Skip to main content

FGD4 Antibody - BSA Free

Novus Biologicals, part of Bio-Techne | Catalog # NBP1-31335

Novus Biologicals, part of Bio-Techne
Catalog #
Availability
Size / Price
Qty
Loading...
NBP1-31335

Key Product Details

Species Reactivity

Human

Applications

Immunohistochemistry, Immunohistochemistry-Paraffin, Western Blot, Immunocytochemistry/ Immunofluorescence

Label

Unconjugated

Antibody Source

Polyclonal Rabbit IgG

Format

BSA Free

Concentration

Concentrations vary lot to lot. See vial label for concentration. If unlisted please contact technical services.

Product Specifications

Immunogen

Recombinant protein encompassing a sequence within the center region of human FGD4. The exact sequence is proprietary.

Localization

Cytoplasm, cytoskeleton, Cell projection, filopodium

Clonality

Polyclonal

Host

Rabbit

Isotype

IgG

Description

Novus Biologicals Rabbit FGD4 Antibody - BSA Free (NBP1-31335) is a polyclonal antibody validated for use in IHC, WB and ICC/IF. All Novus Biologicals antibodies are covered by our 100% guarantee.

Scientific Data Images for FGD4 Antibody - BSA Free

Western Blot: FGD4 Antibody [NBP1-31335]

Western Blot: FGD4 Antibody [NBP1-31335]

Western Blot: FGD4 Antibody [NBP1-31335] - Sample (30 ug of whole cell lysate) A: Molt-4 7.5% SDS PAGE, antibody diluted at 1:1000.
Immunocytochemistry/ Immunofluorescence: FGD4 Antibody [NBP1-31335]

Immunocytochemistry/ Immunofluorescence: FGD4 Antibody [NBP1-31335]

Immunocytochemistry/Immunofluorescence: FGD4 Antibody [NBP1-31335] - Analysis of HeLa, using NBP1-31335 at 1:200 dilution.
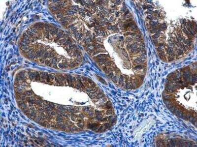
Immunohistochemistry-Paraffin: FGD4 Antibody [NBP1-31335]

Immunohistochemistry-Paraffin: FGD4 Antibody [NBP1-31335]

Immunohistochemistry-Paraffin: FGD4 Antibody [NBP1-31335] - FGD4 antibody [N1N3] detects FGD4 protein at cytoplasm in human endometrial cancer by immunohistochemical analysis. Sample: Paraffin-embedded human endometrial cancer. FGD4 antibody [N1N3] diluted at 1:500. Antigen Retrieval: Citrate buffer, pH 6.0, 15 min

Applications for FGD4 Antibody - BSA Free

Application
Recommended Usage

Immunocytochemistry/ Immunofluorescence

1:100-1:1000

Immunohistochemistry

10 - 1:500

Immunohistochemistry-Paraffin

1:100-1:1000

Western Blot

1:500-1:3000

Formulation, Preparation, and Storage

Purification

Antigen Affinity-purified

Formulation

0.1M Tris, 0.1M Glycine, 10% Glycerol

Format

BSA Free

Preservative

0.01% Thimerosal

Concentration

Concentrations vary lot to lot. See vial label for concentration. If unlisted please contact technical services.

Shipping

The product is shipped with polar packs. Upon receipt, store it immediately at the temperature recommended below.

Stability & Storage

Aliquot and store at -20C or -80C. Avoid freeze-thaw cycles.

Background: FGD4

The FGD4 gene encodes a protein that is involved in the regulation of the actin cytoskeleton and cell shape. This proteincontains an actin filament-binding domain, which together with its Dbl homology domain and one of its pleckstrinhomology domains, can form

Alternate Names

Actin filament-binding protein frabin, CMT4HFLJ42663, DKFZp313E1818, FGD1 family, member 4, frabin, FRABPDKFZp434K1572, FYVE, RhoGEF and PH domain containing 4, MGC57222, RhoGEF and PH domain-containing protein 4, ZFYVE6FLJ34370

Gene Symbol

FGD4

Additional FGD4 Products

Product Documents for FGD4 Antibody - BSA Free

Certificate of Analysis

To download a Certificate of Analysis, please enter a lot number in the search box below.

Product Specific Notices for FGD4 Antibody - BSA Free

This product is for research use only and is not approved for use in humans or in clinical diagnosis. Primary Antibodies are guaranteed for 1 year from date of receipt.

Loading...
Loading...
Loading...
Loading...

⚠ WARNING: This product can expose you to chemicals including mercury, which is known to the State of California to cause reproductive toxicity with developmental effects.  For more information go to www.P65Warnings.ca.gov.