Skip to main content

Fibronectin Antibody (OTI5C1)

Novus Biologicals, part of Bio-Techne | Catalog # NBP2-45690

Novus Biologicals, part of Bio-Techne

Key Product Details

Species Reactivity

Human, Mouse, Rat

Applications

Immunohistochemistry, Immunohistochemistry-Paraffin, Western Blot

Label

Unconjugated

Antibody Source

Monoclonal Mouse IgG1 Clone # OTI5C1

Concentration

1 mg/ml

Product Specifications

Immunogen

Human recombinant protein fragment corresponding to amino acids 32-307 of human FN1 (NP_473375) produced in E.coli.

Reactivity Notes

Please note that this antibody is reactive to Mouse and derived from the same host, Mouse. Mouse-On-Mouse blocking reagent may be needed for IHC and ICC experiments to reduce high background signal. You can find these reagents under catalog numbers PK-2200-NB and MP-2400-NB. Please contact Technical Support if you have any questions.

Clonality

Monoclonal

Host

Mouse

Isotype

IgG1

Description

Novus Biologicals Mouse Fibronectin Antibody (OTI5C1) (NBP2-45690) is a monoclonal antibody validated for use in IHC and WB. All Novus Biologicals antibodies are covered by our 100% guarantee.

Scientific Data Images for Fibronectin Antibody (OTI5C1)

Western Blot: Fibronectin Antibody (OTI5C1) [NBP2-45690]

Western Blot: Fibronectin Antibody (OTI5C1) [NBP2-45690]

Western Blot: Fibronectin/Anastellin Antibody (5C1) [NBP2-45690] - Analysis of HEK293T cells were transfected with the pCMV6-ENTRY control (Left lane) or pCMV6-ENTRY Fibronectin.
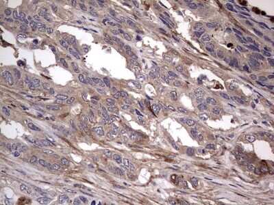
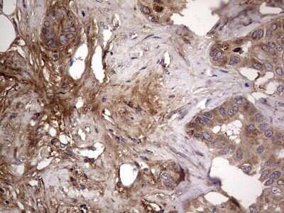
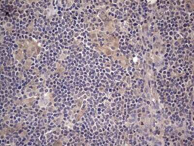
Immunohistochemistry: Fibronectin Antibody (OTI5C1) [NBP2-45690]

Immunohistochemistry: Fibronectin Antibody (OTI5C1) [NBP2-45690]

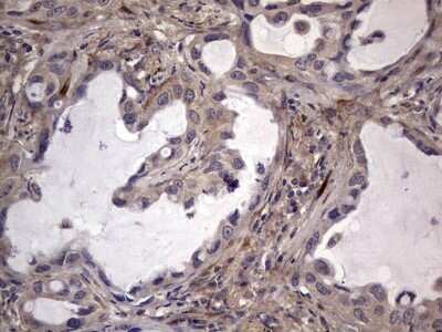
Immunohistochemistry: Fibronectin/Anastellin Antibody (5C1) [NBP2-45690] - Analysis of Carcinoma of Human prostate tissue.
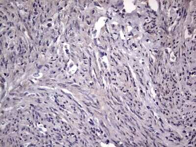
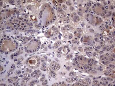
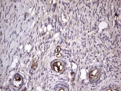
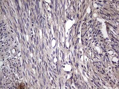
Immunohistochemistry: Fibronectin Antibody (OTI5C1) [NBP2-45690]

Immunohistochemistry: Fibronectin Antibody (OTI5C1) [NBP2-45690]

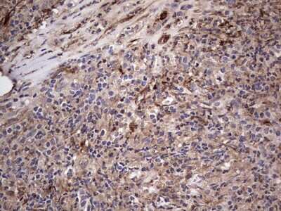
Immunohistochemistry: Fibronectin/Anastellin Antibody (5C1) [NBP2-45690] - Analysis of Human breast tissue.

Applications for Fibronectin Antibody (OTI5C1)

Application
Recommended Usage

Immunohistochemistry

1:150

Immunohistochemistry-Paraffin

1:150

Western Blot

1:2000

Formulation, Preparation, and Storage

Purification

Immunogen affinity purified

Formulation

PBS (pH 7.3), 1.0% BSA and 50% Glycerol

Preservative

0.02% Sodium Azide

Concentration

1 mg/ml

Shipping

The product is shipped with polar packs. Upon receipt, store it immediately at the temperature recommended below.

Stability & Storage

Store at -20C. Avoid freeze-thaw cycles.

Background: Fibronectin

Fibronectin (also known as FN1, or Fibronectin 1) is an extracellular matrix glycoprotein that binds to integrins and has a large role in cell adhesion, migration, differentiation, and growth. It plays a key role in wound healing by helping form blood clots and participates in embryonic development by guiding cell attachment and migration. Fibronectin consists of two monomers linked by disulfide bonds and binds extracellular components such as collagen fibrin and syndecans. Fibronectin has been implicated in carcinoma and tumor development while also limiting tumor cells response to treatment. Novus offers Fibronectin antibodies, ELISA Kits, lysates, and proteins

Alternate Names

CIG, ED-B, FINC, FN1, FNZ, GFND2, LETS, SMDCF

Gene Symbol

FN1

Additional Fibronectin Products

Product Documents for Fibronectin Antibody (OTI5C1)

Certificate of Analysis

To download a Certificate of Analysis, please enter a lot number in the search box below.

Product Specific Notices for Fibronectin Antibody (OTI5C1)

This product is for research use only and is not approved for use in humans or in clinical diagnosis. Primary Antibodies are guaranteed for 1 year from date of receipt.

Loading...
Loading...
Loading...
Loading...
Loading...