Skip to main content

ERAB Antibody (OTI10B4) - Azide and BSA Free

Novus Biologicals, part of Bio-Techne | Catalog # NBP2-70871

Novus Biologicals, part of Bio-Techne

Key Product Details

Species Reactivity

Human, Mouse, Rat

Applications

Immunohistochemistry, Immunohistochemistry-Paraffin, Western Blot, Flow Cytometry, Immunocytochemistry/ Immunofluorescence, CyTOF-ready

Label

Unconjugated

Antibody Source

Monoclonal Mouse IgG1 Clone # OTI10B4

Format

Azide and BSA Free

Concentration

LYOPH mg/ml

Product Specifications

Immunogen

Full length human recombinant protein of human HSD17B10(NP_004484) produced in HEK293T cell.

Reactivity Notes

Please note that this antibody is reactive to Mouse and derived from the same host, Mouse. Mouse-On-Mouse blocking reagent may be needed for IHC and ICC experiments to reduce high background signal. You can find these reagents under catalog numbers PK-2200-NB and MP-2400-NB. Please contact Technical Support if you have any questions.

Clonality

Monoclonal

Host

Mouse

Isotype

IgG1

Theoretical MW

26.9 kDa.
Disclaimer note: The observed molecular weight of the protein may vary from the listed predicted molecular weight due to post translational modifications, post translation cleavages, relative charges, and other experimental factors.

Description

Novus Biologicals Mouse ERAB Antibody (OTI10B4) - Azide and BSA Free (NBP2-02118) is a monoclonal antibody validated for use in IHC, WB, Flow and ICC/IF. All Novus Biologicals antibodies are covered by our 100% guarantee.

Scientific Data Images for ERAB Antibody (OTI10B4) - Azide and BSA Free

Western Blot: ERAB Antibody (OTI10B4)Azide and BSA Free [NBP2-70871]

Western Blot: ERAB Antibody (OTI10B4)Azide and BSA Free [NBP2-70871]

Western Blot: ERAB Antibody (OTI10B4) - Azide and BSA Free [NBP2-70871] - HEK293T cells were transfected with the pCMV6-ENTRY control (Left lane) or pCMV6-ENTRY ERAB (Right lane) cDNA for 48 hrs and lysed. Equivalent amounts of cell lysates (5 ug per lane) were separated by SDS-PAGE and immunoblotted with anti-ERAB.
Immunocytochemistry/ Immunofluorescence: ERAB Antibody (OTI10B4) - Azide and BSA Free [NBP2-70871]

Immunocytochemistry/ Immunofluorescence: ERAB Antibody (OTI10B4) - Azide and BSA Free [NBP2-70871]

Immunocytochemistry/Immunofluorescence: ERAB Antibody (OTI10B4) - Azide and BSA Free [NBP2-70871] - Staining of COS7 cells transiently transfected by pCMV6-ENTRY ERAB.
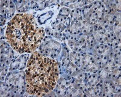
Immunohistochemistry: ERAB Antibody (OTI10B4) - Azide and BSA Free [NBP2-70871]

Immunohistochemistry: ERAB Antibody (OTI10B4) - Azide and BSA Free [NBP2-70871]

Immunohistochemistry: ERAB Antibody (OTI10B4) - Azide and BSA Free [NBP2-70871] - Staining of paraffin-embedded liver tissue using anti-ERAB mouse monoclonal antibody.

Applications for ERAB Antibody (OTI10B4) - Azide and BSA Free

Application
Recommended Usage

Flow Cytometry

1:100

Immunocytochemistry/ Immunofluorescence

1:100

Immunohistochemistry

1:50

Western Blot

1:1000

Formulation, Preparation, and Storage

Purification

Immunogen affinity purified

Reconstitution

we recommend adding 100uL distilled water to a final antibody concentration of about 1 mg/mL. To use this carrier-free antibody for conjugation experiment, we strongly recommend performing another round of desalting process.

Formulation

Lyophilized from PBS (pH 7.3) with 8% Trehalose

Format

Azide and BSA Free

Preservative

No Preservative

Concentration

LYOPH mg/ml

Shipping

The product is shipped with polar packs. Upon receipt, store it immediately at the temperature recommended below.

Stability & Storage

Store at -20C. Avoid freeze-thaw cycles.

Background: ERAB

ERAB encodes 3-hydroxyacyl-CoA dehydrogenase type II, a member of the short-chain dehydrogenase/reductase superfamily. The gene product is a mitochondrial protein that catalyzes the oxidation of a wide variety of fatty acids, alcohols, and steroids. The protein has been implicated in the development of Alzheimer's disease, and mutations in the gene are the cause of 2-methyl-3-hydroxybutyryl-CoA dehydrogenase deficiency (MHBD). Several alternatively spliced transcript variants have been identified, but the full-length nature of only two transcript variants has been determined.

Alternate Names

17-beta-HSD 10, 17-beta-hydroxysteroid dehydrogenase 10, 17b-HSD10, 3-hydroxy-2-methylbutyryl-CoA dehydrogenase, ABAD, amyloid-beta peptide binding alcohol dehydrogenase, CAMR, DUPXp11.22, EC 1.1.1.178, EC 1.1.1.35, Endoplasmic reticulum-associated amyloid beta-peptide-binding protein, ERAB3-hydroxyacyl-CoA dehydrogenase type-2, HADH2AB-binding alcohol dehydrogenase, hydroxyacyl-Coenzyme A dehydrogenase, type II, hydroxyacyl-Coenzyme Adehydrogenase, type II, hydroxysteroid (17-beta) dehydrogenase 10, mental retardation, X-linked, syndromic 10, MHBD, Mitochondrial ribonuclease P protein 2,3-hydroxyacyl-CoA dehydrogenase type II, Mitochondrial RNase P protein 2, MRPP2HCD2, MRX17, MRX31, MRXS10, SCHAD, SDR5C1, short chain dehydrogenase/reductase family 5C, member 1, short chain L-3-hydroxyacyl-CoA dehydrogenase type 2, short chain type dehydrogenase/reductase XH98G2, Short-chain type dehydrogenase/reductase XH98G2, Type II HADH, XH98G2

Gene Symbol

HSD17B10

Additional ERAB Products

Product Documents for ERAB Antibody (OTI10B4) - Azide and BSA Free

Certificate of Analysis

To download a Certificate of Analysis, please enter a lot number in the search box below.

Product Specific Notices for ERAB Antibody (OTI10B4) - Azide and BSA Free

This product is for research use only and is not approved for use in humans or in clinical diagnosis. Primary Antibodies are guaranteed for 1 year from date of receipt.

Loading...
Loading...
Loading...
Loading...
Loading...
Loading...