Skip to main content

Fascin Antibody (FSCN1/418)

Novus Biologicals, part of Bio-Techne | Catalog # NBP2-44385

Novus Biologicals, part of Bio-Techne
Catalog #
Availability
Size / Price
Qty
Loading...
NBP2-44385-0.02mg
NBP2-44385-0.1mg

Key Product Details

Species Reactivity

Human, Rat

Applications

Flow Cytometry, Immunocytochemistry/ Immunofluorescence, Immunohistochemistry, Immunohistochemistry-Paraffin, Western Blot

Label

Unconjugated

Antibody Source

Monoclonal Mouse IgG2b Kappa Clone # FSCN1/418

Concentration

0.2 mg/ml

Product Specifications

Immunogen

Full length recombinant human Fascin protein (Uniprot: Q16658)

Localization

Cytoplasmic

Specificity

Recognizes a protein of 55kDa, which is identified as fascin-1. Its actin binding ability is regulated by phosphorylation. Antibody to fascin-1 is a very sensitive marker for Reed-Sternberg cells and variants in nodular sclerosis, mixed cellularity, and lymphocyte depletion Hodgkins disease. It is uniformly negative in lymphoid cells, plasma cells, and myeloid cells. Fascin-1 is also expressed in dendritic cells. This marker may be helpful to distinguish between Hodgkin lymphoma and non-Hodgkin lymphoma in difficult cases. Also, the lack of expression of fascin-1 in the neoplastic follicles in follicular lymphoma may be helpful in distinguishing these lymphomas from reactive follicular hyperplasia in which the number of follicular dendritic cells is normal or increased. Antibody to fascin-1 has been suggested as a prognostic marker in neuroendocrine neoplasms of the lung as well as in ovarian cancer. Fascin-1 expression may be induced by Epstein-Barr virus (EBV) infection of B cells with the possibility that viral induction of fascin in lymphoid or other cell types must also be considered in EBV-positive cases.

Marker

Reed-Sternberg Cell Marker

Clonality

Monoclonal

Host

Mouse

Isotype

IgG2b Kappa

Theoretical MW

55 kDa.
Disclaimer note: The observed molecular weight of the protein may vary from the listed predicted molecular weight due to post translational modifications, post translation cleavages, relative charges, and other experimental factors.

Description

200ug/ml of antibody purified from Bioreactor Concentrate by Protein A or G. Prepared in 10 mM PBS with 0.05% BSA & 0.05% azide. Also available WITHOUT BSA & azide at 1.0 mg/ml. (NBP2-47802)

Antibody with azide - store at 2 to 8C. Antibody without azide - store at -20 to -80C.

Scientific Data Images for Fascin Antibody (FSCN1/418)

Western Blot: Fascin Antibody (FSCN1/418) [NBP2-44385]

Western Blot: Fascin Antibody (FSCN1/418) [NBP2-44385]

Western Blot: Fascin Antibody (FSCN1/418) [NBP2-44385] - Western Blot Analysis of HeLa cell lysate using Fascin Antibody (FSCN1/418)
Immunocytochemistry/ Immunofluorescence: Fascin Antibody (FSCN1/418) [NBP2-44385]

Immunocytochemistry/ Immunofluorescence: Fascin Antibody (FSCN1/418) [NBP2-44385]

Immunocytochemistry/Immunofluorescence: Fascin Antibody (FSCN1/418) [NBP2-44385] - Immunofluorescence Analysis of HeLa cells labeling Fascin with Fascin Antibody (FSCN1/418) -CF640 (Green). The nuclear counterstain is Hoescht (Blue). Membrane is Phalloidin 488 (Red).
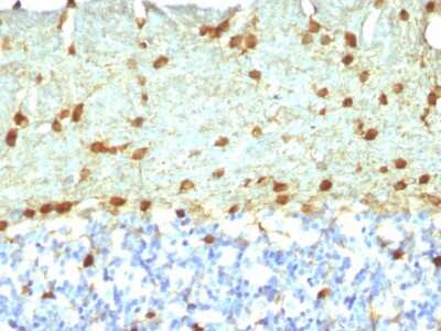
Immunohistochemistry-Paraffin: Fascin Antibody (FSCN1/418) [NBP2-44385]

Immunohistochemistry-Paraffin: Fascin Antibody (FSCN1/418) [NBP2-44385]

Immunohistochemistry-Paraffin: Fascin Antibody (FSCN1/418) [NBP2-44385] - Formalin-fixed, paraffin-embedded Rat Brain stained with Fascin Antibody (FSCN1/418).

Applications for Fascin Antibody (FSCN1/418)

Application
Recommended Usage

Flow Cytometry

1-2 ug/million cells

Immunocytochemistry/ Immunofluorescence

1-2 ug/ml

Immunohistochemistry-Paraffin

1-2 ug/ml

Western Blot

1-2 ug/ml
Application Notes
Immunohistochemistry (Formalin-fixed): 1-2ug/ml for 30 minutes at RT. Staining of formalin-fixed tissues requires heating tissue sections in 1mM EDTA, pH 8.0, for 45 min at 95C followed by cooling at RT for 20 minutes.
Optimal dilution for a specific application should be determined.

Formulation, Preparation, and Storage

Purification

Protein A or G purified

Formulation

10 mM PBS with 0.05% BSA

Preservative

0.05% Sodium Azide

Concentration

0.2 mg/ml

Shipping

The product is shipped with polar packs. Upon receipt, store it immediately at the temperature recommended below.

Stability & Storage

Store at 4C.

Background: Fascin

Organizes filamentous actin into bundles with a minimum of 4.1:1 actin/fascin ratio. Probably involved in the assembly of actin filament bundles present in microspikes, membrane ruffles, and stress fibers

Alternate Names

FAN1, FSCN1, HSN, Singed-like Protein, SNL

Gene Symbol

FSCN1

UniProt

Additional Fascin Products

Product Documents for Fascin Antibody (FSCN1/418)

Certificate of Analysis

To download a Certificate of Analysis, please enter a lot number in the search box below.

Product Specific Notices for Fascin Antibody (FSCN1/418)

This product is for research use only and is not approved for use in humans or in clinical diagnosis. Primary Antibodies are guaranteed for 1 year from date of receipt.

Loading...
Loading...
Loading...
Loading...
Loading...