Skip to main content

FHIT Antibody - Azide and BSA Free

Novus Biologicals, part of Bio-Techne | Catalog # NBP3-00295

Novus Biologicals, part of Bio-Techne

Key Product Details

Species Reactivity

Human

Applications

ELISA, Immunocytochemistry/ Immunofluorescence, Immunohistochemistry-Paraffin

Label

Unconjugated

Antibody Source

Polyclonal Rabbit IgG

Format

Azide and BSA Free

Concentration

Please see the vial label for concentration. If unlisted please contact technical services.

Product Specifications

Immunogen

Produced in rabbits immunized with purified, recombinant Human FHIT (Accession#: P49789; Met1-Gln147)

Clonality

Polyclonal

Host

Rabbit

Isotype

IgG

Description

This antibody can be stored at 2C to 8C for one month without detectable loss of activity. Antibody products are stable for twelve months from date of receipt when stored at -20C to -80C. Avoid repeated freeze-thaw cycles.

Scientific Data Images for FHIT Antibody - Azide and BSA Free

FHIT Antibody - Azide and BSA Free

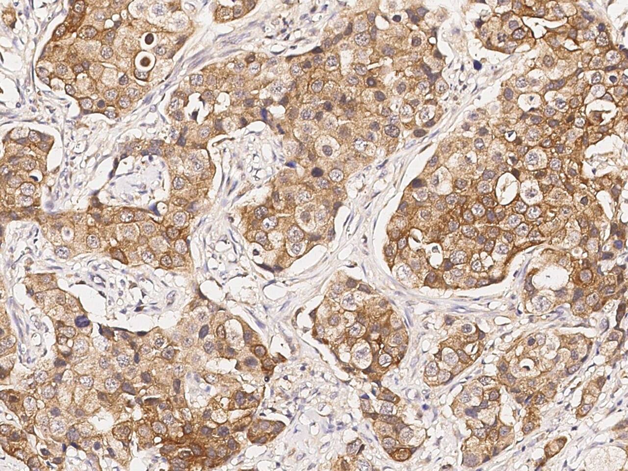
Immunohistochemistry-Paraffin: FHIT Antibody [NBP3-00295] -

Immunohistochemistry-Paraffin: FHIT Antibody [NBP3-00295] - Immunochemical staining of human FHIT in human lung cancer with NBP3-00295 (1:1000, formalin-fixed paraffin embedded sections).
FHIT Antibody - Azide and BSA Free

Immunohistochemistry-Paraffin: FHIT Antibody [NBP3-00295] -

Immunohistochemistry-Paraffin: FHIT Antibody [NBP3-00295] - Immunochemical staining of human FHIT in human breast carcinoma with NBP3-00295 (1:1000, formalin-fixed paraffin embedded sections).
FHIT Antibody - Azide and BSA Free

Immunocytochemistry/ Immunofluorescence: FHIT Antibody [NBP3-00295] -

Immunocytochemistry/ Immunofluorescence: FHIT Antibody [NBP3-00295] - Immunofluorescence staining of FHIT in Hela cells. Cells were fixed with 4% PFA, permeabilzed with 0.3% Triton X-100 in PBS,blocked with 10% serum, and incubated with NBP3-00295 (1:1000) at 4 overnight. Then cells were stained with the Alexa Fluor488-conjugated Goat Anti-rabbit IgG secondary antibody (green).Positive staining was localized to cytoplasm and nucleus.

Applications for FHIT Antibody - Azide and BSA Free

Application
Recommended Usage

ELISA

1:5000-1:10000

Immunocytochemistry/ Immunofluorescence

1:300-1:10000

Immunohistochemistry-Paraffin

1:500-1:2000

Formulation, Preparation, and Storage

Purification

Antigen and protein A Affinity-purified

Formulation

0.2 um filtered solution in PBS

Format

Azide and BSA Free

Preservative

No Preservative

Concentration

Please see the vial label for concentration. If unlisted please contact technical services.

Shipping

The product is shipped with polar packs. Upon receipt, store it immediately at the temperature recommended below.

Stability & Storage

Store at 4C short term. Aliquot and store at -20C long term. Avoid freeze-thaw cycles.

Background: FHIT

Alternate Names

AP3A hydrolase, AP3AaseFRA3Bbis(5'-adenosyl)-triphosphatase, Diadenosine 5'-5'''-P1, dinucleosidetriphosphatase, EC 3.6.1.29, fragile histidine triad gene, Fragile histidine triad protein, P3-triphosphate hydrolase, tumor suppressor protein

Gene Symbol

FHIT

Additional FHIT Products

Product Documents for FHIT Antibody - Azide and BSA Free

Certificate of Analysis

To download a Certificate of Analysis, please enter a lot number in the search box below.

Product Specific Notices for FHIT Antibody - Azide and BSA Free

This product is for research use only and is not approved for use in humans or in clinical diagnosis. Primary Antibodies are guaranteed for 1 year from date of receipt.

Loading...
Loading...
Loading...
Loading...