ERG Antibody (ERG/6980) - Azide and BSA Free
Novus Biologicals, part of Bio-Techne | Catalog # NBP3-20947
Conjugate
Catalog #
Key Product Details
Species Reactivity
Human
Applications
Immunohistochemistry-Paraffin
Label
Unconjugated
Antibody Source
Monoclonal Mouse IgG1 kappa Clone # ERG/6980
Format
Azide and BSA Free
Concentration
1 mg/ml
Product Specifications
Immunogen
Recombinant fragment (around aa450 to 479) (C-terminus) of human ERG (exact sequence is proprietary)
Localization
Nucleus.
Clonality
Monoclonal
Host
Mouse
Isotype
IgG1 kappa
Description
Positive Controls: Human tonsil, Ewing sarcoma or prostate adenocarcinoma tissues.
Antibody with azide - store at 2 to 8C. Antibody without azide - store at -20 to -80C. Non-hazardous. No MSDS required.
Antibody with azide - store at 2 to 8C. Antibody without azide - store at -20 to -80C. Non-hazardous. No MSDS required.
Scientific Data Images for ERG Antibody (ERG/6980) - Azide and BSA Free
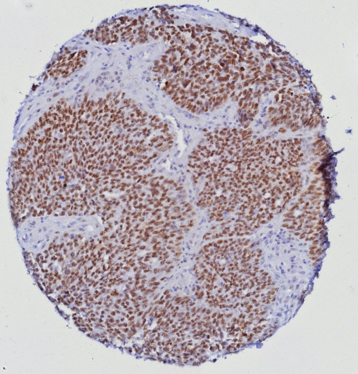
ERG Antibody (ERG/6980)
Formalin-fixed, paraffin-embedded human prostate tissue stained with ERG antibody (ERG/6980). HIER: Tris/EDTA pH 9; 95C/45min. SecondaryAb: HRP-Polymer:30mins; DAB: 5min.ERG Antibody (ERG/6980)
IHC analysis of formalin-fixed, paraffin-embedded human brain. Negative tissue control using ERG antibody (ERG/6980) at 2ug/ml in PBS for 30min RT. HIER: Tris/EDTA, pH9.0, 45min. Secondary: HRP-polymer, 30min. DAB, 5min.Applications for ERG Antibody (ERG/6980) - Azide and BSA Free
Application
Recommended Usage
Immunohistochemistry-Paraffin
1-2 ug/ml
Application Notes
Immunohistochemistry (Formalin-fixed): 1-2ug/ml for 30 minutes. at RT. Staining of formalin-fixed tissues requires heating tissue sections in 10mM Tris with 1mM EDTA, pH 9.0, for 45 min at 95C followed by cooling at RT for 20 minutes.
Optimal dilution for a specific application should be determined.
Optimal dilution for a specific application should be determined.
Formulation, Preparation, and Storage
Purification
Protein A or G purified
Formulation
10mM PBS
Format
Azide and BSA Free
Preservative
No Preservative
Concentration
1 mg/ml
Shipping
The product is shipped with polar packs. Upon receipt, store it immediately at the temperature recommended below.
Stability & Storage
Store at -20 to -70C. Avoid freeze-thaw cycles.
Background: Erg
Long Name
v-Ets Erythroblastosis Virus E26 Oncogene Homolog
Alternate Names
Erg-3, p55
Gene Symbol
ERG
Additional Erg Products
Product Documents for ERG Antibody (ERG/6980) - Azide and BSA Free
Product Specific Notices for ERG Antibody (ERG/6980) - Azide and BSA Free
This product is for research use only and is not approved for use in humans or in clinical diagnosis. Primary Antibodies are guaranteed for 1 year from date of receipt.
Loading...
Loading...
Loading...
Loading...
Loading...