectin consists of two monomers linked by disulfide bonds and binds extracellular components such as collagen fibrin and syndecans. Fibronectin has been implicated in carcinoma and tumor development while also limiting tumor cells response to treatment. Novus offers Fibronectin antibodies, ELISA Kits, lysates, and proteins

Alternate Names

CIG, ED-B, FINC, FN1, FNZ, GFND2, LETS, SMDCF

Gene Symbol

FN1

Additional Fibronectin Products

Product Documents for Fibronectin Antibody (OTI5C1) - Azide and BSA Free

Certificate of Analysis

To download a Certificate of Analysis, please enter a lot number in the search box below.

Product Specific Notices for Fibronectin Antibody (OTI5C1) - Azide and BSA Free

This product is for research use only and is not approved for use in humans or in clinical diagnosis. Primary Antibodies are guaranteed for 1 year from date of receipt.

Loading...
Loading...
Loading...
Loading...
Loading...
Loading...