Skip to main content

E2F-1 Antibody (18E10) - Azide and BSA Free

Novus Biologicals, part of Bio-Techne | Catalog # NB600-209

Novus Biologicals, part of Bio-Techne
Catalog #
Availability
Size / Price
Qty
Loading...
NB600-209

Key Product Details

Species Reactivity

Validated:

Human

Cited:

Human

Applications

Validated:

Immunohistochemistry, Western Blot, Immunocytochemistry/ Immunofluorescence, Immunoprecipitation

Cited:

IF/IHC

Label

Unconjugated

Antibody Source

Monoclonal Mouse IgG1 Clone # 18E10

Format

Azide and BSA Free

Concentration

Concentrations vary lot to lot. See vial label for concentration. If unlisted please contact technical services.

Product Specifications

Immunogen

The region encoding the DNA binding domain (amino acids 244-264) of E2F-1 expressed in E. coli.

Clonality

Monoclonal

Host

Mouse

Isotype

IgG1

Theoretical MW

47 kDa.
Disclaimer note: The observed molecular weight of the protein may vary from the listed predicted molecular weight due to post translational modifications, post translation cleavages, relative charges, and other experimental factors.

Description

Novus Biologicals Mouse E2F-1 Antibody (18E10) - Azide and BSA Free (NB600-209) is a monoclonal antibody validated for use in IHC, WB, ICC/IF and IP. Anti-E2F-1 Antibody: Cited in 2 publications. All Novus Biologicals antibodies are covered by our 100% guarantee.

Scientific Data Images for E2F-1 Antibody (18E10) - Azide and BSA Free

Western Blot: E2F-1 Antibody (18E10) [NB600-209]

Western Blot: E2F-1 Antibody (18E10) [NB600-209]

Western Blot: E2F1 Antibody (18E10) [NB600-209] - Sample (30 ug of whole cell lysate) A: 293T 10% SDS PAGE; antibody diluted at 1:1000.
E2F-1 Antibody (18E10)

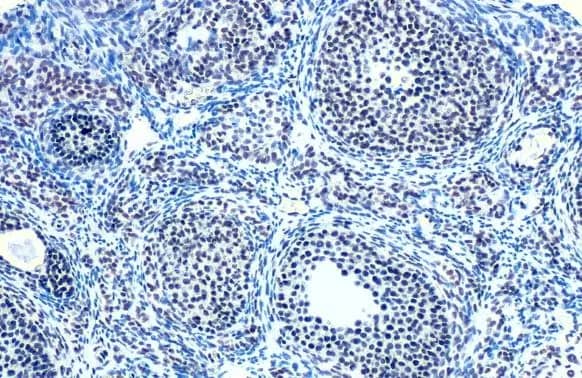
Immunohistochemistry-Paraffin: E2F-1 Antibody (18E10) [NB600-209] -

Immunohistochemistry-Paraffin: E2F-1 Antibody (18E10) [NB600-209] - E2F-1 antibody [18E10] detects E2F-1 protein at nucleus by immunohistochemical analysis.Sample: Paraffin-embedded mouse ovary.E2F-1 stained by E2F-1 antibody [18E10] (NB600-209) diluted at 1:200.Antigen Retrieval: Citrate buffer, pH 6.0, 15 min

Applications for E2F-1 Antibody (18E10) - Azide and BSA Free

Application
Recommended Usage

Immunohistochemistry

1:10 - 1:500

Formulation, Preparation, and Storage

Purification

Protein G purified

Formulation

PBS

Format

Azide and BSA Free

Preservative

No Preservative

Concentration

Concentrations vary lot to lot. See vial label for concentration. If unlisted please contact technical services.

Shipping

The product is shipped with polar packs. Upon receipt, store it immediately at the temperature recommended below.

Stability & Storage

Store at 4C short term. Aliquot and store at -20C long term. Avoid freeze-thaw cycles.

Background: E2F-1

Clone 1G10 recognizes E2F-1 that was identified as a cellular protein with DNA binding activity associated with the adenovirus E2 gene promoter. The original member of the E2F family of transcription factors, now consisting of five, was identified through its association with the retinoblastoma protein, which controls its activity. E2F-1 is cell cycle regulated with very low levels in early G1 then increasing levels as cells move from G1 to S with highest levels of protein at the G1/S boundary, which is consistent with its role in S-phase entry.

Long Name

E2F Transcription Factor 1

Alternate Names

E2F1, PBR3, RBAP-1, RBBP-3, RBP3

Entrez Gene IDs

1869 (Human)

Gene Symbol

E2F1

UniProt

Additional E2F-1 Products

Product Documents for E2F-1 Antibody (18E10) - Azide and BSA Free

Certificate of Analysis

To download a Certificate of Analysis, please enter a lot number in the search box below.

Product Specific Notices for E2F-1 Antibody (18E10) - Azide and BSA Free

This product is for research use only and is not approved for use in humans or in clinical diagnosis. Primary Antibodies are guaranteed for 1 year from date of receipt.

Loading...
Loading...
Loading...
Loading...