FAT4 Antibody - BSA Free
Novus Biologicals, part of Bio-Techne | Catalog # NBP2-49064
Key Product Details
Species Reactivity
Validated:
Human
Predicted:
Mouse (97%), Rat (97%). Backed by our 100% Guarantee.
Applications
Immunohistochemistry, Immunohistochemistry-Paraffin, Immunocytochemistry/ Immunofluorescence
Label
Unconjugated
Antibody Source
Polyclonal Rabbit IgG
Format
BSA Free
Concentration
Concentrations vary lot to lot. See vial label for concentration. If unlisted please contact technical services.
Product Specifications
Immunogen
This antibody was developed against a recombinant protein corresponding to amino acids: FDDPDNIPPYGDDMTVRKQPEGNPKPDIIERENPYLIYDETDIPHNSETIPSAPLASPEQEIEHYDIDNASSIAPSDADIIQHYKQFRSHT
Clonality
Polyclonal
Host
Rabbit
Isotype
IgG
Scientific Data Images for FAT4 Antibody - BSA Free
Immunocytochemistry/ Immunofluorescence: FAT4 Antibody [NBP2-49064]
Immunocytochemistry/Immunofluorescence: FAT4 Antibody [NBP2-49064] - Staining of human cell line AF22 shows localization to cytosol. Antibody staining is shown in green. Antibody staining is shown in green.Immunohistochemistry-Paraffin: FAT4 Antibody [NBP2-49064]
Immunohistochemistry-Paraffin: FAT4 Antibody [NBP2-49064] - Staining of human parathyroid gland shows moderate positivity in glandular cells.Immunohistochemistry-Paraffin: FAT4 Antibody [NBP2-49064]
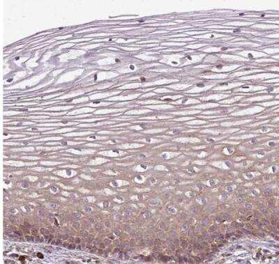
Immunohistochemistry-Paraffin: FAT4 Antibody [NBP2-49064] - Staining of human cervix, uterine shows weak to moderate cytoplasmic positivity in squamous epithelial cells.Applications for FAT4 Antibody - BSA Free
Application
Recommended Usage
Immunocytochemistry/ Immunofluorescence
0.25-2 ug/ml
Immunohistochemistry
1:20 - 1:50
Immunohistochemistry-Paraffin
1:20-1:50
Application Notes
For IHC-Paraffin, HIER pH 6 retrieval is recommended. ICC/IF Fixation Permeabilization: Use PFA/Triton X-100.
Formulation, Preparation, and Storage
Purification
Affinity purified
Formulation
PBS (pH 7.2) and 40% Glycerol
Format
BSA Free
Preservative
0.02% Sodium Azide
Concentration
Concentrations vary lot to lot. See vial label for concentration. If unlisted please contact technical services.
Shipping
The product is shipped with polar packs. Upon receipt, store it immediately at the temperature recommended below.
Stability & Storage
Store at 4C short term. Aliquot and store at -20C long term. Avoid freeze-thaw cycles.
Background: FAT4
Alternate Names
cadherin family member 14, cadherin-related family member 11, CDHR11, FAT tumor suppressor homolog 4 (Drosophila), FAT-J, fat-like cadherin protein FAT-J, FLJ77878, hFat4, NBLA00548, putative protein product of Nbla00548
Gene Symbol
FAT4
Additional FAT4 Products
Product Documents for FAT4 Antibody - BSA Free
Product Specific Notices for FAT4 Antibody - BSA Free
This product is for research use only and is not approved for use in humans or in clinical diagnosis. Primary Antibodies are guaranteed for 1 year from date of receipt.
Loading...
Loading...
Loading...
Loading...