EIF3F Antibody
Novus Biologicals, part of Bio-Techne | Catalog # NBP2-16299
Key Product Details
Species Reactivity
Validated:
Human, Mouse
Cited:
Human
Predicted:
Chimpanzee (100%). Backed by our 100% Guarantee.
Applications
Validated:
Immunohistochemistry, Immunohistochemistry-Paraffin, Western Blot, Immunocytochemistry/ Immunofluorescence, Chromatin Immunoprecipitation (ChIP)
Cited:
Chemotaxis
Label
Unconjugated
Antibody Source
Polyclonal Rabbit IgG
Concentration
Concentrations vary lot to lot. See vial label for concentration. If unlisted please contact technical services.
Product Specifications
Immunogen
Recombinant protein encompassing a sequence within the center region of human EIF3F. The exact sequence is proprietary.
Localization
Cytoplasm
Clonality
Polyclonal
Host
Rabbit
Isotype
IgG
Theoretical MW
38 kDa.
Disclaimer note: The observed molecular weight of the protein may vary from the listed predicted molecular weight due to post translational modifications, post translation cleavages, relative charges, and other experimental factors.
Disclaimer note: The observed molecular weight of the protein may vary from the listed predicted molecular weight due to post translational modifications, post translation cleavages, relative charges, and other experimental factors.
Description
Novus Biologicals Rabbit EIF3F Antibody (NBP2-16299) is a polyclonal antibody validated for use in IHC, WB, ICC/IF and ChIP. Anti-EIF3F Antibody: Cited in 1 publication. All Novus Biologicals antibodies are covered by our 100% guarantee.
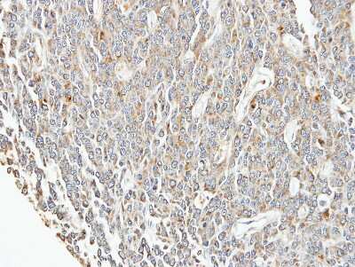
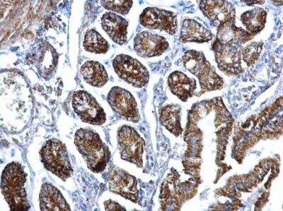
Scientific Data Images for EIF3F Antibody
Immunocytochemistry/ Immunofluorescence: EIF3F Antibody [NBP2-16299]
Immunocytochemistry/Immunofluorescence: EIF3F Antibody [NBP2-16299] - Immunofluorescence analysis of methanol-fixed HeLa, using antibody at 1:200 dilution.Immunohistochemistry-Paraffin: EIF3F Antibody [NBP2-16299]
Immunohistochemistry-Paraffin: EIF3F Antibody [NBP2-16299] - EIF3F antibody detects EIF3F protein at nucleus on mouse intestine by immunohistochemical analysis. Sample: Paraffin-embedded mouse intestine. EIF3F antibody dilution: 1:500.Immunohistochemistry-Paraffin: EIF3F Antibody [NBP2-16299]
Immunohistochemistry-Paraffin: EIF3F Antibody [NBP2-16299] - Immunohistochemical analysis of paraffin-embedded BT483 xenograft, using antibody at 1:100 dilution.Applications for EIF3F Antibody
Application
Recommended Usage
Chromatin Immunoprecipitation (ChIP)
Reported in scientific literature (PMID: 31527668).
Immunocytochemistry/ Immunofluorescence
1:100-1:1000
Immunohistochemistry
1:100-1:1000
Immunohistochemistry-Paraffin
1:100-1:1000
Western Blot
1:500-1:3000
Formulation, Preparation, and Storage
Purification
Antigen Affinity-purified
Formulation
PBS, 1% BSA, 20% Glycerol
Preservative
0.01% Thimerosal
Concentration
Concentrations vary lot to lot. See vial label for concentration. If unlisted please contact technical services.
Shipping
The product is shipped with polar packs. Upon receipt, store it immediately at the temperature recommended below.
Stability & Storage
Aliquot and store at -20C or -80C. Avoid freeze-thaw cycles.
Background: EIF3F
Alternate Names
eIF3 p47, eIF-3-epsilon, eIF3-epsilon, eIF3f, eIF3-p47, EIF3S5eukaryotic translation initiation factor 3 subunit F, Eukaryotic translation initiation factor 3 subunit 5, eukaryotic translation initiation factor 3, subunit 5 (epsilon, 47kD), eukaryotic translation initiation factor 3, subunit 5 epsilon, 47kDa, eukaryotic translation initiation factor 3, subunit F
Gene Symbol
EIF3F
UniProt
Additional EIF3F Products
Product Documents for EIF3F Antibody
Product Specific Notices for EIF3F Antibody
This product is for research use only and is not approved for use in humans or in clinical diagnosis. Primary Antibodies are guaranteed for 1 year from date of receipt.
Loading...
Loading...
Loading...
Loading...
⚠ WARNING: This product can expose you to chemicals including mercury, which is known to the State of California to cause reproductive toxicity with developmental effects. For more information go to www.P65Warnings.ca.gov.