Skip to main content

Eosinophil derived neurotoxin Antibody (C13) - BSA Free

Novus Biologicals, part of Bio-Techne | Catalog # NBP3-41747

Novus Biologicals, part of Bio-Techne
Catalog #
Availability
Size / Price
Qty
Loading...
NBP3-41747

Key Product Details

Species Reactivity

Human

Applications

Immunohistochemistry, Immunohistochemistry-Paraffin, Western Blot

Label

Unconjugated

Antibody Source

Monoclonal Mouse IgG2a Kappa Clone # C13

Format

BSA Free

Concentration

1 mg/ml

Product Specifications

Immunogen

Immunized with recombinant Human Eosinophil derived neurotoxin (Uniprot#: P10153; Lys28-Ile161 (Uniprot#: P10153)

Clonality

Monoclonal

Host

Mouse

Isotype

IgG2a Kappa

Description

Novus Biologicals Mouse Eosinophil derived neurotoxin Antibody (C13) - BSA Free (NBP3-41747) is a monoclonal antibody validated for use in IHC and WB. All Novus Biologicals antibodies are covered by our 100% guarantee.

Scientific Data Images for Eosinophil derived neurotoxin Antibody (C13) - BSA Free

Eosinophil derived neurotoxin Antibody (C13)

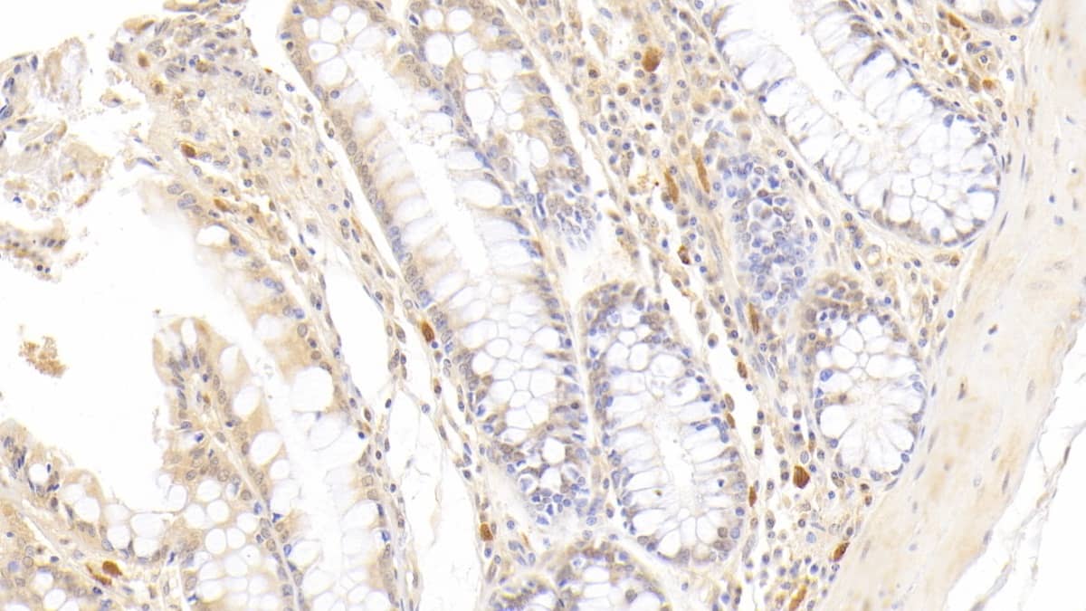
Immunohistochemistry-Paraffin: Eosinophil derived neurotoxin Antibody (C13) [NBP3-41747] -

Immunohistochemistry-Paraffin: Eosinophil derived neurotoxin Antibody (C13) [NBP3-41747] - DAB staining on IHC-P; Sample: Human Small intestine Tissue; Primary Ab: 20ug/ml NBP3-41747; Second Ab: 2ug/mL HRP-Linked Caprine Anti-Mouse IgG Polyclonal Antibody
Eosinophil derived neurotoxin Antibody (C13)

Western Blot: Eosinophil derived neurotoxin Antibody (C13) [NBP3-41747] -

Western Blot: Eosinophil derived neurotoxin Antibody (C13) [NBP3-41747] - Sample: Lane1: Human Urine; Lane2: Human Leukocyte lysate Primary Ab: 2ug/ml NBP3-41747; Second Ab: 0.2ug/mL HRP-Linked Caprine Anti-Mouse IgG Polyclonal Antibody
Eosinophil derived neurotoxin Antibody (C13)

Immunohistochemistry-Paraffin: Eosinophil derived neurotoxin Antibody (C13) [NBP3-41747] -

Immunohistochemistry-Paraffin: Eosinophil derived neurotoxin Antibody (C13) [NBP3-41747] - DAB staining on IHC-P; Sample: Human Colon Tissue; Primary Ab: 20ug/ml NBP3-41747; Second Ab: 2ug/mL HRP-Linked Caprine Anti-Mouse IgG Polyclonal Antibody

Applications for Eosinophil derived neurotoxin Antibody (C13) - BSA Free

Application
Recommended Usage

Immunohistochemistry

5-20ug/mL

Immunohistochemistry-Paraffin

5-20ug/mL

Western Blot

0.01-2ug/mL

Formulation, Preparation, and Storage

Purification

Protein A or G purified

Formulation

0.01M PBS, pH7.4, 50% glycerol

Format

BSA Free

Preservative

0.05% Proclin 300

Concentration

1 mg/ml

Shipping

The product is shipped with polar packs. Upon receipt, store it immediately at the temperature recommended below.

Stability & Storage

Store at 4C short term. Aliquot and store at -20C long term. Avoid freeze-thaw cycles.

Background: RNase2/EDN

This is a non-secretory ribonuclease. It is a pyrimidine specific nuclease with a slight preference for U. Cytotoxin and helminthotoxin. Selectively chemotactic for dendritic cells. Possesses a wide variety of biological activities

Long Name

Eosinophil-Derived Neurotoxin

Alternate Names

RAF3, RNASE2, RNS2

Gene Symbol

RNASE2

Additional RNase2/EDN Products

Product Documents for Eosinophil derived neurotoxin Antibody (C13) - BSA Free

Certificate of Analysis

To download a Certificate of Analysis, please enter a lot number in the search box below.

Product Specific Notices for Eosinophil derived neurotoxin Antibody (C13) - BSA Free

This product is for research use only and is not approved for use in humans or in clinical diagnosis. Primary Antibodies are guaranteed for 1 year from date of receipt.

Loading...
Loading...
Loading...
Loading...