Skip to main content

Eps8 Antibody (18F5B11) - Azide and BSA Free

Novus Biologicals, part of Bio-Techne | Catalog # NBP2-80724

Novus Biologicals, part of Bio-Techne

Key Product Details

Species Reactivity

Human

Applications

Immunohistochemistry, Immunohistochemistry-Paraffin, Western Blot

Label

Unconjugated

Antibody Source

Monoclonal Mouse IgG3 Kappa Clone # 18F5B11

Format

Azide and BSA Free

Concentration

0.5 mg/ml

Product Specifications

Immunogen

Amino acids 701-882 of human EPS8 protein were used as the immunogen for the EPS8 antibody.

Clonality

Monoclonal

Host

Mouse

Isotype

IgG3 Kappa

Description

Novus Biologicals Mouse Eps8 Antibody (18F5B11) - Azide and BSA Free (NBP2-27344) is a monoclonal antibody validated for use in IHC and WB. All Novus Biologicals antibodies are covered by our 100% guarantee.

Scientific Data Images for Eps8 Antibody (18F5B11) - Azide and BSA Free

Western Blot: Eps8 Antibody (18F5B11)Azide and BSA Free [NBP2-80724]

Western Blot: Eps8 Antibody (18F5B11)Azide and BSA Free [NBP2-80724]

Western Blot: Eps8 Antibody (18F5B11) - Azide and BSA Free [NBP2-80724] - analysis of EPS8 partial recombinant protein using EPS8 antibody at 1 ug/ml. Image from the standard format of this antibody.
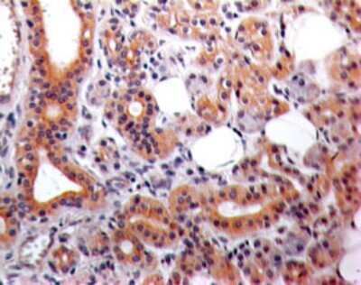
Immunohistochemistry: Eps8 Antibody (18F5B11) - Azide and BSA Free [NBP2-80724]

Immunohistochemistry: Eps8 Antibody (18F5B11) - Azide and BSA Free [NBP2-80724]

Immunohistochemistry: Eps8 Antibody (18F5B11) - Azide and BSA Free [NBP2-80724] - Formalin-fixed, paraffin-embedded human salivary gland stained with EPS8 antibody (5 ug/ml), peroxidase-conjugate and DAB chromogen. Image from the standard format of this antibody.

Applications for Eps8 Antibody (18F5B11) - Azide and BSA Free

Application
Recommended Usage

Immunohistochemistry-Paraffin

5ug/ml

Western Blot

1-5ug/ml
Application Notes
Staining of formalin-fixed tissues is enhanced by boiling tissue sections in 10 mM sodium citrate buffer, pH 6.0 for 10-20 min followed by cooling at RT for 20 min.

Formulation, Preparation, and Storage

Purification

Protein G purified

Formulation

PBS

Format

Azide and BSA Free

Preservative

No Preservative

Concentration

0.5 mg/ml

Shipping

The product is shipped with polar packs. Upon receipt, store it immediately at the temperature recommended below.

Stability & Storage

Store at 4C short term. Aliquot and store at -20C long term. Avoid freeze-thaw cycles.

Background: Eps8

EPS8, an acronym for epidermal growth factor receptor pathways substrate 8, is a signaling protein and part of the molecular complex controlling actin reorganization (1, 2). EPS8 also plays an important role in innate immunity. Through LPS activation of TLR4 and the co adaptor MyD88 protein, macrophages induce enhanced EPS8 activity typified by phagocytosis- a key innate anti-microbial defense response (3). EPS8 colocalizes with TLR4 in LPS activated macrophage immunocomplexes (3). Interestingly, EPS8 also is over expressed in malignancies including breast cancers, pancreatic cancers, and colon cancers, as examples (2-4). Antibody to EPS8 provides a tool for characterizing its functional roles in motility, adhesion, signaling pathways such as non-canonical Wnt signaling and expression in normal and neoplastic cells (5).

Long Name

Epidermal Growth Factor Receptor Pathway Substrate 8

Alternate Names

epidermal growth factor receptor kinase substrate 8, epidermal growth factor receptor pathway substrate 8

Gene Symbol

EPS8

Additional Eps8 Products

Product Documents for Eps8 Antibody (18F5B11) - Azide and BSA Free

Certificate of Analysis

To download a Certificate of Analysis, please enter a lot number in the search box below.

Product Specific Notices for Eps8 Antibody (18F5B11) - Azide and BSA Free

This product is for research use only and is not approved for use in humans or in clinical diagnosis. Primary Antibodies are guaranteed for 1 year from date of receipt.

Loading...
Loading...
Loading...
Loading...