Skip to main content

Eps8 Antibody

Novus Biologicals, part of Bio-Techne | Catalog # NB300-819

Novus Biologicals, part of Bio-Techne
Catalog #
Availability
Size / Price
Qty
Loading...
NB300-819

Key Product Details

Species Reactivity

Validated:

Human, Mouse

Predicted:

Canine (100%), Porcine (100%), Rat (100%). Backed by our 100% Guarantee.

Applications

Immunohistochemistry, Immunohistochemistry-Paraffin, Western Blot, Peptide ELISA

Label

Unconjugated

Antibody Source

Polyclonal Goat IgG

Concentration

0.5 mg/ml

Product Specifications

Immunogen

Peptide with sequence C-SGVESFDEGSSH corresponding to C-Terminus according to NP_004438.3.

Clonality

Polyclonal

Host

Goat

Isotype

IgG

Description

Novus Biologicals Goat Eps8 Antibody (NB300-819) is a polyclonal antibody validated for use in IHC, WB and ELISA. Anti-Eps8 Antibody: Cited in 1 publication. All Novus Biologicals antibodies are covered by our 100% guarantee.

Scientific Data Images for Eps8 Antibody

Eps8 Antibody

Western Blot: Eps8 Antibody [NB300-819] -

Western Blot: Eps8 Antibody [NB300-819] - (1ug/ml) staining of lysates of cell line NIH3T3 (35ug protein in RIPA buffer). Detected by chemiluminescence.
Eps8 Antibody

Immunohistochemistry-Paraffin: Eps8 Antibody [NB300-819] -

Immunohistochemistry-Paraffin: Eps8 Antibody [NB300-819] - Negative Control showing staining of paraffin embedded Human Pancreas, with no primary antibody.
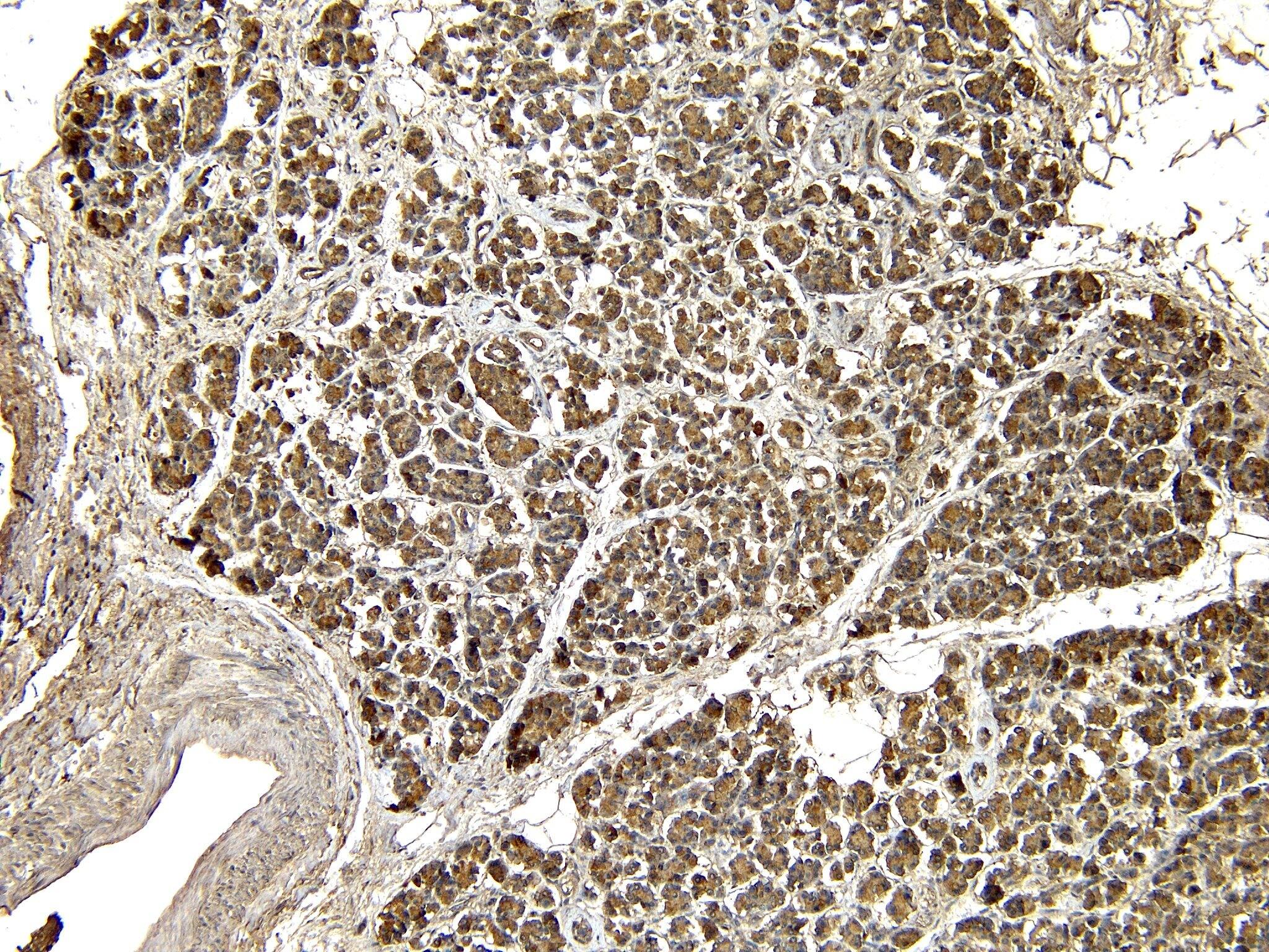
Eps8 Antibody

