Skip to main content

Fc gamma RIIA/CD32a Antibody (JE64-17)

Novus Biologicals, part of Bio-Techne | Catalog # NBP3-33141

Recombinant Monoclonal Antibody
Novus Biologicals, part of Bio-Techne
Catalog #
Availability
Size / Price
Qty
Loading...
NBP3-33141

Key Product Details

Species Reactivity

Human

Applications

Immunohistochemistry, Immunohistochemistry-Paraffin, Western Blot

Label

Unconjugated

Antibody Source

Recombinant Monoclonal Rabbit IgG Clone # JE64-17 expressed in HEK293

Concentration

1 mg/ml

Product Specifications

Immunogen

Synthetic peptide within Human Fc gamma RIIA/CD32a aa 60-109 / 317. (Uniprot: P12318)

Localization

Cell membrane.

Clonality

Monoclonal

Host

Rabbit

Isotype

IgG

Theoretical MW

35 kDa.
Disclaimer note: The observed molecular weight of the protein may vary from the listed predicted molecular weight due to post translational modifications, post translation cleavages, relative charges, and other experimental factors.

Description

Novus Biologicals Rabbit Fc gamma RIIA/CD32a Antibody (JE64-17) (NBP3-33141) is a recombinant monoclonal antibody validated for use in IHC and WB. All Novus Biologicals antibodies are covered by our 100% guarantee.

Scientific Data Images for Fc gamma RIIA/CD32a Antibody (JE64-17)

Fc gamma RIIA/CD32a Antibody (JE64-17)

Western Blot: Fc gamma RIIA/CD32a Antibody (JE64-17) [NBP3-33141]

Western Blot: Fc gamma RIIA/CD32a Antibody (JE64-17) [NBP3-33141] - Western blot analysis of Fc gamma RIIA/CD32a on different lysates with Rabbit anti-Fc gamma RIIA/CD32a antibody (NBP3-33141) at 1/1,000 dilution.

Lane 1: K-562 cell lysate
Lane 2: Raji cell lysate
Lane 3: HL-60 cell lysate
Lane 4: Human lung tissue lysate

Cell lysates/proteins at 20 ug/Lane.
Tissue lysates/proteins at 30 ug/Lane.

Predicted band size: 35 kDa
Observed band size: 35-42 kDa

Exposure time: 3 minutes;

4-20% SDS-PAGE gel.

Proteins were transferred to a PVDF membrane and blocked with 5% NFDM/TBST for 1 hour at room temperature. The primary antibody (NBP3-33141) at 1/1,000 dilution was used in 5% NFDM/TBST at 4C overnight. Goat Anti-Rabbit IgG - HRP Secondary Antibody at 1/50,000 dilution was used for 1 hour at room temperature.
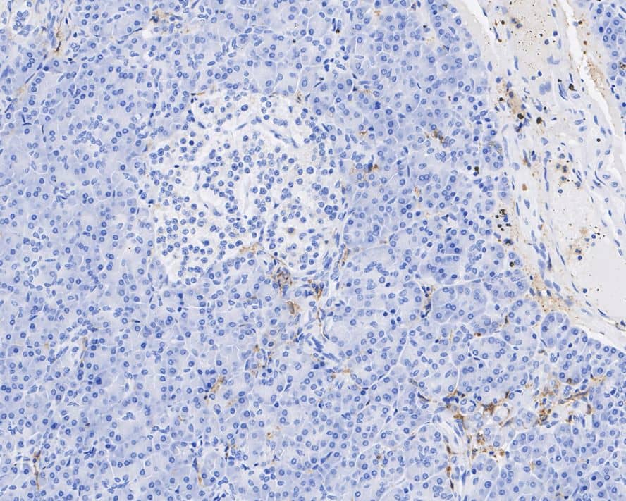
Fc gamma RIIA/CD32a Antibody (JE64-17)

Immunohistochemistry: Fc gamma RIIA/CD32a Antibody (JE64-17) [NBP3-33141]

Immunohistochemistry: Fc gamma RIIA/CD32a Antibody (JE64-17) [NBP3-33141] - Immunohistochemical analysis of paraffin-embedded human pancreas tissue with Rabbit anti-Fc gamma RIIA/CD32a antibody (NBP3-33141) at 1/2,000 dilution.

The section was pre-treated using heat mediated antigen retrieval with Tris-EDTA buffer (pH 9.0) for 20 minutes. The tissues were blocked in 1% BSA for 20 minutes at room temperature, washed with ddH2O and PBS, and then probed with the primary antibody (NBP3-33141) at 1/2,000 dilution for 1 hour at room temperature. The detection was performed using an HRP conjugated compact polymer system. DAB was used as the chromogen. Tissues were counterstained with hematoxylin and mounted with DPX.

Applications for Fc gamma RIIA/CD32a Antibody (JE64-17)

Application
Recommended Usage

Immunohistochemistry-Paraffin

1:500-1:2000

Western Blot

1:1000

Formulation, Preparation, and Storage

Purification

Protein A purified

Formulation

1*TBS (pH7.4), 0.05% BSA and 40% Glycerol

Preservative

0.05% Sodium Azide

Concentration

1 mg/ml

Shipping

The product is shipped with polar packs. Upon receipt, store it immediately at the temperature recommended below.

Stability & Storage

Store at 4C short term. Aliquot and store at -20C long term. Avoid freeze-thaw cycles.

Background: Fc gamma RIIA/CD32a

The FCGR2A gene encodes a low affinity immunoglobulin gamma Fc region receptor II-a protein that in isoform 1 is 317 amino acids long at 35 kDA and at isoform 2 is 316 amino acids long at nearly 35 kDA. These proteins are found on the surface of many immune system response cells that act as a low affinity receptor through encouraging responses against pathogens and soluble antigens. Additionally, it functions to initiate phagocytosis of opsonized antigens. FCGR2A participates in Fc-GammaR pathway, osteoclast differentiation, signaling events controlled by PTP1B, and NFAT in immune response. It is known to interact with genes SYK, FYN, HCK, LGALS3, and PIK3R1. FCGR2A is linked to lupus, thrombocytopenia, b-cell lymphomas, otitis media, adult-onset still's disease, guillain-barre syndrome, asymptomatic dengue, severe acute respiratory syndrome.

Long Name

Fc gamma Receptor II A

Alternate Names

CD32a, FCGR2A, FcgRIIA, FCRIIA

Gene Symbol

FCGR2A

Additional Fc gamma RIIA/CD32a Products

Product Documents for Fc gamma RIIA/CD32a Antibody (JE64-17)

Certificate of Analysis

To download a Certificate of Analysis, please enter a lot number in the search box below.

Product Specific Notices for Fc gamma RIIA/CD32a Antibody (JE64-17)

This product is for research use only and is not approved for use in humans or in clinical diagnosis. Primary Antibodies are guaranteed for 1 year from date of receipt.

Loading...
Loading...
Loading...
Loading...
Loading...