FGFR4 Antibody - BSA Free
Novus Biologicals, part of Bio-Techne | Catalog # NBP1-84585
Key Product Details
Species Reactivity
Validated:
Predicted:
Applications
Label
Antibody Source
Format
Concentration
Product Specifications
Immunogen
Reactivity Notes
Clonality
Host
Isotype
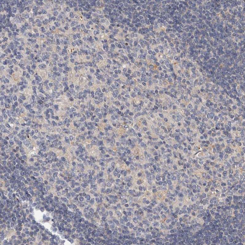
Scientific Data Images for FGFR4 Antibody - BSA Free
Immunohistochemistry-Paraffin: FGFR4 Antibody [NBP1-84585]
Immunohistochemistry-Paraffin: FGFR4 Antibody [NBP1-84585] - Staining of human liver shows moderate cytoplasmic positivity in hepatocytes.Immunohistochemistry-Paraffin: FGFR4 Antibody [NBP1-84585]
Immunohistochemistry-Paraffin: FGFR4 Antibody [NBP1-84585] - Staining of human kidney shows moderate cytoplasmic positivity in cells in tubules.Immunohistochemistry-Paraffin: FGFR4 Antibody - BSA Free [NBP1-84585]
Staining of human lymph node shows very weak positivity in germinal center cells as expected.Applications for FGFR4 Antibody - BSA Free
Immunohistochemistry
Immunohistochemistry-Paraffin
Formulation, Preparation, and Storage
Purification
Formulation
Format
Preservative
Concentration
Shipping
Stability & Storage
Background: FGFR4
FGF activity is mediated by a family of type I transmembrane tyrosine kinases, which undergo dimerization and autophosphorylation after ligand binding. Five distinct genes encode closely related FGF receptors, FGFR1 through 5. FGFRs contain three Ig-like domains and a stretch of acidic residues between the first and second Ig-like domains. FGFR1, 2, 3, and -4 have a cytoplasmic split tyrosine-kinase domain, but FGFR5 does not. Multiple forms of FGFR1, 2, and 3 are generated by alternative splicing.
Long Name
Alternate Names
Gene Symbol
Additional FGFR4 Products
Product Documents for FGFR4 Antibody - BSA Free
Product Specific Notices for FGFR4 Antibody - BSA Free
This product is for research use only and is not approved for use in humans or in clinical diagnosis. Primary Antibodies are guaranteed for 1 year from date of receipt.