Skip to main content

ELK3 Antibody (OTI1H3) - Azide and BSA Free

Novus Biologicals, part of Bio-Techne | Catalog # NBP2-70643

Novus Biologicals, part of Bio-Techne

Key Product Details

Species Reactivity

Human, Mouse, Rat

Applications

Immunohistochemistry, Immunohistochemistry-Paraffin, Western Blot, Flow Cytometry, Immunocytochemistry/ Immunofluorescence, CyTOF-ready

Label

Unconjugated

Antibody Source

Monoclonal Mouse IgG1 Clone # OTI1H3

Format

Azide and BSA Free

Concentration

LYOPH mg/ml

Product Specifications

Immunogen

Full length human recombinant protein of human ELK3(NP_005221) produced in HEK293T cell.

Reactivity Notes

Please note that this antibody is reactive to Mouse and derived from the same host, Mouse. Mouse-On-Mouse blocking reagent may be needed for IHC and ICC experiments to reduce high background signal. You can find these reagents under catalog numbers PK-2200-NB and MP-2400-NB. Please contact Technical Support if you have any questions.

Clonality

Monoclonal

Host

Mouse

Isotype

IgG1

Theoretical MW

44.1 kDa.
Disclaimer note: The observed molecular weight of the protein may vary from the listed predicted molecular weight due to post translational modifications, post translation cleavages, relative charges, and other experimental factors.

Description

Novus Biologicals Mouse ELK3 Antibody (OTI1H3) - Azide and BSA Free (NBP2-01264) is a monoclonal antibody validated for use in IHC, WB, Flow and ICC/IF. All Novus Biologicals antibodies are covered by our 100% guarantee.

Scientific Data Images for ELK3 Antibody (OTI1H3) - Azide and BSA Free

Western Blot: ELK3 Antibody (OTI1H3)Azide and BSA Free [NBP2-70643]

Western Blot: ELK3 Antibody (OTI1H3)Azide and BSA Free [NBP2-70643]

Western Blot: ELK3 Antibody (OTI1H3) - Azide and BSA Free [NBP2-70643] - HEK293T cells were transfected with the pCMV6-ENTRY control (Left lane) or pCMV6-ENTRY ELK3 (Right lane) cDNA for 48 hrs and lysed. Equivalent amounts of cell lysates (5 ug per lane) were separated by SDS-PAGE and immunoblotted with anti-ELK3.
Immunocytochemistry/ Immunofluorescence: ELK3 Antibody (OTI1H3) - Azide and BSA Free [NBP2-70643]

Immunocytochemistry/ Immunofluorescence: ELK3 Antibody (OTI1H3) - Azide and BSA Free [NBP2-70643]

Immunocytochemistry/Immunofluorescence: ELK3 Antibody (OTI1H3) - Azide and BSA Free [NBP2-70643] - Staining of COS7 cells transiently transfected by pCMV6-ENTRY ELK3.
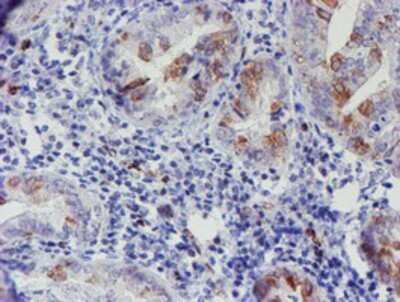
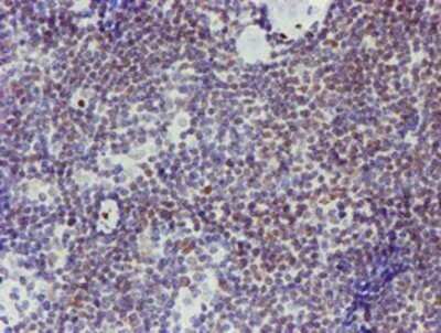
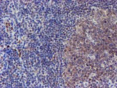
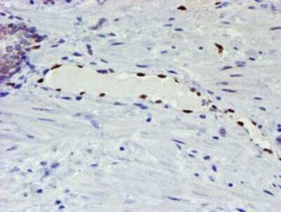
Immunohistochemistry: ELK3 Antibody (OTI1H3) - Azide and BSA Free [NBP2-70643]

Immunohistochemistry: ELK3 Antibody (OTI1H3) - Azide and BSA Free [NBP2-70643]

Immunohistochemistry: ELK3 Antibody (OTI1H3) - Azide and BSA Free [NBP2-70643] - Staining of paraffin-embedded Human lymphoma tissue using anti-ELK3 mouse monoclonal antibody.

Applications for ELK3 Antibody (OTI1H3) - Azide and BSA Free

Application
Recommended Usage

Flow Cytometry

1:100

Immunocytochemistry/ Immunofluorescence

1:100

Immunohistochemistry

1:150

Western Blot

1:2000

Formulation, Preparation, and Storage

Purification

Immunogen affinity purified

Reconstitution

we recommend adding 100uL distilled water to a final antibody concentration of about 1 mg/mL. To use this carrier-free antibody for conjugation experiment, we strongly recommend performing another round of desalting process.

Formulation

Lyophilized from PBS (pH 7.3) with 8% Trehalose

Format

Azide and BSA Free

Preservative

No Preservative

Concentration

LYOPH mg/ml

Shipping

The product is shipped with polar packs. Upon receipt, store it immediately at the temperature recommended below.

Stability & Storage

Store at -20C. Avoid freeze-thaw cycles.

Background: ELK3

ELK3 is encoded by this gene is a member of the ETS-domain transcription factor family and the ternary complex factor (TCF) subfamily. Proteins in this subfamily regulate transcription when recruited by serum response factor to bind to serum response elements. This protein is activated by signal-induced phosphorylation; studies in rodents suggest that it is a transcriptional inhibitor in the absence of Ras, but activates transcription when Ras is present. [provided by RefSeq]

Alternate Names

ELK3, ETS-domain protein (SRF accessory protein 2), ERPETS domain-containing protein Elk-3, ETS-domain protein, ETS-related protein ERP, NETSRF accessory protein 2, SAP-2, SAP2ETS-related protein NET, Serum response factor accessory protein 2

Gene Symbol

ELK3

Additional ELK3 Products

Product Documents for ELK3 Antibody (OTI1H3) - Azide and BSA Free

Certificate of Analysis

To download a Certificate of Analysis, please enter a lot number in the search box below.

Product Specific Notices for ELK3 Antibody (OTI1H3) - Azide and BSA Free

This product is for research use only and is not approved for use in humans or in clinical diagnosis. Primary Antibodies are guaranteed for 1 year from date of receipt.

Loading...
Loading...
Loading...
Loading...
Loading...
Loading...