EphB3 Antibody - BSA Free
Novus Biologicals, part of Bio-Techne | Catalog # NBP1-84776
Key Product Details
Validated by
Orthogonal Validation
Species Reactivity
Validated:
Human
Predicted:
Mouse (95%), Rat (92%). Backed by our 100% Guarantee.
Applications
Immunohistochemistry, Immunohistochemistry-Paraffin, Western Blot
Label
Unconjugated
Antibody Source
Polyclonal Rabbit IgG
Format
BSA Free
Concentration
Concentrations vary lot to lot. See vial label for concentration. If unlisted please contact technical services.
Product Specifications
Immunogen
This antibody was developed against Recombinant Protein corresponding to amino acids: GDGEWMVPVGACTCATGHEPAAKESQCRPCPPGSYKAKQGEGPCLPCPPNSRTTSPAASICTCHNNFYRADSDSADSACTTVPSPPRGVISNVNETSLILEWSEPRDLGGRDDLLYNVICKKCHGAGGASACSRCDDNVEFVP
Clonality
Polyclonal
Host
Rabbit
Isotype
IgG
Description
Novus Biologicals Rabbit EphB3 Antibody - BSA Free (NBP1-84776) is a polyclonal antibody validated for use in IHC and WB. All Novus Biologicals antibodies are covered by our 100% guarantee.
Scientific Data Images for EphB3 Antibody - BSA Free
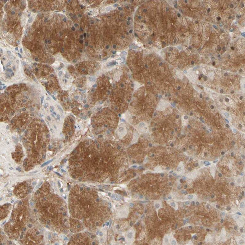
Immunohistochemistry-Paraffin: EphB3 Antibody [NBP1-84776] -
Immunohistochemistry-Paraffin: EphB3 Antibody [NBP1-84776] - Staining of human liver shows no positivity in hepatocytes as expected.Western Blot: EphB3 Antibody - BSA Free [NBP1-84776]
Analysis in control (vector only transfected HEK293T lysate) and EPHB3 over-expression lysate (Co-expressed with a C-terminal myc-DDK tag (~3.1 kDa) in mammalian HEK293T cells, LY401410).Applications for EphB3 Antibody - BSA Free
Application
Recommended Usage
Immunohistochemistry
1:50 - 1:200
Immunohistochemistry-Paraffin
1:50 - 1:200
Western Blot
0.04-0.4 ug/ml
Application Notes
For IHC-Paraffin, HIER pH 6 retrieval is recommended.
Formulation, Preparation, and Storage
Purification
Immunogen affinity purified
Formulation
PBS (pH 7.2) and 40% Glycerol
Format
BSA Free
Preservative
0.02% Sodium Azide
Concentration
Concentrations vary lot to lot. See vial label for concentration. If unlisted please contact technical services.
Shipping
The product is shipped with polar packs. Upon receipt, store it immediately at the temperature recommended below.
Stability & Storage
Store at 4C short term. Aliquot and store at -20C long term. Avoid freeze-thaw cycles.
Background: EphB3
Long Name
Eph Receptor B3
Alternate Names
Cek10, Hek2, Mdk5, Sek4, Tyro6
Gene Symbol
EPHB3
Additional EphB3 Products
Product Documents for EphB3 Antibody - BSA Free
Product Specific Notices for EphB3 Antibody - BSA Free
This product is for research use only and is not approved for use in humans or in clinical diagnosis. Primary Antibodies are guaranteed for 1 year from date of receipt.
Loading...
Loading...
Loading...
Loading...