Skip to main content

EBAG9/RCAS1 Antibody (CPTC-EBAG9-1) - Azide and BSA Free

Novus Biologicals, part of Bio-Techne | Catalog # NBP3-08859

Catalog #
Availability
Size / Price
Qty
Loading...
NBP3-08859
Conjugate
Catalog #

Key Product Details

Species Reactivity

Human

Applications

Immunohistochemistry, Immunohistochemistry-Paraffin, Immunocytochemistry/ Immunofluorescence

Label

Unconjugated

Antibody Source

Monoclonal Mouse IgG2c Kappa Clone # CPTC-EBAG9-1

Format

Azide and BSA Free

Concentration

1 mg/ml

Product Specifications

Immunogen

Recombinant human full-length EBAG9/RCAS1 protein (Uniprot: O00559)

Localization

Golgi apparatus

Clonality

Monoclonal

Host

Mouse

Isotype

IgG2c Kappa

Theoretical MW

32 kDa.
Disclaimer note: The observed molecular weight of the protein may vary from the listed predicted molecular weight due to post translational modifications, post translation cleavages, relative charges, and other experimental factors.

Description

1.0 mg/ml of antibody purified from Bioreactor Concentrate by Protein A/G. Prepared in 10mM PBS WITHOUT BSA & azide. Also available at 200 ug/ml WITH BSA & azide (NBP3-07534).

Antibody with azide - store at 2 to 8C. Antibody without azide - store at -20 to -80C.

Scientific Data Images for EBAG9/RCAS1 Antibody (CPTC-EBAG9-1) - Azide and BSA Free

Immunocytochemistry/ Immunofluorescence: EBAG9/RCAS1 Antibody (CPTC-EBAG9-1) - Azide and BSA Free [NBP3-08859]

Immunocytochemistry/ Immunofluorescence: EBAG9/RCAS1 Antibody (CPTC-EBAG9-1) - Azide and BSA Free [NBP3-08859]

Immunocytochemistry/Immunofluorescence: EBAG9/RCAS1 Antibody (CPTC-EBAG9-1) - Azide and BSA Free [NBP3-08859] - Immunofluorescence Analysis of Human MCF-7 cells labeling EBAG9/RCAS1 with EBAG9/RCAS1 Mouse Monoclonal Antibody (CPTC-EBAG9-1) followed by goat anti- Mouse IgG-CF488 (Green). The nuclear counterstain is RedDot (Red).
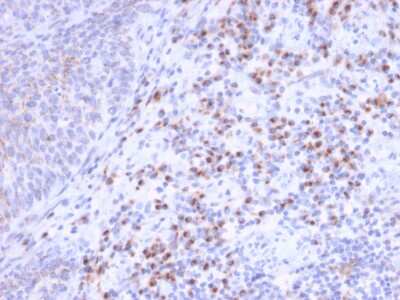
Immunohistochemistry-Paraffin: EBAG9/RCAS1 Antibody (CPTC-EBAG9-1) - Azide and BSA Free [NBP3-08859]

Immunohistochemistry-Paraffin: EBAG9/RCAS1 Antibody (CPTC-EBAG9-1) - Azide and BSA Free [NBP3-08859]

Immunohistochemistry-Paraffin: EBAG9/RCAS1 Antibody (CPTC-EBAG9-1) - Azide and BSA Free [NBP3-08859] - Formalin-fixed, paraffin-embedded human Unknown Tumor stained with EBAG9/RCAS1 Mouse Monoclonal Antibody (CPTC-EBAG9-1).

Applications for EBAG9/RCAS1 Antibody (CPTC-EBAG9-1) - Azide and BSA Free

Application
Recommended Usage

Immunocytochemistry/ Immunofluorescence

1-2 ug/ml
Application Notes
Immunohistochemistry Formalin-fixed: 1-2ug/ml for 30 minutes at RT. Staining of formalin-fixed tissues requires heating tissue sections in 10mM Tris with 1mM EDTA, pH 9.0, for 45 min at 95C followed by cooling at RT for 20 minutes.

Formulation, Preparation, and Storage

Purification

Protein A or G purified

Formulation

10 mM PBS

Format

Azide and BSA Free

Preservative

No Preservative

Concentration

1 mg/ml

Shipping

The product is shipped with polar packs. Upon receipt, store it immediately at the temperature recommended below.

Stability & Storage

Store at -20 to -80C. Avoid freeze-thaw cycles.

Background: EBAG9/RCAS1

EBAG9 was identified as an estrogen-responsive gene. Regulation of transcription by estrogen is mediated by estrogen receptor which binds to the estrogen-responsive element (ERE) found in the 5'-flanking region of this gene. The encoded protein is a tumor-associated antigen that is expressed at high frequency in a variety of cancers. Two transcript variants differing in the 5' UTR, but encoding the same protein, have been identified for this gene.

Alternate Names

Cancer-associated surface antigen RCAS1, EB9cancer associated surface antigen, estrogen receptor binding site associated, antigen, 9, Estrogen receptor-binding fragment-associated gene 9 protein, RCAS1PDAF, receptor-binding cancer antigen expressed on SiSo cells

Gene Symbol

EBAG9

Additional EBAG9/RCAS1 Products

Product Documents for EBAG9/RCAS1 Antibody (CPTC-EBAG9-1) - Azide and BSA Free

Certificate of Analysis

To download a Certificate of Analysis, please enter a lot number in the search box below.

Product Specific Notices for EBAG9/RCAS1 Antibody (CPTC-EBAG9-1) - Azide and BSA Free

This product is for research use only and is not approved for use in humans or in clinical diagnosis. Primary Antibodies are guaranteed for 1 year from date of receipt.

Loading...
Loading...
Loading...
Loading...