Skip to main content

EN-RAGE/S100A12 Antibody (OTI1D1)

Novus Biologicals, part of Bio-Techne | Catalog # NBP2-03681

Novus Biologicals, part of Bio-Techne

Key Product Details

Species Reactivity

Human

Applications

Immunohistochemistry, Immunohistochemistry-Paraffin, Western Blot

Label

Unconjugated

Antibody Source

Monoclonal Mouse IgG1 Clone # OTI1D1

Concentration

0.68 mg/ml

Product Specifications

Immunogen

Full length human recombinant protein of human S100A12 (NP_005612) produced in HEK293T cell.

Clonality

Monoclonal

Host

Mouse

Isotype

IgG1

Theoretical MW

10.4 kDa.
Disclaimer note: The observed molecular weight of the protein may vary from the listed predicted molecular weight due to post translational modifications, post translation cleavages, relative charges, and other experimental factors.

Description

Novus Biologicals Mouse EN-RAGE/S100A12 Antibody (OTI1D1) (NBP2-03681) is a monoclonal antibody validated for use in IHC and WB. All Novus Biologicals antibodies are covered by our 100% guarantee.

Scientific Data Images for EN-RAGE/S100A12 Antibody (OTI1D1)

Western Blot: EN-RAGE/S100A12 Antibody (OTI1D1) [NBP2-03681]

Western Blot: EN-RAGE/S100A12 Antibody (OTI1D1) [NBP2-03681]

Western Blot: S100A12 Antibody (1D1) [NBP2-03681] - HEK293T cells were transfected with the pCMV6-ENTRY control (Left lane) or pCMV6-ENTRY S100A12 (Right lane) cDNA for 48 hrs and lysed. Equivalent amounts of cell lysates (5 ug per lane) were separated by SDS-PAGE and immunoblotted with anti-S100A12.
Immunohistochemistry-Paraffin: S100A12 Antibody (1D1) [NBP2-03681] Staining of paraffin-embedded Human lymph node tissue using anti-S100A12 mouse monoclonal antibody.
Immunohistochemistry-Paraffin: EN-RAGE/S100A12 Antibody (OTI1D1) [NBP2-03681]

Immunohistochemistry-Paraffin: EN-RAGE/S100A12 Antibody (OTI1D1) [NBP2-03681]

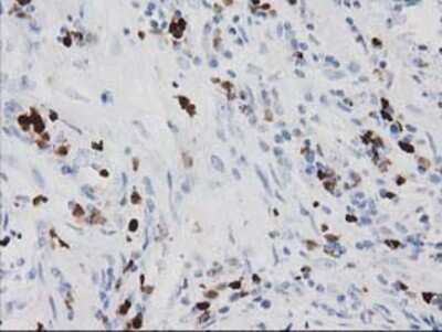
Immunohistochemistry-Paraffin: S100A12 Antibody (1D1) [NBP2-03681] - Staining of paraffin-embedded Adenocarcinoma of Human colon tissue using anti-S100A12 mouse monoclonal antibody.

Applications for EN-RAGE/S100A12 Antibody (OTI1D1)

Application
Recommended Usage

Immunohistochemistry

1:150

Immunohistochemistry-Paraffin

1:150

Western Blot

1:500

Formulation, Preparation, and Storage

Purification

Immunogen affinity purified

Formulation

PBS (pH 7.3), 1.0% BSA and 50% Glycerol

Preservative

0.02% Sodium Azide

Concentration

0.68 mg/ml

Shipping

The product is shipped with polar packs. Upon receipt, store it immediately at the temperature recommended below.

Stability & Storage

Store at -20C. Avoid freeze-thaw cycles.

Background: EN-RAGE/S100A12

The protein encoded by this gene is a member of the S100 family of proteins containing 2 EF-hand calcium-binding motifs. S100 proteins are localized in the cytoplasm and/or nucleus of a wide range of cells, and involved in the regulation of a number of cellular processes such as cell cycle progression and differentiation. S100 genes include at least 13 members which are located as a cluster on chromosome 1q21. This protein is proposed to be involved in specific calcium-dependent signal transduction pathways and its regulatory effect on cytoskeletal components may modulate various neutrophil activities. [provided by RefSeq].

Long Name

Extracellular Newly Identified RAGE-binding Protein

Alternate Names

CAAF1, CAAFI, CAGC, CAGCS100, Calgranulin C, ENRAGE, MRP6, S100A12

Entrez Gene IDs

6283 (Human)

Gene Symbol

S100A12

Additional EN-RAGE/S100A12 Products

Product Documents for EN-RAGE/S100A12 Antibody (OTI1D1)

Certificate of Analysis

To download a Certificate of Analysis, please enter a lot number in the search box below.

Product Specific Notices for EN-RAGE/S100A12 Antibody (OTI1D1)

This product is for research use only and is not approved for use in humans or in clinical diagnosis. Primary Antibodies are guaranteed for 1 year from date of receipt.

Loading...
Loading...
Loading...
Loading...