Skip to main content

ERLIN1 Antibody - Azide and BSA Free

Novus Biologicals, part of Bio-Techne | Catalog # NBP3-04903

Novus Biologicals, part of Bio-Techne
Catalog #
Availability
Size / Price
Qty
Loading...
NBP3-04903-100ul
NBP3-04903-20ul

Key Product Details

Species Reactivity

Human, Mouse, Rat

Applications

Immunohistochemistry, Immunohistochemistry-Paraffin, Immunoprecipitation, Western Blot

Label

Unconjugated

Antibody Source

Polyclonal Rabbit IgG

Format

Azide and BSA Free

Concentration

Please see the vial label for concentration. If unlisted please contact technical services.

Product Specifications

Immunogen

Recombinant fusion protein containing a sequence corresponding to amino acids 259-348 of human ERLIN1 (NP_006450.2). KADAEYYAAHKYATSNKHKLTPEYLELKKYQAIASNSKIYFGSNIPNMFVDSSCALKYSDIRTGRESSLPSKEALEPSGENVIQNKESTG

Clonality

Polyclonal

Host

Rabbit

Isotype

IgG

Theoretical MW

38 kDa.
Disclaimer note: The observed molecular weight of the protein may vary from the listed predicted molecular weight due to post translational modifications, post translation cleavages, relative charges, and other experimental factors.

Description

Novus Biologicals Rabbit ERLIN1 Antibody - Azide and BSA Free (NBP3-04903) is a polyclonal antibody validated for use in IHC, WB and IP. All Novus Biologicals antibodies are covered by our 100% guarantee.

Scientific Data Images for ERLIN1 Antibody - Azide and BSA Free

Western Blot: ERLIN1 AntibodyAzide and BSA Free [NBP3-04903]

Western Blot: ERLIN1 AntibodyAzide and BSA Free [NBP3-04903]

Western Blot: ERLIN1 Antibody [NBP3-04903] - Analysis of extracts of various cell lines, using ERLIN1 antibody at 1:1000 dilution. Secondary antibody: HRP Goat Anti-Rabbit IgG (H+L) at 1:10000 dilution. Lysates/proteins: 25ug per lane. Blocking buffer: 3% nonfat dry milk in TBST. Detection: ECL Basic Kit
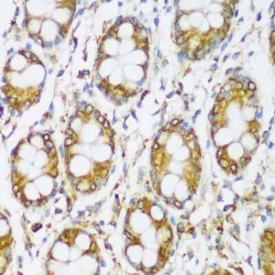
Immunohistochemistry-Paraffin: ERLIN1 Antibody - Azide and BSA Free [NBP3-04903]

Immunohistochemistry-Paraffin: ERLIN1 Antibody - Azide and BSA Free [NBP3-04903]

Immunohistochemistry-Paraffin: ERLIN1 Antibody [NBP3-04903] - Immunohistochemistry of paraffin-embedded human colon using ERLIN1 antibody (NBP3-04903) at dilution of 1:100 (40x lens). Perform microwave antigen retrieval with 10 mM PBS buffer pH 7.2 before commencing with IHC staining protocol.
ERLIN1 Antibody - Azide and BSA Free

Immunoprecipitation: ERLIN1 Antibody - Azide and BSA Free [ERLIN1] -

Immunoprecipitation: ERLIN1 Antibody - Azide and BSA Free [ERLIN1] - Immunoprecipitation analysis of 300 ug extracts of DU145 cells using 3 ug ERLIN1 antibody . Western blot was performed from the immunoprecipitate using ERLIN1 antibody at a dilution of 1:1000.

Applications for ERLIN1 Antibody - Azide and BSA Free

Application
Recommended Usage

Immunohistochemistry

1:50-1:200

Immunoprecipitation

1:500 - 1:1000

Western Blot

1:500-1:2000

Formulation, Preparation, and Storage

Purification

Affinity purified

Formulation

PBS (pH 7.3), 50% glycerol

Format

Azide and BSA Free

Preservative

0.01% Thimerosal

Concentration

Please see the vial label for concentration. If unlisted please contact technical services.

Shipping

The product is shipped with polar packs. Upon receipt, store it immediately at the temperature recommended below.

Stability & Storage

Store at -20C. Avoid freeze-thaw cycles.

Background: ERLIN1

ERLIN1 is a component of the ERLIN1/ERLIN2 complex which mediates the endoplasmic reticulum-associated degradation (ERAD) of inositol 1,4,5-trisphosphate receptors (IP3Rs)

Alternate Names

Band_7 23-211 Keo4 (Interim) similar to C.elegans protein C42C1.9, C10orf69, chromosome 10 open reading frame 69, Endoplasmic reticulum lipid raft-associated protein 1, ER lipid raft associated 1, erlin-1, KE04SPFH domain-containing protein 1, KEO4, Protein KE04, SPFH domain family, member 1, SPFH1, Stomatin-prohibitin-flotillin-HflC/K domain-containing protein 1

Gene Symbol

ERLIN1

Additional ERLIN1 Products

Product Documents for ERLIN1 Antibody - Azide and BSA Free

Certificate of Analysis

To download a Certificate of Analysis, please enter a lot number in the search box below.

Product Specific Notices for ERLIN1 Antibody - Azide and BSA Free

This product is for research use only and is not approved for use in humans or in clinical diagnosis. Primary Antibodies are guaranteed for 1 year from date of receipt.

Loading...
Loading...
Loading...
Loading...

⚠ WARNING: This product can expose you to chemicals including Methotrexate, which is known to the State of California to cause reproductive toxicity with developmental effects. For more information, go to www.P65Warnings.ca.gov