ErbB2/Her2 Antibody - BSA Free
Novus Biologicals, part of Bio-Techne | Catalog # NBP2-29624
Key Product Details
Species Reactivity
Human
Applications
Immunohistochemistry, Immunohistochemistry-Paraffin, Western Blot
Label
Unconjugated
Antibody Source
Polyclonal Rabbit IgG
Format
BSA Free
Concentration
1.0 mg/ml
Product Specifications
Immunogen
Synthetic peptide made to C-terminal portion of human HER2 protein (between residues 1100-1200) [UniProt P04626]
Clonality
Polyclonal
Host
Rabbit
Isotype
IgG
Description
Novus Biologicals Rabbit ErbB2/Her2 Antibody - BSA Free (NBP2-29624) is a polyclonal antibody validated for use in IHC and WB. Anti-ErbB2/Her2 Antibody: Cited in 1 publication. All Novus Biologicals antibodies are covered by our 100% guarantee.
Scientific Data Images for ErbB2/Her2 Antibody - BSA Free
Western Blot: ErbB2/Her2 AntibodyBSA Free [NBP2-29624]
Western Blot: ErbB2/HER2 Antibody [NBP2-29624] - Western blot analysis of ErbB2/HER2 in SKOV3 cell lysate.Immunohistochemistry-Paraffin: ErbB2/Her2 Antibody - BSA Free [NBP2-29624]
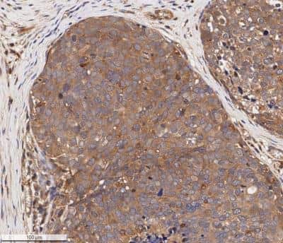
Immunohistochemistry-Paraffin: ErbB2/Her2 Antibody [NBP2-29624] - IHC analysis of a formalin-fixed paraffin-embedded (FFPE) human breast carcinoma tissue section using 1:50 dilution of ErbB2/HER2 antibody (NBP2-29624) on a Bond Rx autostainer (Leica Biosystems). The assay involved 20 minutes of heat induced antigen retrieval (HIER) with 10mM sodium citrate buffer (pH 6.0) and endogenous peroxidase quenching using peroxide block. The sections were incubated with primary antibody for 30 minutes. Bond Polymer Refine Detection (Leica Biosystems) and DAB were used for signal detection which followed counterstaining with hematoxylin. Whole slide scanning and capturing of representative images (20X) were performed using Aperio AT2 (Leica Biosystems). This ErbB3 antibody generated a diffused cytoplasmic with some membrane and nuclear staining in the cancer cells, endothelial cells as well as in the tumor stromal cells. The cells in the cores of some tumor areas were negative for ErbB2.Immunohistochemistry-Paraffin: ErbB2/Her2 Antibody - BSA Free [NBP2-29624]
Immunohistochemistry-Paraffin: ErbB2/Her2 Antibody [NBP2-29624] - IHC analysis of a formalin-fixed paraffin-embedded (FFPE) human breast carcinoma tissue section using 1:50 dilution of ErbB2/HER2 antibody (NBP2-29624) on a Bond Rx autostainer (Leica Biosystems). The assay involved 20 minutes of heat induced antigen retrieval (HIER) with 10mM sodium citrate buffer (pH 6.0) and endogenous peroxidase quenching using peroxide block. The sections were incubated with primary antibody for 30 minutes. Bond Polymer Refine Detection (Leica Biosystems) and DAB were used for signal detection which followed counterstaining with hematoxylin. Whole slide scanning and capturing of representative images (20X) were performed using Aperio AT2 (Leica Biosystems). This ErbB2 antibody generated a diffused cytoplasmic with some membrane and nuclear staining in the cancer cells, endothelial cells as well as in the tumor stromal cells. Staining was performed by Histowiz.Applications for ErbB2/Her2 Antibody - BSA Free
Application
Recommended Usage
Immunohistochemistry
1:50-1:200
Immunohistochemistry-Paraffin
1:50-1:200
Western Blot
1:500
Formulation, Preparation, and Storage
Purification
IgG purified
Formulation
PBS
Format
BSA Free
Preservative
0.05% Sodium Azide
Concentration
1.0 mg/ml
Shipping
The product is shipped with polar packs. Upon receipt, store it immediately at the temperature recommended below.
Stability & Storage
Store at 4C short term. Aliquot and store at -20C long term. Avoid freeze-thaw cycles.
Background: ErbB2/Her2
Long Name
Receptor Tyrosine Protein Kinase ErbB2
Alternate Names
CD340, HER2, Neu Oncogene, NGL, TKR1
Gene Symbol
ERBB2
Additional ErbB2/Her2 Products
Product Documents for ErbB2/Her2 Antibody - BSA Free
Product Specific Notices for ErbB2/Her2 Antibody - BSA Free
This product is for research use only and is not approved for use in humans or in clinical diagnosis. Primary Antibodies are guaranteed for 1 year from date of receipt.
Loading...
Loading...
Loading...
Loading...
Loading...