Skip to main content

FcgR4/CD16-2 Antibody (011) - Azide and BSA Free

Novus Biologicals, part of Bio-Techne | Catalog # NBP3-05889

Recombinant Monoclonal Antibody
Novus Biologicals, part of Bio-Techne

Key Product Details

Species Reactivity

Mouse

Applications

ELISA, Immunohistochemistry, Immunohistochemistry-Paraffin

Label

Unconjugated

Antibody Source

Recombinant Monoclonal Rabbit IgG Clone # 011

Format

Azide and BSA Free

Concentration

Please see the vial label for concentration. If unlisted please contact technical services.

Product Specifications

Immunogen

This antibody was obtained from a rabbit immunized with purified, recombinant Mouse FcgR4/CD16-2 (Accession#: NP_653142.2; Met 1-Gln 203).

Specificity

Has cross-reactivity in ELISA with: Human CD64No cross-reactivity in ELISA with: Human CD16aHuman CD16bHuman CD32aHuman CD32bMouse FCGR3

Clonality

Monoclonal

Host

Rabbit

Isotype

IgG

Description

This antibody can be stored at 2C-8C for one month without detectable loss of activity. Antibody products are stable for twelve months from date of receipt when stored at -20C to -80C. Avoid repeated freeze-thaw cycles.

Scientific Data Images for FcgR4/CD16-2 Antibody (011) - Azide and BSA Free

FcgR4/CD16-2 Antibody (011) - Azide and BSA Free

Immunohistochemistry-Paraffin: FcgR4/CD16-2 Antibody (011) [NBP3-05889] -

Immunohistochemistry-Paraffin: FcgR4/CD16-2 Antibody (011) [NBP3-05889] - Immunochemical staining of FcgR4/CD16-2 in mouse intestine with NBP3-05889 (1:200, formalin-fixed paraffin embedded sections).
FcgR4/CD16-2 Antibody (011) - Azide and BSA Free

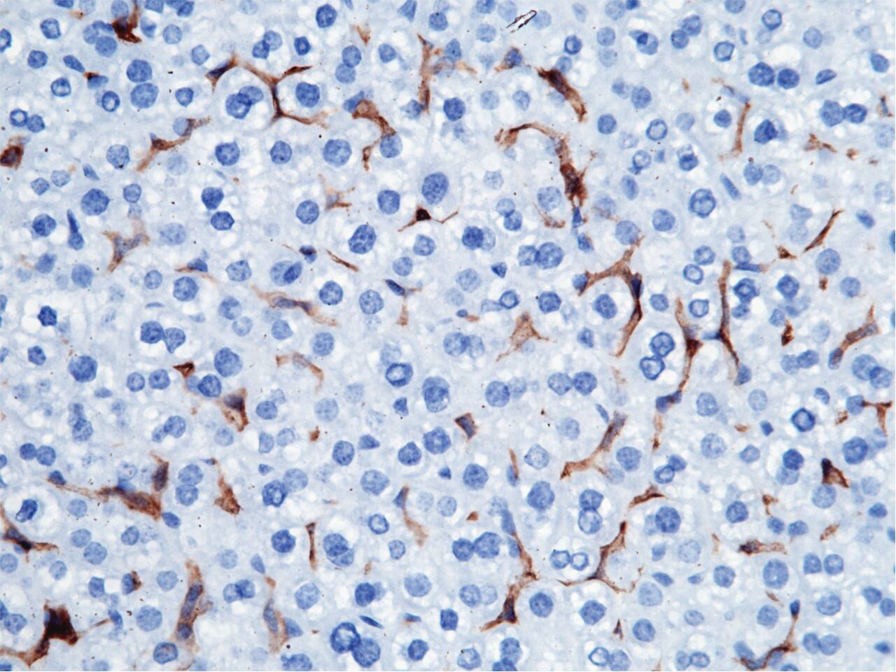
Immunohistochemistry-Paraffin: FcgR4/CD16-2 Antibody (011) [NBP3-05889] -

Immunohistochemistry-Paraffin: FcgR4/CD16-2 Antibody (011) [NBP3-05889] - Immunochemical staining of FcgR4/CD16-2 in mouse liver with NBP3-05889 (1:200, formalin-fixed paraffin embedded sections).
FcgR4/CD16-2 Antibody (011) - Azide and BSA Free

Immunohistochemistry-Paraffin: FcgR4/CD16-2 Antibody (011) [NBP3-05889] -

Immunohistochemistry-Paraffin: FcgR4/CD16-2 Antibody (011) [NBP3-05889] - Immunochemical staining of FcgR4/CD16-2 in mouse lung with NBP3-05889 (1:200, formalin-fixed paraffin embedded sections).Positive staining was localized to pulmonary macrophage.

Applications for FcgR4/CD16-2 Antibody (011) - Azide and BSA Free

Application
Recommended Usage

ELISA

1:5000-1:10000

Immunohistochemistry

1:100-1:500

Immunohistochemistry-Paraffin

1:100-1:500

Formulation, Preparation, and Storage

Purification

Protein A purified

Formulation

0.2 um filtered solution in PBS

Format

Azide and BSA Free

Preservative

No Preservative

Concentration

Please see the vial label for concentration. If unlisted please contact technical services.

Shipping

The product is shipped with polar packs. Upon receipt, store it immediately at the temperature recommended below.

Stability & Storage

Store at 4C short term. Aliquot and store at -20C long term. Avoid freeze-thaw cycles.

Background: FcgR4/CD16-2

Fcgr4, also known as Fc Receptor-like 3 (Fcrl3) and CD16-2, is a recently described mouse protein that is closely related to human Fc gamma RIIIA (60% amino acid identity) and may be its true ortholog. Similar to other activating receptors, it possesses a charged residue within its transmembrane domain that is necessary for association with an ITAM bearing accessory protein. CD16-2 mRNA expression was observed in peripheral blood leukocytes, spleen, thymus, colon, and intestine.

Long Name

Fc receptor, IgG, low affinity IV

Alternate Names

CD16-2, Fcrl3

Gene Symbol

Fcgr4

Additional FcgR4/CD16-2 Products

Product Documents for FcgR4/CD16-2 Antibody (011) - Azide and BSA Free

Certificate of Analysis

To download a Certificate of Analysis, please enter a lot number in the search box below.

Product Specific Notices for FcgR4/CD16-2 Antibody (011) - Azide and BSA Free

This product is for research use only and is not approved for use in humans or in clinical diagnosis. Primary Antibodies are guaranteed for 1 year from date of receipt.

Loading...
Loading...
Loading...
Loading...