EMI1 Antibody (EMI1/1176) - Azide and BSA Free
Novus Biologicals, part of Bio-Techne | Catalog # NBP2-47786
Conjugate
Catalog #
Forumulation
Catalog #
Key Product Details
Species Reactivity
Human
Applications
Immunohistochemistry, Immunohistochemistry-Paraffin, Western Blot, Protein Array
Label
Unconjugated
Antibody Source
Monoclonal Mouse IgG2a Kappa Clone # EMI1/1176
Format
Azide and BSA Free
Concentration
1.0 mg/ml
Product Specifications
Immunogen
Recombinant fragment (203 amino acid residues between aa 1-250) of human EMI1 protein (Uniprot: Q9UKT4)
Localization
Nuclear
Clonality
Monoclonal
Host
Mouse
Isotype
IgG2a Kappa
Theoretical MW
56 kDa.
Disclaimer note: The observed molecular weight of the protein may vary from the listed predicted molecular weight due to post translational modifications, post translation cleavages, relative charges, and other experimental factors.
Disclaimer note: The observed molecular weight of the protein may vary from the listed predicted molecular weight due to post translational modifications, post translation cleavages, relative charges, and other experimental factors.
Description
1.0 mg/ml of antibody purified from Bioreactor Concentrate by Protein A/G. Prepared in 10mM PBS WITHOUT BSA & azide. Also available at 200 ug/ml WITH BSA & azide (NBP2-44344).
Antibody with azide - store at 2 to 8C. Antibody without azide - store at -20 to -80C.
Antibody with azide - store at 2 to 8C. Antibody without azide - store at -20 to -80C.
Scientific Data Images for EMI1 Antibody (EMI1/1176) - Azide and BSA Free
Western Blot: EMI1 Antibody (EMI1/1176)Azide and BSA Free [NBP2-47786]
Western Blot: EMI1 Antibody (EMI1/1176) - Azide and BSA Free [NBP2-47786] - Western Blot of HeLa, HepG2, HEK293 and K562 cell lysates with EMI1 Antibody (EMI1/1176).Immunohistochemistry-Paraffin: EMI1 Antibody (EMI1/1176) - Azide and BSA Free [NBP2-47786]
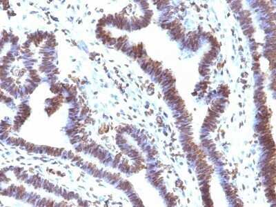
Immunohistochemistry-Paraffin: EMI1 Antibody (EMI1/1176) - Azide and BSA Free [NBP2-47786] - Human Ovarian Carcinoma stained with EMI1 Monoclonal Antibody (EMI1/1176).Immunohistochemistry-Paraffin: EMI1 Antibody (EMI1/1176) - Azide and BSA Free [NBP2-47786]
Immunohistochemistry-Paraffin: EMI1 Antibody (EMI1/1176) - Azide and BSA Free [NBP2-47786] - Human Ovarian carcinoma stained with EMI1 Monoclonal Antibody (EMI1/1176).Applications for EMI1 Antibody (EMI1/1176) - Azide and BSA Free
Application
Recommended Usage
Immunohistochemistry
Optimal dilutions of this antibody should be experimentally determined.
Immunohistochemistry-Paraffin
Optimal dilutions of this antibody should be experimentally determined.
Protein Array
Optimal dilutions of this antibody should be experimentally determined.
Western Blot
Optimal dilutions of this antibody should be experimentally determined.
Application Notes
Immunohistochemistry (Formalin-fixed): 1-2ug/ml for 30 minutes at RT. Staining of formalin-fixed tissues requires heating tissue sections in 10mM Tris with 1mM EDTA, pH 9.0, for 45 min at 95C followed by cooling at RT for 20 minutes.
Optimal dilution for a specific application should be determined.
Western Blot: 1-2ug/ml for 60 minutes at RT.
Optimal dilution for a specific application should be determined.
Western Blot: 1-2ug/ml for 60 minutes at RT.
Formulation, Preparation, and Storage
Purification
Protein A or G purified
Formulation
10 mM PBS
Format
Azide and BSA Free
Preservative
No Preservative
Concentration
1.0 mg/ml
Shipping
The product is shipped with polar packs. Upon receipt, store it immediately at the temperature recommended below.
Stability & Storage
Store at -20 to -80C. Avoid freeze-thaw cycles.
Background: EMI1
Alternate Names
EMI1Early mitotic inhibitor 1, F-box only protein 5, F-box protein 5, FBX5F-box protein Fbx5, Fbxo31
Gene Symbol
FBXO5
Additional EMI1 Products
Product Documents for EMI1 Antibody (EMI1/1176) - Azide and BSA Free
Product Specific Notices for EMI1 Antibody (EMI1/1176) - Azide and BSA Free
This product is for research use only and is not approved for use in humans or in clinical diagnosis. Primary Antibodies are guaranteed for 1 year from date of receipt.
Loading...
Loading...
Loading...
Loading...