Skip to main content

ERLIN1 Antibody - BSA Free

Novus Biologicals, part of Bio-Techne | Catalog # NBP3-46553

Novus Biologicals, part of Bio-Techne
Catalog #
Availability
Size / Price
Qty
Loading...
NBP3-46553

Key Product Details

Species Reactivity

Human, Mouse, Rat

Applications

ELISA, Immunocytochemistry/ Immunofluorescence, Immunohistochemistry, Immunoprecipitation, Western Blot

Label

Unconjugated

Antibody Source

Polyclonal Rabbit IgG

Format

BSA Free

Concentration

Please see the vial label for concentration. If unlisted please contact technical services.

Product Specifications

Immunogen

ER lipid raft associated 1. (Uniprot# O75477)

Clonality

Polyclonal

Host

Rabbit

Isotype

IgG

Theoretical MW

39 kDa.
Disclaimer note: The observed molecular weight of the protein may vary from the listed predicted molecular weight due to post translational modifications, post translation cleavages, relative charges, and other experimental factors.

Description

Novus Biologicals Rabbit ERLIN1 Antibody - BSA Free (NBP3-46553) is a polyclonal antibody validated for use in IHC, WB, ELISA, ICC/IF and IP. All Novus Biologicals antibodies are covered by our 100% guarantee.

Scientific Data Images for ERLIN1 Antibody - BSA Free

ERLIN1 Antibody - BSA Free

Immunoprecipitation: ERLIN1 Antibody - BSA Free [NBP3-46553] -

Immunoprecipitation: ERLIN1 Antibody - BSA Free [NBP3-46553] - IP Result of anti-ERLIN1 (IP:, 3ug; Detection: 1:1000) with mouse heart tissue lysate 4000ug.
ERLIN1 Antibody - BSA Free

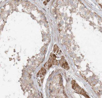
Immunohistochemistry: ERLIN1 Antibody - BSA Free [NBP3-46553] -

Immunohistochemistry: ERLIN1 Antibody - BSA Free [NBP3-46553] - Immunohistochemistry of paraffin-embedded human testis using (ERLIN1 antibody) at dilution of 1:100
ERLIN1 Antibody - BSA Free

Western Blot: ERLIN1 Antibody - BSA Free [NBP3-46553] -

Western Blot: ERLIN1 Antibody - BSA Free [NBP3-46553] - Rat pancreas tissue were subjected to SDS PAGE followed by western blot with (ERLIN1 antibody) at dilution of 1:500

Applications for ERLIN1 Antibody - BSA Free

Application
Recommended Usage

Immunocytochemistry/ Immunofluorescence

1:20-1:200

Immunohistochemistry

1:20-1:200

Immunoprecipitation

1:200-1:2000

Western Blot

1:500-1:2000

Formulation, Preparation, and Storage

Purification

Immunogen affinity purified

Formulation

PBS, 50% Glycerol, pH (7.3)

Format

BSA Free

Preservative

0.02% Sodium Azide

Concentration

Please see the vial label for concentration. If unlisted please contact technical services.

Shipping

The product is shipped with polar packs. Upon receipt, store it immediately at the temperature recommended below.

Stability & Storage

Store at -20C. Avoid freeze-thaw cycles.

Background: ERLIN1

ERLIN1 is a component of the ERLIN1/ERLIN2 complex which mediates the endoplasmic reticulum-associated degradation (ERAD) of inositol 1,4,5-trisphosphate receptors (IP3Rs)

Alternate Names

Band_7 23-211 Keo4 (Interim) similar to C.elegans protein C42C1.9, C10orf69, chromosome 10 open reading frame 69, Endoplasmic reticulum lipid raft-associated protein 1, ER lipid raft associated 1, erlin-1, KE04SPFH domain-containing protein 1, KEO4, Protein KE04, SPFH domain family, member 1, SPFH1, Stomatin-prohibitin-flotillin-HflC/K domain-containing protein 1

Gene Symbol

ERLIN1

Additional ERLIN1 Products

Product Documents for ERLIN1 Antibody - BSA Free

Certificate of Analysis

To download a Certificate of Analysis, please enter a lot number in the search box below.

Product Specific Notices for ERLIN1 Antibody - BSA Free

This product is for research use only and is not approved for use in humans or in clinical diagnosis. Primary Antibodies are guaranteed for 1 year from date of receipt.

Loading...
Loading...
Loading...
Loading...