Skip to main content

ESRP1 Antibody (HL3413)

Novus Biologicals, part of Bio-Techne | Catalog # NBP3-48799

Recombinant Monoclonal Antibody
Novus Biologicals, part of Bio-Techne
Catalog #
Availability
Size / Price
Qty
Loading...
NBP3-48799

Key Product Details

Validated by

Orthogonal Validation

Species Reactivity

Human

Applications

Western Blot

Label

Unconjugated

Antibody Source

Recombinant Monoclonal Rabbit IgG Clone # HL3413

Concentration

Concentrations vary lot to lot. See vial label for concentration. If unlisted please contact technical services.

Product Specifications

Immunogen

Recombinant fragment of human ESRP1.

Clonality

Monoclonal

Host

Rabbit

Isotype

IgG

Description

Novus Biologicals Rabbit ESRP1 Antibody (HL3413) (NBP3-48799) is a recombinant monoclonal antibody validated for use in WB. All Novus Biologicals antibodies are covered by our 100% guarantee.

Scientific Data Images for ESRP1 Antibody (HL3413)

ESRP1 Antibody (HL3413)

Western Blot: ESRP1 Antibody (HL3413) [NBP3-48799] -

Whole zebrafish extract (30 ug) was separated by 7.5% SDS-PAGE, and the membrane was blotted with ESRP1 antibody [HL3413] (NBP3-48799) diluted at 1:1000. The HRP-conjugated anti-rabbit IgG antibody was used to detect the primary antibody, and the signal was developed with Trident ECL plus-Enhanced.
ESRP1 Antibody (HL3413)

Western Blot: ESRP1 Antibody (HL3413) [NBP3-48799] -

Various whole cell extracts (30 ug) were separated by 7.5% SDS-PAGE, and the membrane was blotted with ESRP1 antibody [HL3413] (NBP3-48799) diluted at 1:1000. The HRP-conjugated anti-rabbit IgG antibody was used to detect the primary antibody. Corresponding RNA expression data for the same cell lines are based on Human Protein Atlas program.
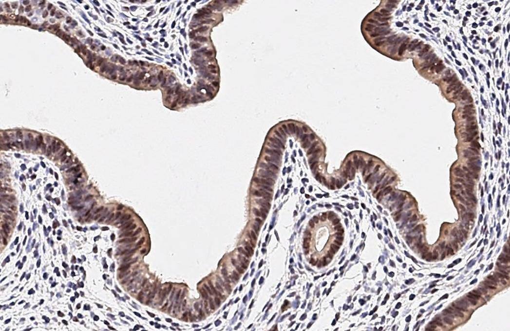
ESRP1 Antibody (HL3413)

Immunohistochemistry-Paraffin: ESRP1 Antibody (HL3413) [NBP3-48799] -

ESRP1 antibody [HL3413] detects ESRP1 protein by immunohistochemical analysis.Sample: Paraffin-embedded human tissues.ESRP1 stained by ESRP1 antibody [HL3413] (NBP3-48799) diluted at 1:100.Antigen Retrieval: Citrate buffer, pH 6.0, 15 min

Applications for ESRP1 Antibody (HL3413)

Application
Recommended Usage

Western Blot

1:500-1:3000

Formulation, Preparation, and Storage

Purification

Protein A purified

Formulation

PBS

Preservative

No Preservative

Concentration

Concentrations vary lot to lot. See vial label for concentration. If unlisted please contact technical services.

Shipping

The product is shipped with polar packs. Upon receipt, store it immediately at the temperature recommended below.

Stability & Storage

Store at 4C short term. Aliquot and store at -20C long term. Avoid freeze-thaw cycles.

Background: ESRP1

ESPR1 is an epithelial cell-type-specific splicing regulator (Warzecha et al., 2009 (PubMed 19285943)).(supplied by OMIM)

Alternate Names

epithelial splicing regulatory protein 1, FLJ20171, RBM35A, RMB35A, RNA binding motif protein 35A, RNA-binding motif protein 35A, RNA-binding protein 35A

Gene Symbol

ESRP1

Additional ESRP1 Products

Product Documents for ESRP1 Antibody (HL3413)

Certificate of Analysis

To download a Certificate of Analysis, please enter a lot number in the search box below.

Product Specific Notices for ESRP1 Antibody (HL3413)

This product is for research use only and is not approved for use in humans or in clinical diagnosis. Primary Antibodies are guaranteed for 1 year from date of receipt.

Loading...
Loading...
Loading...
Loading...