Skip to main content

EIF3F Antibody - BSA Free

Novus Biologicals, part of Bio-Techne | Catalog # NBP2-13952

Novus Biologicals, part of Bio-Techne
Catalog #
Availability
Size / Price
Qty
Loading...
NBP2-13952
NBP2-13952-25ul

Key Product Details

Validated by

Knockout/Knockdown

Species Reactivity

Validated:

Human

Predicted:

Mouse (100%), Rat (100%). Backed by our 100% Guarantee.

Applications

Immunohistochemistry, Immunohistochemistry-Paraffin, Western Blot, Knockdown Validated

Label

Unconjugated

Antibody Source

Polyclonal Rabbit IgG

Format

BSA Free

Concentration

Concentrations vary lot to lot. See vial label for concentration. If unlisted please contact technical services.

Product Specifications

Immunogen

This antibody was developed against a recombinant protein corresponding to the amino acids: DSYERRNEGAARVIGTLLGTVDKHSVEVTNCFSVPHNESEDEVAVDMEFAKNMYELHKKVSPNELILGWYA

Clonality

Polyclonal

Host

Rabbit

Isotype

IgG

Description

Novus Biologicals Rabbit EIF3F Antibody - BSA Free (NBP2-13952) is a polyclonal antibody validated for use in IHC and WB. All Novus Biologicals antibodies are covered by our 100% guarantee.

Scientific Data Images for EIF3F Antibody - BSA Free

Western Blot: EIF3F Antibody [NBP2-13952]

Western Blot: EIF3F Antibody [NBP2-13952]

Western Blot: EIF3F Antibody [NBP2-13952] - Analysis in U2OS cells transfected with control siRNA, target specific siRNA probe #1 and #2. Remaining relative intensity is presented.
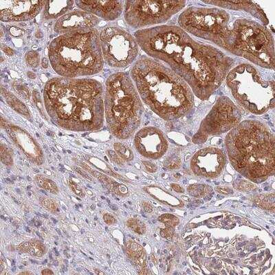
Immunohistochemistry-Paraffin: EIF3F Antibody [NBP2-13952]

Immunohistochemistry-Paraffin: EIF3F Antibody [NBP2-13952]

Immunohistochemistry-Paraffin: EIF3F Antibody [NBP2-13952] - Staining of human kidney shows strong cytoplasmic positivity in renal tubules.

Applications for EIF3F Antibody - BSA Free

Application
Recommended Usage

Immunohistochemistry

1:200 - 1:500

Immunohistochemistry-Paraffin

1:200 - 1:500

Western Blot

0.04-0.4 ug/ml
Application Notes
For IHC-Paraffin, HIER pH 6 retrieval is recommended. Immunocytochemistry/Immunofluorescence Fixation Permeabilization: Use PFA/Triton X-100.

Formulation, Preparation, and Storage

Purification

Affinity purified

Formulation

PBS (pH 7.2) and 40% Glycerol

Format

BSA Free

Preservative

0.02% Sodium Azide

Concentration

Concentrations vary lot to lot. See vial label for concentration. If unlisted please contact technical services.

Shipping

The product is shipped with polar packs. Upon receipt, store it immediately at the temperature recommended below.

Stability & Storage

Store at 4C short term. Aliquot and store at -20C long term. Avoid freeze-thaw cycles.

Background: EIF3F

eIF3f, also known as eukaryotic translation initiation factor 3 subunit 5, eIF-3 epsilon, and eIF3 p47 subunit, binds to the 40S ribosome and promotes the binding of methionyl-tRNA and mRNA. EIF3f also associates with the complex p170-eIF3. eIF-3 is composed of at least 12 different subunits, eIF3f is one of these subunits.

Alternate Names

eIF3 p47, eIF-3-epsilon, eIF3-epsilon, eIF3f, eIF3-p47, EIF3S5eukaryotic translation initiation factor 3 subunit F, Eukaryotic translation initiation factor 3 subunit 5, eukaryotic translation initiation factor 3, subunit 5 (epsilon, 47kD), eukaryotic translation initiation factor 3, subunit 5 epsilon, 47kDa, eukaryotic translation initiation factor 3, subunit F

Gene Symbol

EIF3F

Additional EIF3F Products

Product Documents for EIF3F Antibody - BSA Free

Certificate of Analysis

To download a Certificate of Analysis, please enter a lot number in the search box below.

Product Specific Notices for EIF3F Antibody - BSA Free

This product is for research use only and is not approved for use in humans or in clinical diagnosis. Primary Antibodies are guaranteed for 1 year from date of receipt.

Loading...
Loading...
Loading...
Loading...