Immunohistochemistry-Paraffin: Eps8 Antibody [NB300-819] -

Immunohistochemistry-Paraffin: Eps8 Antibody [NB300-819] - (8ug/ml) staining of paraffin embedded Human Pancreas. Heat induced antigen retrieval with citrate buffer pH 6, HRP-staining.

Applications for Eps8 Antibody

Application
Recommended Usage

Immunohistochemistry-Paraffin

6-8 ug/ml

Peptide ELISA

Detection limit 1:8000

Western Blot

1-3 ug/ml
Application Notes
WB: Approx. 100kDa band observed in lysates of cell line NIH3T3 (calculated MW of 91.9kDa according to NP_004438.3). An additional band of unknown identity was also consistently observed at 70kDa. This band was successfully blocked by incubation with the immunizing peptide. Primary incubation was 1 hour.

Formulation, Preparation, and Storage

Purification

Immunogen affinity purified

Formulation

Tris saline (20 mM Tris pH 7.3, 150 mM NaCl), 0.5% BSA

Preservative

0.02% Sodium Azide

Concentration

0.5 mg/ml

Shipping

The product is shipped with polar packs. Upon receipt, store it immediately at the temperature recommended below.

Stability & Storage

Store at -20C. Avoid freeze-thaw cycles.

Background: Eps8

This gene encodes a member of the EPS8 family. This protein contains one PH domain and one SH3 domain. It functions as part of the EGFR pathway, though its exact role has not been determined. Highly similar proteins in other organisms are involved in the transduction of signals from Ras to Rac and growth factor-mediated actin remodeling. Alternate transcriptional splice variants of this gene have been observed but have not been thoroughly characterized.

Long Name

Epidermal Growth Factor Receptor Pathway Substrate 8

Alternate Names

epidermal growth factor receptor kinase substrate 8, epidermal growth factor receptor pathway substrate 8

Entrez Gene IDs

2059 (Human); 13860 (Mouse); 312812 (Rat)

Gene Symbol

EPS8

Additional Eps8 Products

Product Documents for Eps8 Antibody

Certificate of Analysis

To download a Certificate of Analysis, please enter a lot number in the search box below.

Product Specific Notices for Eps8 Antibody

This product is for research use only and is not approved for use in humans or in clinical diagnosis. Primary Antibodies are guaranteed for 1 year from date of receipt.

Loading...
Loading...
Loading...
Loading...