Skip to main content

ERG Antibody (ERG/6980)

Novus Biologicals, part of Bio-Techne | Catalog # NBP3-20612

Novus Biologicals, part of Bio-Techne
Catalog #
Availability
Size / Price
Qty
Loading...
NBP3-20612-100ug
NBP3-20612-20ug

Key Product Details

Species Reactivity

Human

Applications

Immunohistochemistry-Paraffin

Label

Unconjugated

Antibody Source

Monoclonal Mouse IgG1 kappa Clone # ERG/6980

Concentration

0.2 mg/ml

Product Specifications

Immunogen

Recombinant fragment (around aa450 to 479) (C-terminus) of human ERG (exact sequence is proprietary)

Localization

Nucleus.

Clonality

Monoclonal

Host

Mouse

Isotype

IgG1 kappa

Description

Positive Controls: Human tonsil, Ewing sarcoma or prostate adenocarcinoma tissues.

Antibody with azide - store at 2 to 8C. Antibody without azide - store at -20 to -80C. Non-hazardous. No MSDS required.

Scientific Data Images for ERG Antibody (ERG/6980)

ERG Antibody (ERG/6980)

ERG Antibody (ERG/6980)

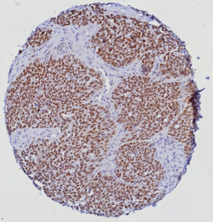
Formalin-fixed, paraffin-embedded human prostate tissue stained with ERG antibody (ERG/6980). HIER: Tris/EDTA pH 9; 95C/45min. SecondaryAb: HRP-Polymer:30mins; DAB: 5min.
ERG Antibody (ERG/6980)

ERG Antibody (ERG/6980)

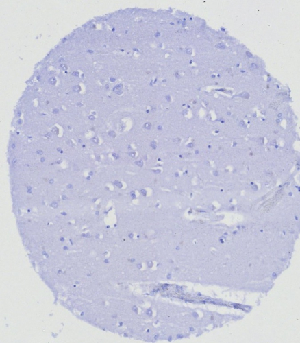
IHC analysis of formalin-fixed, paraffin-embedded human brain. Negative tissue control using ERG antibody (ERG/6980) at 2ug/ml in PBS for 30min RT. HIER: Tris/EDTA, pH9.0, 45min. Secondary: HRP-polymer, 30min. DAB, 5min.

Applications for ERG Antibody (ERG/6980)

Application
Recommended Usage

Immunohistochemistry-Paraffin

1-2 ug/ml
Application Notes
Immunohistochemistry (Formalin-fixed): 1-2ug/ml for 30 minutes. at RT. Staining of formalin-fixed tissues requires heating tissue sections in 10mM Tris with 1mM EDTA, pH 9.0, for 45 min at 95C followed by cooling at RT for 20 minutes.

Optimal dilution for a specific application should be determined.

Formulation, Preparation, and Storage

Purification

Protein A or G purified

Formulation

10mM PBS with 0.05% BSA

Preservative

0.05% Sodium Azide

Concentration

0.2 mg/ml

Shipping

The product is shipped with polar packs. Upon receipt, store it immediately at the temperature recommended below.

Stability & Storage

Store at 4C. Do not freeze.

Background: Erg

"ERG is a transcriptional regulator. May participate in transcriptional regulation through the recruitment of SETDB1 histone methyltransferase and subsequent modification of local chromatin structure.

Long Name

v-Ets Erythroblastosis Virus E26 Oncogene Homolog

Alternate Names

Erg-3, p55

Gene Symbol

ERG

Additional Erg Products

Product Documents for ERG Antibody (ERG/6980)

Certificate of Analysis

To download a Certificate of Analysis, please enter a lot number in the search box below.

Product Specific Notices for ERG Antibody (ERG/6980)

This product is for research use only and is not approved for use in humans or in clinical diagnosis. Primary Antibodies are guaranteed for 1 year from date of receipt.

Loading...
Loading...
Loading...
Loading...
Loading...