Skip to main content

Fc gamma RIIB/CD32b Antibody (S07-4B5)

Novus Biologicals, part of Bio-Techne | Catalog # NBP3-19496

Recombinant Monoclonal Antibody
Novus Biologicals, part of Bio-Techne
Catalog #
Availability
Size / Price
Qty
Loading...
NBP3-19496-100ul
NBP3-19496-50ul

Key Product Details

Species Reactivity

Human, Rat

Applications

Immunohistochemistry, Immunohistochemistry-Paraffin, Western Blot

Label

Unconjugated

Antibody Source

Recombinant Monoclonal Rabbit IgG Clone # S07-4B5 expressed in HEK293

Concentration

0.3 mg/ml

Product Specifications

Immunogen

A synthetic peptide of human Fc gamma RIIB/CD32b (Uniprot # P31994)

Clonality

Monoclonal

Host

Rabbit

Isotype

IgG

Theoretical MW

44 kDa.
Disclaimer note: The observed molecular weight of the protein may vary from the listed predicted molecular weight due to post translational modifications, post translation cleavages, relative charges, and other experimental factors.

Description

Novus Biologicals Rabbit Fc gamma RIIB/CD32b Antibody (S07-4B5) (NBP3-19496) is a recombinant monoclonal antibody validated for use in IHC and WB. All Novus Biologicals antibodies are covered by our 100% guarantee.

Scientific Data Images for Fc gamma RIIB/CD32b Antibody (S07-4B5)

Western Blot: Fc gamma RIIB/CD32b Antibody (S07-4B5) [NBP3-19496]

Western Blot: Fc gamma RIIB/CD32b Antibody (S07-4B5) [NBP3-19496]

Western Blot: Fc gamma RIIB/CD32b Antibody (S07-4B5) [NBP3-19496] - Western blot detection of Fc gamma RIIB/CD32b in C6 cell lysates using NBP3-19496 (1:1000 diluted). Predicted band size: 34kDa. Observed band size: 44kDa.
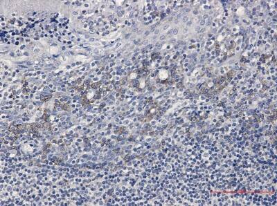
Immunohistochemistry-Paraffin: Fc gamma RIIB/CD32b Antibody (S07-4B5) [NBP3-19496]

Immunohistochemistry-Paraffin: Fc gamma RIIB/CD32b Antibody (S07-4B5) [NBP3-19496]

Immunohistochemistry-Paraffin: Fc gamma RIIB/CD32b Antibody (S07-4B5) [NBP3-19496] - Immunohistochemistry of Fc gamma RIIB/CD32b in paraffin-embedded Human tonsil using NBP3-19496 at dilution 1/50

Applications for Fc gamma RIIB/CD32b Antibody (S07-4B5)

Application
Recommended Usage

Immunohistochemistry

1/200

Western Blot

1/2000-1/10000

Formulation, Preparation, and Storage

Purification

Affinity purified

Formulation

50mM Tris-Glycine(pH 7.4), 0.15M NaCl, 40% Glycerol, 0.05% BSA

Preservative

0.01% Sodium Azide

Concentration

0.3 mg/ml

Shipping

The product is shipped with polar packs. Upon receipt, store it immediately at the temperature recommended below.

Stability & Storage

Store at 4C short term. Aliquot and store at -20C long term. Avoid freeze-thaw cycles.

Background: Fc gamma RIIB/CD32b

Low affinity IgG Fc receptor gamma II (Fc-gamma II), also known as CD32, is a member of the immunoreceptor tyrosine-based activating/inhibitory motif (ITAM/ITIM) family. Fc gamma receptors play a critical role in immunity by linking the IgG antibody mediated response with the regulatory functions of the immune system (1). Three classes of Fc gamma receptor exist; Fc gamma RI (CD64, a high affinity receptor), Fc gamma RII, and RIII (CD32 and CD16 respectively, both low affinity receptors). Fc gamma RIIa is an activating receptor, while RIIb1, RIIb2, and RIIb3 are inhibitory receptors generated by alternative splicing (1-2). Fc gamma RIIa is critical for antigen-presenting-cell activation and Fc gamma RIIb downregulates B-cell functions (3). Fc gamma RIIb has also been known to block the inflammatory immune response in mice (4). Once phosphorylated on tyrosine residues, Fc gamma RIIb associates with SHIP to downregulate phagocytosis.

Long Name

Fc gamma Receptor II

Alternate Names

CD32b, FCGR2B, FcgRIIB, FCRIIB

Gene Symbol

FCGR2B

Additional Fc gamma RIIB/CD32b Products

Product Documents for Fc gamma RIIB/CD32b Antibody (S07-4B5)

Certificate of Analysis

To download a Certificate of Analysis, please enter a lot number in the search box below.

Product Specific Notices for Fc gamma RIIB/CD32b Antibody (S07-4B5)

This product is for research use only and is not approved for use in humans or in clinical diagnosis. Primary Antibodies are guaranteed for 1 year from date of receipt.

Loading...
Loading...
Loading...
Loading...